Primary Antibodies
Secondary Antibodies
Proteins & Peptides
ELISA Kits
About Us
Contact Us
Sign In/Register
0
ISO 9001:2015 Certified
Live Customer Support
4.5/5 on Trustpilot
100% Quality Guarantee
Home
Primary Antibodies
Adenylosuccinate Lyase Antibodies
Anti-ADSL Antibody (A46741)
Anti-ADSL Antibody (A46741)
Overview
Specifications
Images
Enlarge Image
Enlarge Image
$430
Product Datasheet
Rabbit polyclonal antibody to ADSL for IHC.
100% Guarantee
Price Match Guarantee
Product Size:
100µl
Quantity:
1
2
3
4
5
6
7
8
9
10
Add To Cart
Request a Quotation
Custom or Bulk Request
Shipping Information
Freight/Packing Charges:
$40
Dispatched from St. Louis, MO.
Lead Time: 6-9 business days.
Specifications
Name
Anti-ADSL Antibody
Description
Rabbit polyclonal antibody to ADSL
Specificity
The antibody detects endogenous levels of total ADSL protein.
Applications
IHC
Reactivity
Human
Immunogen
Fusion protein corresponding to residues near the C terminal of human adenylosuccinate lyase
Host
Rabbit
Clonality
Polyclonal
Conjugate
Unconjugated
Purification
Antigen affinity purification.
Concentration
0.7 mg/mL
Formulation
Supplied in PBS, pH 7.3, containing 0.05% sodium azide and 50% glycerol.
Storage
Shipped at 4°C. Upon delivery aliquot and store at -20°C. Avoid freeze/thaw cycles.
Synonyms
Adenylosuccinase, AMPS, ASase
Suitable Secondaries
Goat Anti-Rabbit IgG H&L Antibody (AP) (A294874)
Goat Anti-Rabbit IgG H&L Antibody (Biotin) (A294795)
Goat Anti-Rabbit IgG H&L Antibody (FITC) (A294887)
Goat Anti-Rabbit IgG H&L Antibody (HRP) (A294888)
See all Anti-Rabbit IgG Secondaries →
Disclaimer
This product is for research use only. It is not intended for diagnostic or therapeutic use.
Scientific Validation Data
Validation Data
(2)
Enlarge Image
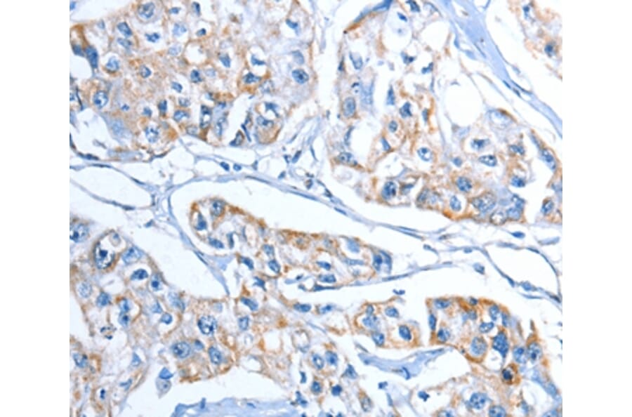
Immunohistochemistry - Anti-ADSL Antibody (A46741)
Immunohistochemical analysis of paraffin-embedded Human breast cancer tissue using #36051 at dilution 1/20.
Enlarge Image
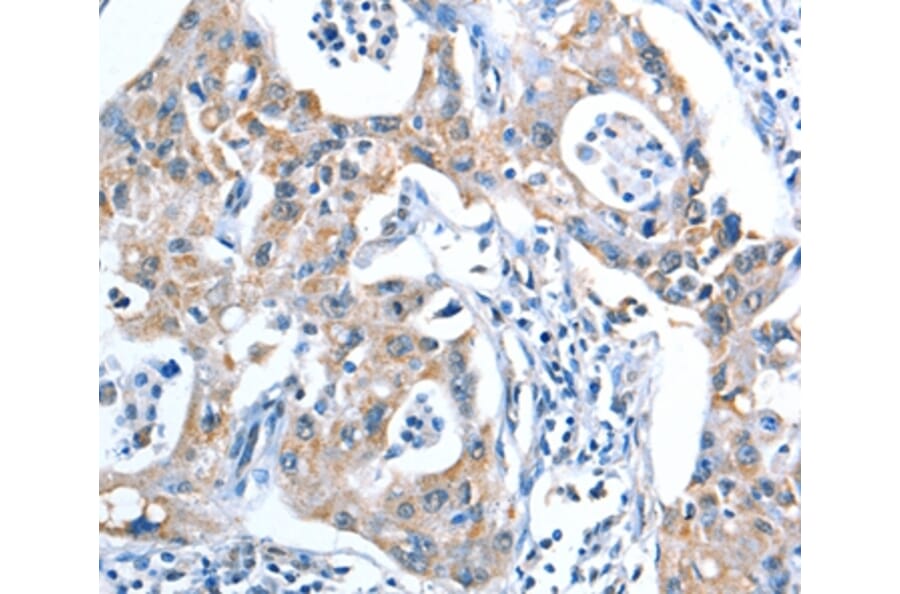
Immunohistochemistry - Anti-ADSL Antibody (A46741)
Immunohistochemical analysis of paraffin-embedded Human liver cancer tissue using #36051 at dilution 1/20.
Publishing research using Anti-ADSL Antibody (A46741)? Please
let us know
so that we can list the citation on this page.
Alternative products to Anti-ADSL Antibody (A46741)
(2)
A15143
Anti-AMPS Antibody
Rabbit polyclonal antibody to AMPS for WB, ICC/IF and IP.
A31262
Anti-ADSL Antibody
Rabbit polyclonal antibody to ADSL for WB and IHC.
A113498
Anti-AMPS Antibody [PAT16C10AT]
Mouse monoclonal [PAT16C10AT] antibody to AMPS for ELISA, WB, Flow Cytometry and ICC/IF.
A344341
Anti-Adenylosuccinate Lyase Antibody [24GB6250]
Mouse monoclonal [24GB6250] antibody to Adenylosuccinate Lyase for WB and Flow Cytometry.
A344342
Anti-Adenylosuccinate Lyase Antibody [25GB595]
Mouse monoclonal [25GB595] antibody to Adenylosuccinate Lyase for WB and Flow Cytometry.
(2)
A15143
Anti-AMPS Antibody
Rabbit polyclonal antibody to AMPS for WB, ICC/IF and IP.
A31262
Anti-ADSL Antibody
Rabbit polyclonal antibody to ADSL for WB and IHC.
A113498
Anti-AMPS Antibody [PAT16C10AT]
Mouse monoclonal [PAT16C10AT] antibody to AMPS for ELISA, WB, Flow Cytometry and ICC/IF.
A344341
Anti-Adenylosuccinate Lyase Antibody [24GB6250]
Mouse monoclonal [24GB6250] antibody to Adenylosuccinate Lyase for WB and Flow Cytometry.
A344342
Anti-Adenylosuccinate Lyase Antibody [25GB595]
Mouse monoclonal [25GB595] antibody to Adenylosuccinate Lyase for WB and Flow Cytometry.
See all ADSL Antibodies
Proteins predicted to interact with Adenylosuccinate Lyase
Predicted protein interactions based upon String database. Revelancy score correlates with probability of interaction.
ATIC Antibodies
99.9% Relevancy Score
AdSS 2 Antibodies
99.9% Relevancy Score
PAICS Antibodies
99.9% Relevancy Score
GART Antibodies
99.9% Relevancy Score
APRT Antibodies
99% Relevancy Score
AK6 Antibodies
98% Relevancy Score
ADK Antibodies
97.7% Relevancy Score
AMPD1 Antibodies
97.3% Relevancy Score
AMPD3 Antibodies
97.3% Relevancy Score
Top