Primary Antibodies
Secondary Antibodies
Proteins & Peptides
ELISA Kits
About Us
Contact Us
Sign In/Register
0
ISO 9001:2015 Certified
Live Customer Support
4.5/5 on Trustpilot
100% Quality Guarantee
Home
Primary Antibodies
Adrenomedullin Antibodies
Anti-ADM Antibody (A39146)
Anti-ADM Antibody (A39146)
Overview
Specifications
Images
Enlarge Image
Enlarge Image
$405
Rabbit polyclonal antibody to ADM for WB and IHC.
100% Guarantee
Price Match Guarantee
Product Size:
100µl
Quantity:
1
2
3
4
5
6
7
8
9
10
Add To Cart
Request a Quotation
Custom or Bulk Request
Shipping Information
Freight/Packing Charges:
$40
Dispatched from St. Louis, MO.
Lead Time: 6-9 business days.
Specifications
Name
Anti-ADM Antibody
Description
Rabbit polyclonal antibody to ADM
Specificity
The antibody detects endogenous levels of total ADM protein.
Applications
WB
,
IHC
Reactivity
Human, Mouse
Immunogen
Synthetic peptide corresponding to a region derived from internal residues of human Adrenomedullin
Host
Rabbit
Clonality
Polyclonal
Conjugate
Unconjugated
Purification
Antigen affinity purification.
Concentration
0.6 mg/ml
Formulation
Rabbit IgG in pH7.3 PBS, 0.05% NaN3, 50% Glycerol.
Storage
Store at -20˚C
Synonyms
AM, Pro-adrenomedullin
Suitable Secondaries
Goat Anti-Rabbit IgG H&L Antibody (AP) (A294874)
Goat Anti-Rabbit IgG H&L Antibody (Biotin) (A294795)
Goat Anti-Rabbit IgG H&L Antibody (FITC) (A294887)
Goat Anti-Rabbit IgG H&L Antibody (HRP) (A294888)
See all Anti-Rabbit IgG Secondaries →
Disclaimer
This product is for research use only. It is not intended for diagnostic or therapeutic use.
Scientific Validation Data
Validation Data
(2)
Enlarge Image
Anti-ADM Antibody (A39146)
Gel: 12% SDS-PAGE Lysates (from left to right): Mouse heart tissue Amount of lysate: 40ug per lane Primary antibody: 1/300 dilution Secondary antibody dilution: 1/8000 Exposure time: 10 minutes
Enlarge Image
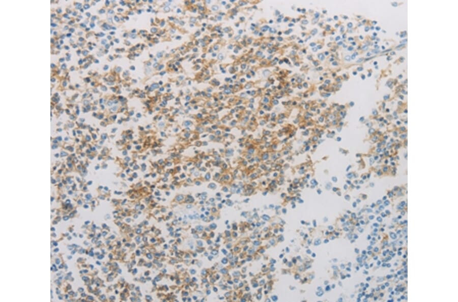
Immunohistochemistry - Anti-ADM Antibody (A39146)
Immunohistochemical analysis of paraffin-embedded Human tonsil tissue using #36726 at dilution 1/20.
Publishing research using Anti-ADM Antibody (A39146)? Please
let us know
so that we can list the citation on this page.
Alternative products to Anti-ADM Antibody (A39146)
(4)
A100063
Anti-ADM Antibody
Rabbit polyclonal antibody to ADM for WB and ELISA.
A29389
Anti-ADM Antibody
Rabbit polyclonal antibody to ADM for WB.
A98324
Anti-ADM Antibody
Rabbit polyclonal antibody to ADM for IHC and ELISA.
A26880
Anti-ADM (N100) Antibody
Rabbit polyclonal antibody to ADM (N100) for IHC.
A40810
Anti-ADM Antibody
Rabbit polyclonal antibody to ADM for WB and ELISA.
(4)
A100063
Anti-ADM Antibody
Rabbit polyclonal antibody to ADM for WB and ELISA.
A29389
Anti-ADM Antibody
Rabbit polyclonal antibody to ADM for WB.
A98324
Anti-ADM Antibody
Rabbit polyclonal antibody to ADM for IHC and ELISA.
A26880
Anti-ADM (N100) Antibody
Rabbit polyclonal antibody to ADM (N100) for IHC.
A40810
Anti-ADM Antibody
Rabbit polyclonal antibody to ADM for WB and ELISA.
See all ADM Antibodies
Proteins predicted to interact with Adrenomedullin
Predicted protein interactions based upon String database. Revelancy score correlates with probability of interaction.
RAMP3 Antibodies
99.9% Relevancy Score
RAMP2 Antibodies
99.9% Relevancy Score
CRLR Antibodies
99.9% Relevancy Score
RAMP1 Antibodies
99.8% Relevancy Score
Amylin Antibodies
99.4% Relevancy Score
Calcitonin Receptor Antibodies
99.1% Relevancy Score
Calcitonin Antibodies
98.2% Relevancy Score
CGRP Antibodies
98.2% Relevancy Score
Adrenomedullin Receptor L1 Antibodies
96.1% Relevancy Score
Top