ISO 9001:2015 Certified
Live Customer Support
4.5/5 on Trustpilot
100% Quality Guarantee

Anti-Adrenomedullin/ADM Antibody (A88680)

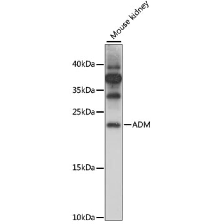
Rabbit polyclonal antibody to Adrenomedullin/ADM for WB.

Shipping Information

$40
Dispatched from St. Louis, MO.
Lead Time: 7-10 business days.
Name
Anti-Adrenomedullin/ADM Antibody
Description
Rabbit polyclonal antibody to Adrenomedullin/ADM.
Applications
WB
Dilutions
WB: 1:500-1:2,000
Reactivity
Mouse
Immunogen
A synthetic peptide corresponding to a sequence within amino acids 50-150 of human ADM (NP_001115.1).
Sequence
SSYPTGLADVKAGPAQTLIRPQDMKGASRSPEDSSPDAARIRVKRYRQSMNNFQGLRSFGCRFGTCTVQKLAHQIYQFTDKDKDNVAPRSKISPQGYGRRR
Host
Rabbit
Clonality
Polyclonal
Isotype
IgG
Conjugate

Unconjugated

Purification
Affinity purification.
Concentration
Lot Specific
Molecular Weight
20 kDa
Product Form
Liquid
Formulation
Supplied in Phosphate Buffered Saline, pH 7.3, with 50% Glycerol and 0.01% Thiomersal.
Storage
Shipped at 4°C. Upon delivery aliquot and store at -20°C. Avoid freeze/thaw cycles.
Disclaimer
This product is for research use only. It is not intended for diagnostic or therapeutic use.
Publishing research using Anti-Adrenomedullin/ADM Antibody (A88680)? Please let us know so that we can list the citation on this page.