Primary Antibodies
Secondary Antibodies
Proteins & Peptides
ELISA Kits
About Us
Contact Us
Sign In/Register
0
ISO 9001:2015 Certified
Live Customer Support
4.5/5 on Trustpilot
100% Quality Guarantee
Home
Primary Antibodies
ADNP Antibodies
Anti-ADNP Antibody (A46909)
Anti-ADNP Antibody (A46909)
Overview
Specifications
Images
Enlarge Image
Enlarge Image
$430
Product Datasheet
Rabbit polyclonal antibody to ADNP for IHC.
100% Guarantee
Price Match Guarantee
Product Size:
100µl
Quantity:
1
2
3
4
5
6
7
8
9
10
Add To Cart
Request a Quotation
Custom or Bulk Request
Shipping Information
Freight/Packing Charges:
$40
Dispatched from St. Louis, MO.
Lead Time: 6-9 business days.
Specifications
Name
Anti-ADNP Antibody
Description
Rabbit polyclonal antibody to ADNP
Specificity
The antibody detects endogenous levels of total ADNP protein.
Applications
IHC
Reactivity
Human
Immunogen
Synthetic peptide corresponding to a region derived from internal residues of human activity-dependent neuroprotector homeobox
Host
Rabbit
Clonality
Polyclonal
Conjugate
Unconjugated
Purification
Antigen affinity purification.
Concentration
1.8 mg/mL
Formulation
Supplied in PBS, pH 7.3, containing 0.05% sodium azide and 50% glycerol.
Storage
Shipped at 4°C. Upon delivery aliquot and store at -20°C. Avoid freeze/thaw cycles.
Synonyms
Activity-dependent neuroprotective protein, Activity-dependent neuroprotector homeobox protein, ADNP1, KIAA0784
Suitable Secondaries
Goat Anti-Rabbit IgG H&L Antibody (AP) (A294874)
Goat Anti-Rabbit IgG H&L Antibody (Biotin) (A294795)
Goat Anti-Rabbit IgG H&L Antibody (FITC) (A294887)
Goat Anti-Rabbit IgG H&L Antibody (HRP) (A294888)
See all Anti-Rabbit IgG Secondaries →
Disclaimer
This product is for research use only. It is not intended for diagnostic or therapeutic use.
Scientific Validation Data
Validation Data
(2)
Enlarge Image
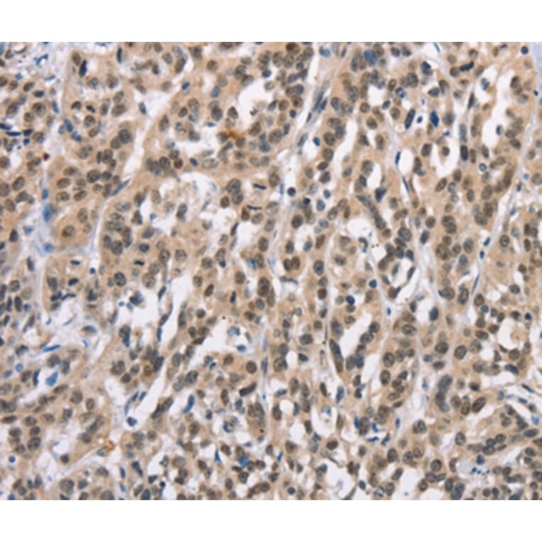
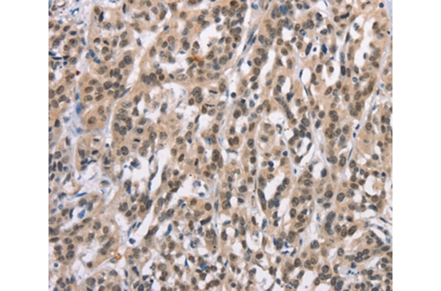
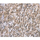
Immunohistochemistry - Anti-ADNP Antibody (A46909)
Immunohistochemical analysis of paraffin-embedded Human oesophagus cancer tissue using #37424 at dilution 1/15.
Enlarge Image
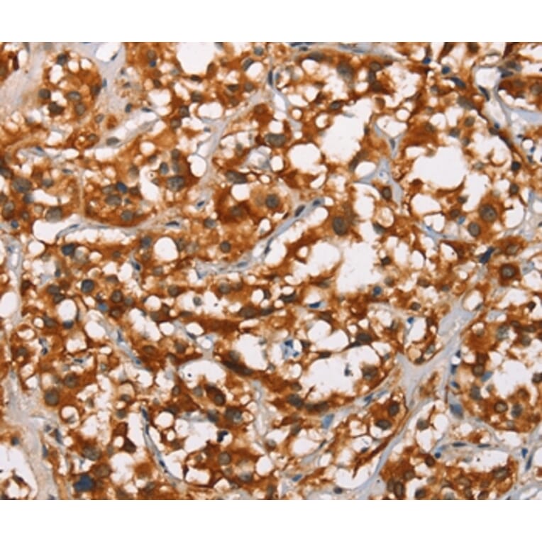
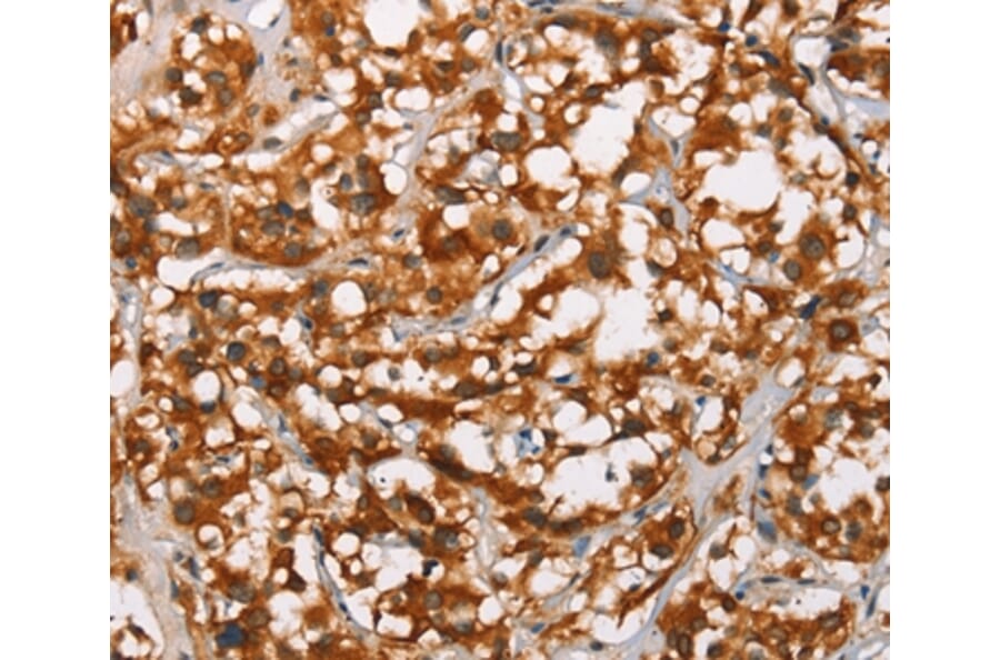
Immunohistochemistry - Anti-ADNP Antibody (A46909)
Immunohistochemical analysis of paraffin-embedded Human thyroid cancer tissue using #37424 at dilution 1/15.
Publishing research using Anti-ADNP Antibody (A46909)? Please
let us know
so that we can list the citation on this page.
Alternative products to Anti-ADNP Antibody (A46909)
(2)
A99474
Anti-ADNP Antibody
Rabbit polyclonal antibody to ADNP for WB, IHC, IF and ELISA.
(2)
A11766
Anti-ADNP Antibody
Rabbit polyclonal antibody to ADNP for WB and ICC/IF.
A29341
Anti-ADNP Antibody
Rabbit polyclonal antibody to ADNP for WB.
A42817
Anti-ADNP Antibody
Rabbit polyclonal antibody to ADNP for WB.
(2)
A99474
Anti-ADNP Antibody
Rabbit polyclonal antibody to ADNP for WB, IHC, IF and ELISA.
(2)
A11766
Anti-ADNP Antibody
Rabbit polyclonal antibody to ADNP for WB and ICC/IF.
A29341
Anti-ADNP Antibody
Rabbit polyclonal antibody to ADNP for WB.
A42817
Anti-ADNP Antibody
Rabbit polyclonal antibody to ADNP for WB.
Proteins predicted to interact with ADNP
Predicted protein interactions based upon String database. Revelancy score correlates with probability of interaction.
CHD4 Antibodies
99.1% Relevancy Score
CBX3 Antibodies
85.6% Relevancy Score
CBX1 Antibodies
84.8% Relevancy Score
HP1 alpha Antibodies
81.9% Relevancy Score
ZFP161 Antibodies
77.8% Relevancy Score
ARID1A Antibodies
75.4% Relevancy Score
BAF170 Antibodies
74.1% Relevancy Score
POGZ Antibodies
71.6% Relevancy Score
GLRX1 Antibodies
71.3% Relevancy Score
Top