Primary Antibodies
Secondary Antibodies
Proteins & Peptides
ELISA Kits
About Us
Contact Us
Sign In/Register
0
ISO 9001:2015 Certified
Live Customer Support
4.5/5 on Trustpilot
100% Quality Guarantee
Home
Primary Antibodies
AGO1 Antibodies
Anti-AGO1 Antibody (A46927)
Anti-AGO1 Antibody (A46927)
Overview
Specifications
Images
Enlarge Image
Enlarge Image
$430
Product Datasheet
Rabbit polyclonal antibody to AGO1 for IHC.
100% Guarantee
Price Match Guarantee
Product Size:
100µl
Quantity:
1
2
3
4
5
6
7
8
9
10
Add To Cart
Request a Quotation
Custom or Bulk Request
Shipping Information
Freight/Packing Charges:
$40
Dispatched from St. Louis, MO.
Lead Time: 6-9 business days.
Specifications
Name
Anti-AGO1 Antibody
Description
Rabbit polyclonal antibody to AGO1
Specificity
The antibody detects endogenous levels of total AGO1 protein.
Applications
IHC
Reactivity
Human, Mouse
Immunogen
Synthetic peptide corresponding to a region derived from internal residues of human argonaute RISC catalytic component 1
Host
Rabbit
Clonality
Polyclonal
Conjugate
Unconjugated
Purification
Antigen affinity purification.
Concentration
2.6 mg/mL
Formulation
Supplied in PBS, pH 7.3, containing 0.05% sodium azide and 50% glycerol.
Storage
Shipped at 4°C. Upon delivery aliquot and store at -20°C. Avoid freeze/thaw cycles.
Synonyms
Argonaute RISC catalytic component 1, Argonaute1, eIF-2C 1, eIF2C 1, EIF2C1, Eukaryotic translation initiation factor 2C 1, hAgo1, Protein argonaute-1, Putative RNA-binding protein Q99
Suitable Secondaries
Goat Anti-Rabbit IgG H&L Antibody (AP) (A294874)
Goat Anti-Rabbit IgG H&L Antibody (Biotin) (A294795)
Goat Anti-Rabbit IgG H&L Antibody (FITC) (A294887)
Goat Anti-Rabbit IgG H&L Antibody (HRP) (A294888)
See all Anti-Rabbit IgG Secondaries →
Disclaimer
This product is for research use only. It is not intended for diagnostic or therapeutic use.
Scientific Validation Data
Validation Data
(2)
Enlarge Image
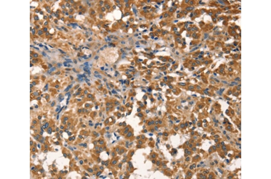
Immunohistochemistry - Anti-AGO1 Antibody (A46927)
Immunohistochemical analysis of paraffin-embedded Human thyroid cancer tissue using #37543 at dilution 1/40.
Enlarge Image
Immunohistochemistry - Anti-AGO1 Antibody (A46927)
Immunohistochemical analysis of paraffin-embedded Human cervical cancer tissue using #37543 at dilution 1/40.
Publishing research using Anti-AGO1 Antibody (A46927)? Please
let us know
so that we can list the citation on this page.
Alternative products to Anti-AGO1 Antibody (A46927)
(3)
A82458
Anti-Ago1 Antibody
Goat polyclonal antibody to Ago1 for ELISA, WB and IHC.
(2)
A11912
Anti-Ago1 Antibody
Rabbit polyclonal antibody to Ago1 for WB.
A49348
Anti-EIF2C1 Antibody
Rabbit polyclonal antibody to EIF2C1 for ELISA and WB.
A321304
Anti-Ago1 Antibody [OTI4G1]
Mouse monoclonal [OTI4G1] antibody to Ago1 for IHC and WB.
A321303
Anti-Ago1 Antibody [OTI4G1] - BSA and Azide free
Mouse monoclonal [OTI4G1] antibody to Ago1 for IHC and WB.
A344365
Anti-AGO1 Antibody [24GB8080]
Mouse monoclonal [24GB8080] antibody to AGO1 for WB.
(3)
A82458
Anti-Ago1 Antibody
Goat polyclonal antibody to Ago1 for ELISA, WB and IHC.
(2)
A11912
Anti-Ago1 Antibody
Rabbit polyclonal antibody to Ago1 for WB.
A49348
Anti-EIF2C1 Antibody
Rabbit polyclonal antibody to EIF2C1 for ELISA and WB.
A321304
Anti-Ago1 Antibody [OTI4G1]
Mouse monoclonal [OTI4G1] antibody to Ago1 for IHC and WB.
A321303
Anti-Ago1 Antibody [OTI4G1] - BSA and Azide free
Mouse monoclonal [OTI4G1] antibody to Ago1 for IHC and WB.
A344365
Anti-AGO1 Antibody [24GB8080]
Mouse monoclonal [24GB8080] antibody to AGO1 for WB.
See all AGO1 Antibodies
Proteins predicted to interact with AGO1
Predicted protein interactions based upon String database. Revelancy score correlates with probability of interaction.
Argonaute 2 Antibodies
99.9% Relevancy Score
GW182 Antibodies
99.9% Relevancy Score
Dicer Antibodies
99.9% Relevancy Score
TRBP Antibodies
99.8% Relevancy Score
DDX6 Antibodies
99.8% Relevancy Score
Argonaute 4 Antibodies
99.3% Relevancy Score
Drosha Antibodies
98.9% Relevancy Score
MOV10 Antibodies
98.8% Relevancy Score
Argonaute 3 Antibodies
98.8% Relevancy Score
Top