Primary Antibodies
Secondary Antibodies
Proteins & Peptides
ELISA Kits
About Us
Contact Us
Sign In/Register
0
ISO 9001:2015 Certified
Live Customer Support
4.5/5 on Trustpilot
100% Quality Guarantee
Home
Primary Antibodies
AGPS Antibodies
Anti-AGPS Antibody (A46747)
Anti-AGPS Antibody (A46747)
Overview
Specifications
Images
Enlarge Image
Enlarge Image
$430
Product Datasheet
Rabbit polyclonal antibody to AGPS for IHC.
100% Guarantee
Price Match Guarantee
Product Size:
100µl
Quantity:
1
2
3
4
5
6
7
8
9
10
Add To Cart
Request a Quotation
Custom or Bulk Request
Shipping Information
Freight/Packing Charges:
$40
Dispatched from St. Louis, MO.
Lead Time: 6-9 business days.
Specifications
Name
Anti-AGPS Antibody
Description
Rabbit polyclonal antibody to AGPS
Specificity
The antibody detects endogenous levels of total AGPS protein.
Applications
IHC
Reactivity
Human
Immunogen
Fusion protein corresponding to residues near the C terminal of human alkylglycerone phosphate synthase
Host
Rabbit
Clonality
Polyclonal
Conjugate
Unconjugated
Purification
Antigen affinity purification.
Concentration
0.9 mg/mL
Formulation
Supplied in PBS, pH 7.3, containing 0.05% sodium azide and 50% glycerol.
Storage
Shipped at 4°C. Upon delivery aliquot and store at -20°C. Avoid freeze/thaw cycles.
Synonyms
Aging-associated gene 5 protein, Alkyl-DHAP synthase, Alkyldihydroxyacetonephosphate synthase, peroxisomal, Alkylglycerone-phosphate synthase
Suitable Secondaries
Goat Anti-Rabbit IgG H&L Antibody (AP) (A294874)
Goat Anti-Rabbit IgG H&L Antibody (Biotin) (A294795)
Goat Anti-Rabbit IgG H&L Antibody (FITC) (A294887)
Goat Anti-Rabbit IgG H&L Antibody (HRP) (A294888)
See all Anti-Rabbit IgG Secondaries →
Disclaimer
This product is for research use only. It is not intended for diagnostic or therapeutic use.
Scientific Validation Data
Validation Data
(2)
Enlarge Image
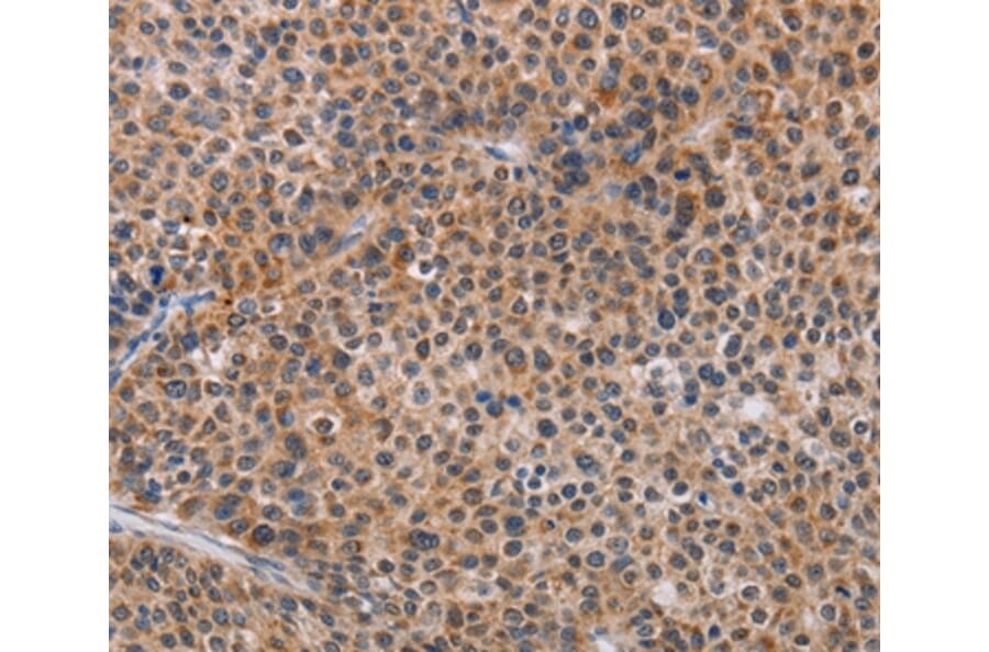
Immunohistochemistry - Anti-AGPS Antibody (A46747)
Immunohistochemical analysis of paraffin-embedded Human thyroid cancer tissue using #36083 at dilution 1/25.
Enlarge Image
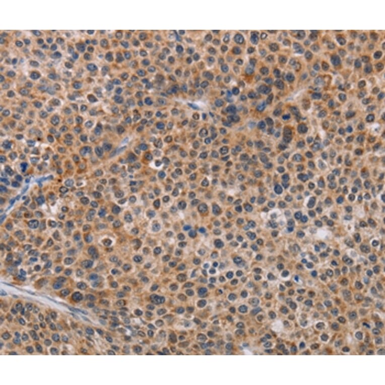
Immunohistochemistry - Anti-AGPS Antibody (A46747)
Immunohistochemical analysis of paraffin-embedded Human liver cancer tissue using #36083 at dilution 1/25.
Publishing research using Anti-AGPS Antibody (A46747)? Please
let us know
so that we can list the citation on this page.
Alternative products to Anti-AGPS Antibody (A46747)
(2)
A11325
Anti-AGPS Antibody
Rabbit polyclonal antibody to AGPS for WB and ICC/IF.
(3)
A86612
Anti-AGPS Antibody [AGPS-03]
Mouse monoclonal [AGPS-03] antibody to AGPS for WB and Flow Cytometry (Intracellular).
A344366
Anti-AGPS Antibody [24GB6810]
Recombinant rabbit monoclonal [24GB6810] antibody to AGPS for WB and Flow Cytometry.
A344367
Anti-AGPS Antibody [25GB3850]
Recombinant rabbit monoclonal [25GB3850] antibody to AGPS for WB, Flow Cytometry and ICC/IF.
(2)
A11325
Anti-AGPS Antibody
Rabbit polyclonal antibody to AGPS for WB and ICC/IF.
(3)
A86612
Anti-AGPS Antibody [AGPS-03]
Mouse monoclonal [AGPS-03] antibody to AGPS for WB and Flow Cytometry (Intracellular).
A344366
Anti-AGPS Antibody [24GB6810]
Recombinant rabbit monoclonal [24GB6810] antibody to AGPS for WB and Flow Cytometry.
A344367
Anti-AGPS Antibody [25GB3850]
Recombinant rabbit monoclonal [25GB3850] antibody to AGPS for WB, Flow Cytometry and ICC/IF.
Proteins predicted to interact with AGPS
Predicted protein interactions based upon String database. Revelancy score correlates with probability of interaction.
GNPAT Antibodies
99.7% Relevancy Score
PEX5 Antibodies
96.6% Relevancy Score
PEX7 Antibodies
95.9% Relevancy Score
PEX14 Antibodies
93.7% Relevancy Score
PEX12 Antibodies
92.9% Relevancy Score
PEX10 Antibodies
92.7% Relevancy Score
PEX13 Antibodies
92.4% Relevancy Score
PHYH Antibodies
88% Relevancy Score
PEX2 Antibodies
87.6% Relevancy Score
Top