Primary Antibodies
Secondary Antibodies
Proteins & Peptides
ELISA Kits
About Us
Contact Us
Sign In/Register
0
ISO 9001:2015 Certified
Live Customer Support
4.5/5 on Trustpilot
100% Quality Guarantee
Home
Primary Antibodies
Agrin Antibodies
Anti-AGRN Antibody (A46863)
Anti-AGRN Antibody (A46863)
Overview
Specifications
Images
Enlarge Image
$430
Product Datasheet
Rabbit polyclonal antibody to AGRN for IHC.
100% Guarantee
Price Match Guarantee
Product Size:
100µl
Quantity:
1
2
3
4
5
6
7
8
9
10
Add To Cart
Request a Quotation
Custom or Bulk Request
Shipping Information
Freight/Packing Charges:
$40
Dispatched from St. Louis, MO.
Lead Time: 6-9 business days.
Specifications
Name
Anti-AGRN Antibody
Description
Rabbit polyclonal antibody to AGRN
Specificity
The antibody detects endogenous levels of total AGRN protein.
Applications
IHC
Reactivity
Human
Immunogen
Synthetic peptide corresponding to a region derived from internal residues of human agrin
Host
Rabbit
Clonality
Polyclonal
Conjugate
Unconjugated
Purification
Antigen affinity purification.
Concentration
1.6 mg/mL
Formulation
Supplied in PBS, pH 7.3, containing 0.05% sodium azide and 50% glycerol.
Storage
Shipped at 4°C. Upon delivery aliquot and store at -20°C. Avoid freeze/thaw cycles.
Suitable Secondaries
Goat Anti-Rabbit IgG H&L Antibody (AP) (A294874)
Goat Anti-Rabbit IgG H&L Antibody (Biotin) (A294795)
Goat Anti-Rabbit IgG H&L Antibody (FITC) (A294887)
Goat Anti-Rabbit IgG H&L Antibody (HRP) (A294888)
See all Anti-Rabbit IgG Secondaries →
Disclaimer
This product is for research use only. It is not intended for diagnostic or therapeutic use.
Scientific Validation Data
Validation Data
(1)
Enlarge Image
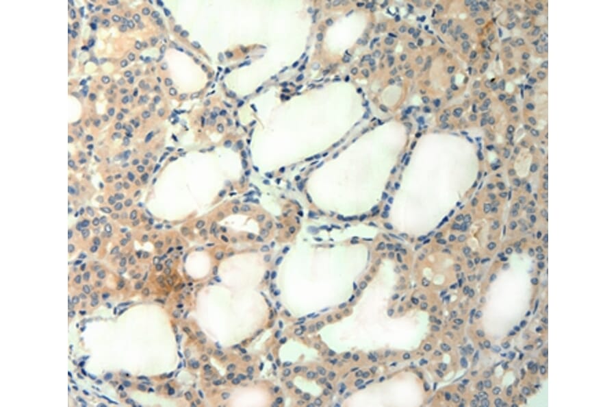
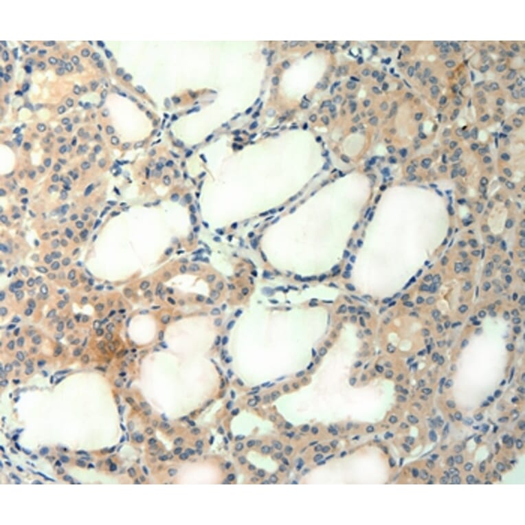
Immunohistochemistry - Anti-AGRN Antibody (A46863)
Immunohistochemical analysis of paraffin-embedded Human thyroid cancer tissue using #37092 at dilution 1/50.
Publishing research using Anti-AGRN Antibody (A46863)? Please
let us know
so that we can list the citation on this page.
Alternative products to Anti-AGRN Antibody (A46863)
(3)
A28287
Anti-AGRN Antibody
Rabbit polyclonal antibody to AGRN for WB and IHC.
(3)
A91657
Anti-Agrin Antibody
Rabbit polyclonal antibody to Agrin for WB and ICC/IF.
(3)
A28287
Anti-AGRN Antibody
Rabbit polyclonal antibody to AGRN for WB and IHC.
(3)
A91657
Anti-Agrin Antibody
Rabbit polyclonal antibody to Agrin for WB and ICC/IF.
Proteins predicted to interact with Agrin
Predicted protein interactions based upon String database. Revelancy score correlates with probability of interaction.
LRP4 Antibodies
99.9% Relevancy Score
Dystroglycan Antibodies
99.9% Relevancy Score
MUSK Antibodies
99.9% Relevancy Score
Perlecan Antibodies
99.3% Relevancy Score
DOK7 Antibodies
99.1% Relevancy Score
Rapsyn Antibodies
98.8% Relevancy Score
Entactin Antibodies
98.5% Relevancy Score
Fibronectin Antibodies
98.3% Relevancy Score
Dystrophin Antibodies
93.6% Relevancy Score
Top