Primary Antibodies
Secondary Antibodies
Proteins & Peptides
ELISA Kits
About Us
Contact Us
Sign In/Register
0
ISO 9001:2015 Certified
Live Customer Support
4.5/5 on Trustpilot
100% Quality Guarantee
Home
Primary Antibodies
AFAP1L2 Antibodies
Anti-AFAP1L2 Antibody (A47482)
Anti-AFAP1L2 Antibody (A47482)
Overview
Specifications
Images
Enlarge Image
Enlarge Image
$780
Product Datasheet
Rabbit polyclonal antibody to AFAP1L2 for ELISA, WB and IHC.
100% Guarantee
Price Match Guarantee
Product Size:
100µl
Quantity:
1
2
3
4
5
6
7
8
9
10
Add To Cart
Request a Quotation
Custom or Bulk Request
Shipping Information
Freight/Packing Charges:
$40
Dispatched from St. Louis, MO.
Lead Time: 6-9 business days.
Specifications
Name
Anti-AFAP1L2 Antibody
Description
Rabbit polyclonal antibody to AFAP1L2
Applications
ELISA
,
WB
,
IHC
Reactivity
Human, Mouse, Rat
Immunogen
Raised against a 15 amino acid peptide near the carboxy terminus of human AFAP1L2.
Host
Rabbit
Clonality
Polyclonal
Conjugate
Unconjugated
Purification
Affinity chromatography purified via peptide column
Formulation
Supplied in phosphate-buffered saline with 0.02% Sodium Azide.
Storage
Shipped at 4°C. Upon delivery aliquot and store at -20°C. Avoid freeze/thaw cycles.
Synonyms
Actin filament-associated protein 1-like 2, AFAP1-like protein 2, KIAA1914, XB130
Suitable Secondaries
Goat Anti-Rabbit IgG H&L Antibody (AP) (A294874)
Goat Anti-Rabbit IgG H&L Antibody (Biotin) (A294795)
Goat Anti-Rabbit IgG H&L Antibody (FITC) (A294887)
Goat Anti-Rabbit IgG H&L Antibody (HRP) (A294888)
See all Anti-Rabbit IgG Secondaries →
Disclaimer
This product is for research use only. It is not intended for diagnostic or therapeutic use.
Scientific Validation Data
Validation Data
(2)
Enlarge Image
Anti-AFAP1L2 Antibody (A47482)
Western blot analysis of AFAP1L2 in mouse liver tissue lysate with AFAP1L2 antibody at (A) 1 and (B) 2 µg/mL.
Enlarge Image
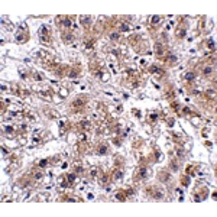
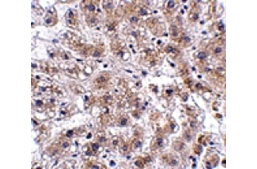
Immunohistochemistry - Anti-AFAP1L2 Antibody (A47482)
Immunohistochemistry of AFAP1L2 in human liver tissue with AFAP1L2 antibody at 2.5 µg/mL.
Publishing research using Anti-AFAP1L2 Antibody (A47482)? Please
let us know
so that we can list the citation on this page.
Proteins predicted to interact with AFAP1L2
Predicted protein interactions based upon String database. Revelancy score correlates with probability of interaction.
Src Antibodies
67.1% Relevancy Score
TRF1 Antibodies
58.3% Relevancy Score
CSK Antibodies
57.5% Relevancy Score
PI3 Kinase p85 alpha Antibodies
55% Relevancy Score
Pleckstrin Antibodies
53.8% Relevancy Score
Lck Antibodies
53.3% Relevancy Score
GSK-3 beta Antibodies
49.6% Relevancy Score
CXADR Antibodies
44.4% Relevancy Score
TACC2 Antibodies
41% Relevancy Score
Top