Primary Antibodies
Secondary Antibodies
Proteins & Peptides
ELISA Kits
About Us
Contact Us
Sign In/Register
0
ISO 9001:2015 Certified
Live Customer Support
4.5/5 on Trustpilot
100% Quality Guarantee
Home
Primary Antibodies
AdipoR2 Antibodies
Anti-ADIPOR2 Antibody (A45156)
Anti-ADIPOR2 Antibody (A45156)
Overview
Specifications
Images
Enlarge Image
Enlarge Image
$430
Product Datasheet
Rabbit polyclonal antibody to ADIPOR2 for IHC.
100% Guarantee
Price Match Guarantee
Product Size:
100µl
Quantity:
1
2
3
4
5
6
7
8
9
10
Add To Cart
Request a Quotation
Custom or Bulk Request
Shipping Information
Freight/Packing Charges:
$40
Dispatched from St. Louis, MO.
Lead Time: 6-9 business days.
Specifications
Name
Anti-ADIPOR2 Antibody
Description
Rabbit polyclonal antibody to ADIPOR2
Specificity
The antibody detects endogenous levels of total ADIPOR2 protein.
Applications
IHC
Reactivity
Human
Immunogen
Synthetic peptide corresponding to residues near the N terminal of human adiponectin receptor 2
Host
Rabbit
Clonality
Polyclonal
Conjugate
Unconjugated
Purification
Antigen affinity purification.
Concentration
0.5 mg/mL
Formulation
Supplied in PBS, pH 7.3, containing 0.05% sodium azide and 50% glycerol.
Storage
Shipped at 4°C. Upon delivery aliquot and store at -20°C. Avoid freeze/thaw cycles.
Synonyms
Adiponectin receptor protein 2, PAQR2, Progestin and adipoQ receptor family member 2, Progestin and adipoQ receptor family member II
Suitable Secondaries
Goat Anti-Rabbit IgG H&L Antibody (AP) (A294874)
Goat Anti-Rabbit IgG H&L Antibody (Biotin) (A294795)
Goat Anti-Rabbit IgG H&L Antibody (FITC) (A294887)
Goat Anti-Rabbit IgG H&L Antibody (HRP) (A294888)
See all Anti-Rabbit IgG Secondaries →
Disclaimer
This product is for research use only. It is not intended for diagnostic or therapeutic use.
Scientific Validation Data
Validation Data
(2)
Enlarge Image
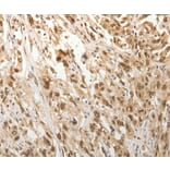
Immunohistochemistry - Anti-ADIPOR2 Antibody (A45156)
Immunohistochemical analysis of paraffin-embedded Human oesophagus cancer tissue using #37086 at dilution 1/15.
Enlarge Image
Immunohistochemistry - Anti-ADIPOR2 Antibody (A45156)
Immunohistochemical analysis of paraffin-embedded Human liver cancer tissue using #37086 at dilution 1/15.
Publishing research using Anti-ADIPOR2 Antibody (A45156)? Please
let us know
so that we can list the citation on this page.
Proteins predicted to interact with AdipoR2
Predicted protein interactions based upon String database. Revelancy score correlates with probability of interaction.
Adiponectin Antibodies
99.9% Relevancy Score
APPL Antibodies
99.9% Relevancy Score
AdipoR1 Antibodies
98.8% Relevancy Score
PPAR alpha Antibodies
90% Relevancy Score
Leptin Antibodies
89.8% Relevancy Score
Cadherin-13 Antibodies
86.9% Relevancy Score
Resistin Antibodies
86.9% Relevancy Score
PBEF Antibodies
82.1% Relevancy Score
PGC1 alpha Antibodies
79.4% Relevancy Score
Top