Primary Antibodies
Secondary Antibodies
Proteins & Peptides
ELISA Kits
About Us
Contact Us
Sign In/Register
0
ISO 9001:2015 Certified
Live Customer Support
4.5/5 on Trustpilot
100% Quality Guarantee
Home
Primary Antibodies
AHI1 Antibodies
Anti-AHI1 Antibody (A47037)
Anti-AHI1 Antibody (A47037)
Overview
Specifications
Images
Enlarge Image
$430
Rabbit polyclonal antibody to AHI1 for IHC.
100% Guarantee
Price Match Guarantee
Product Size:
100µl
Quantity:
1
2
3
4
5
6
7
8
9
10
Add To Cart
Request a Quotation
Custom or Bulk Request
Shipping Information
Freight/Packing Charges:
$40
Dispatched from St. Louis, MO.
Lead Time: 6-9 business days.
Specifications
Name
Anti-AHI1 Antibody
Description
Rabbit polyclonal antibody to AHI1
Specificity
The antibody detects endogenous levels of total AHI1 protein.
Applications
IHC
Reactivity
Human
Immunogen
Synthetic peptide of human AHI1
Host
Rabbit
Clonality
Polyclonal
Conjugate
Unconjugated
Purification
Antigen affinity purification.
Concentration
1.5mg / ml
Formulation
Rabbit IgG in pH7.4 PBS, 0.05% NaN3, 40% Glycerol.
Storage
Store at -20˚C
Synonyms
Abelson helper integration site 1 protein homolog, AHI-1, Jouberin
Suitable Secondaries
Goat Anti-Rabbit IgG H&L Antibody (AP) (A294874)
Goat Anti-Rabbit IgG H&L Antibody (Biotin) (A294795)
Goat Anti-Rabbit IgG H&L Antibody (FITC) (A294887)
Goat Anti-Rabbit IgG H&L Antibody (HRP) (A294888)
See all Anti-Rabbit IgG Secondaries →
Disclaimer
This product is for research use only. It is not intended for diagnostic or therapeutic use.
Scientific Validation Data
Validation Data
(1)
Enlarge Image
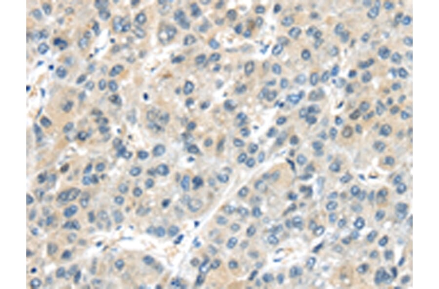
Immunohistochemistry - Anti-AHI1 Antibody (A47037)
Immunohistochemical analysis of paraffin-embedded Human liver cancer tissue using #43102 at dilution 1/25,
Publishing research using Anti-AHI1 Antibody (A47037)? Please
let us know
so that we can list the citation on this page.
Alternative products to Anti-AHI1 Antibody (A47037)
A48522
Anti-AHI1 Antibody
Rabbit polyclonal antibody to AHI1 for ELISA, WB and IHC.
A41657
Anti-Jouberin Antibody
Rabbit polyclonal antibody to Jouberin for WB.
A46984
Anti-AHI1 Antibody
Rabbit polyclonal antibody to AHI1 for IHC.
A48522
Anti-AHI1 Antibody
Rabbit polyclonal antibody to AHI1 for ELISA, WB and IHC.
A41657
Anti-Jouberin Antibody
Rabbit polyclonal antibody to Jouberin for WB.
A46984
Anti-AHI1 Antibody
Rabbit polyclonal antibody to AHI1 for IHC.
Proteins predicted to interact with AHI1
Predicted protein interactions based upon String database. Revelancy score correlates with probability of interaction.
Nephronophthisis Antibodies
99.3% Relevancy Score
CEP290 Antibodies
98.8% Relevancy Score
TCTN1 Antibodies
97.9% Relevancy Score
B9D1 Antibodies
97.6% Relevancy Score
MKS1 Antibodies
96.5% Relevancy Score
TCTN2 Antibodies
96.3% Relevancy Score
TCTN3 Antibodies
96.1% Relevancy Score
RAB8A Antibodies
95.8% Relevancy Score
Huntingtin Associated Protein 1 Antibodies
92.6% Relevancy Score
Top