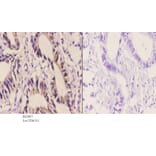
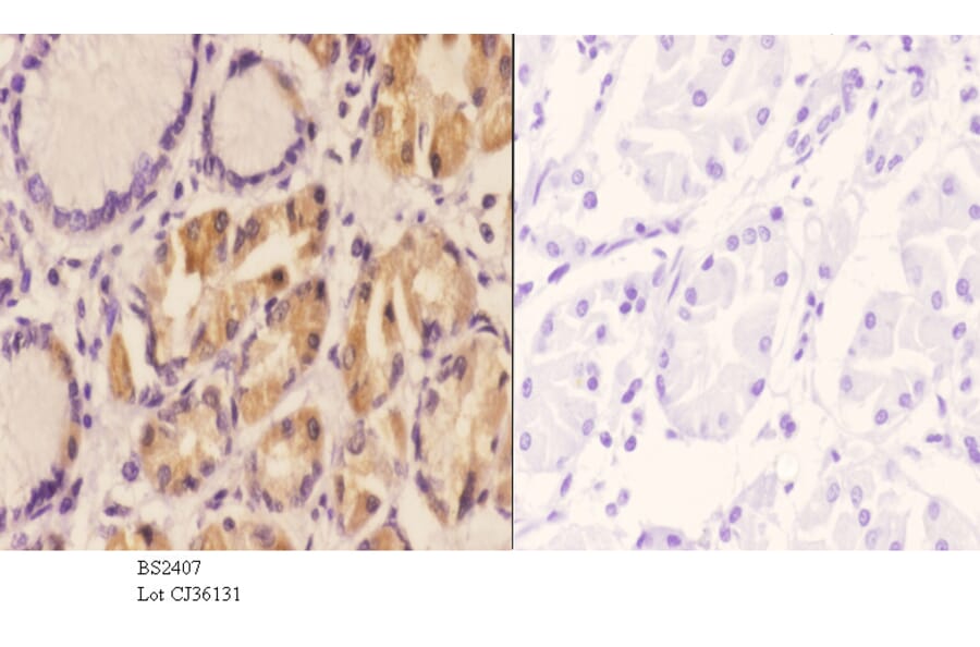
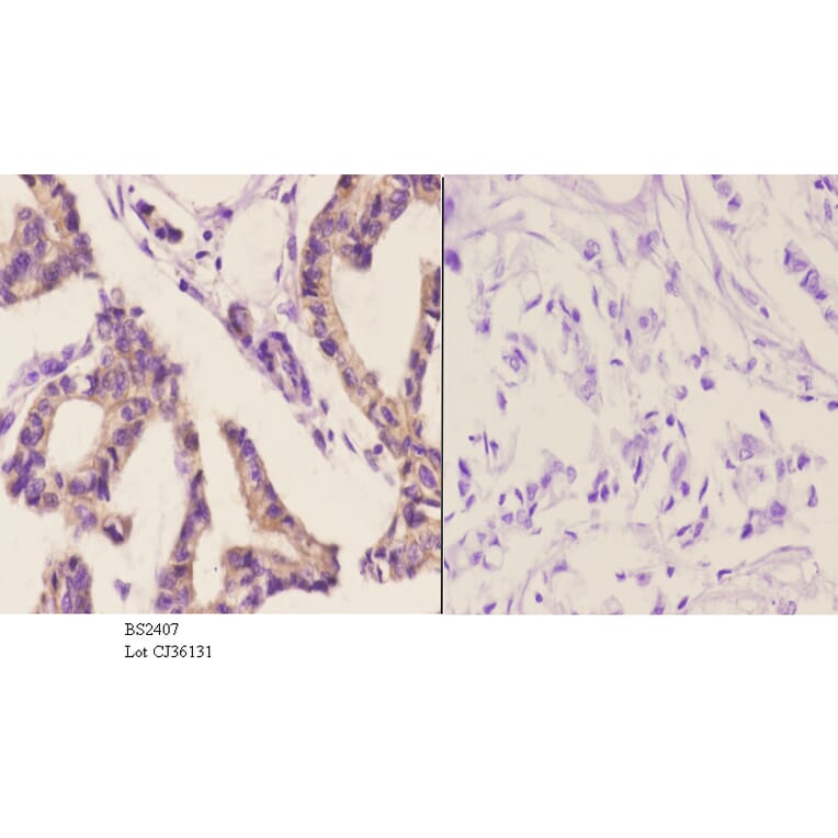
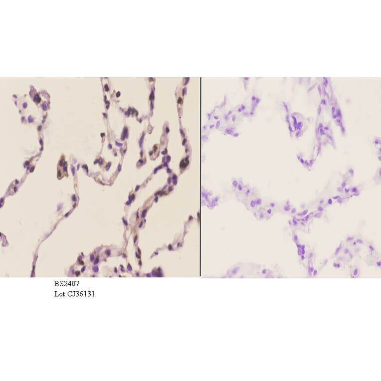
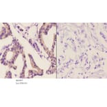
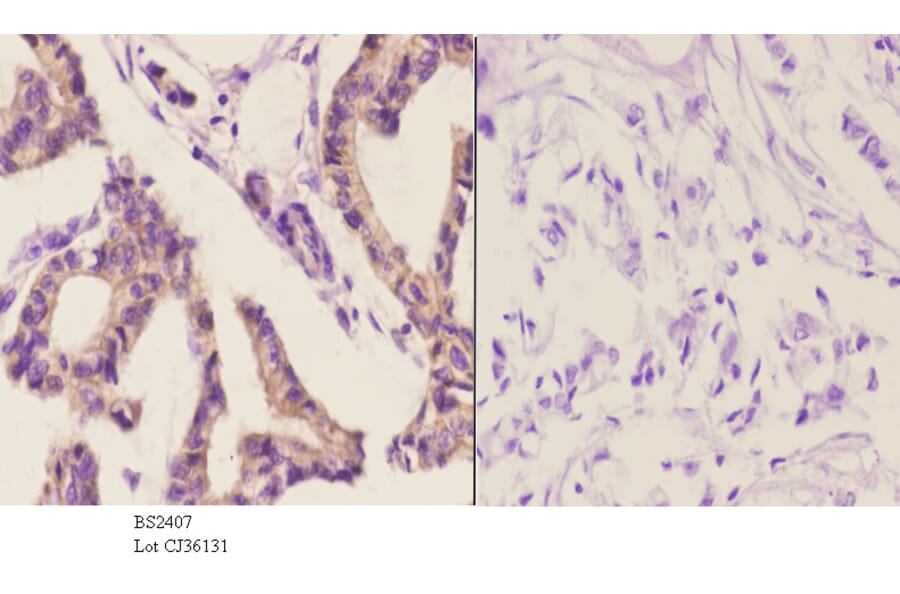
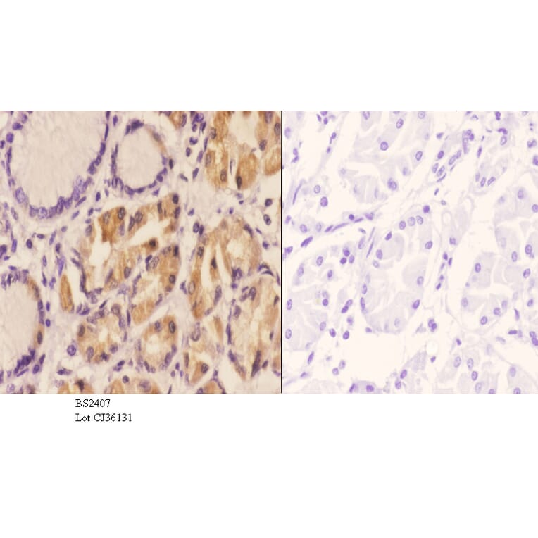
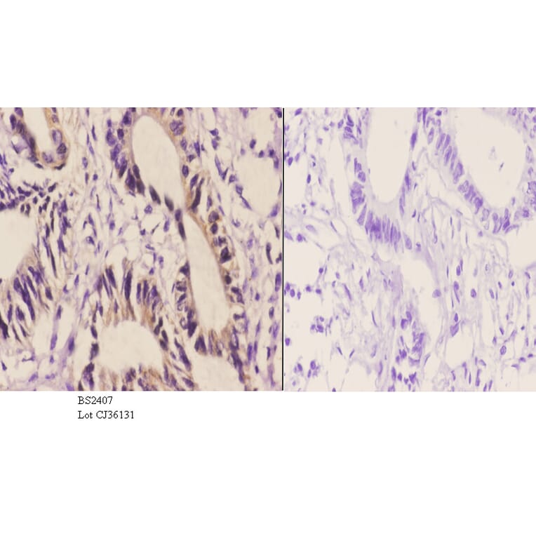
AIF-M1 (Y85) pAb detects endogenous levels of AIF-M1 protein.
Applications
WB, IHC, IF
Reactivity
Human, Mouse, Rat
Immunogen
Synthetic peptide, corresponding to amino acids 61-110 of Human AIF-M1.
Host
Rabbit
Clonality
Polyclonal
Conjugate
Unconjugated
Molecular Weight
~ 67 kDa
Purity
The antibody was affinity-purified from rabbit antiserum by affinity-chromatography using epitope-specific immunogen and the purity is > 95% (by SDS-PAGE).
Product Form
1 mg/ml in Phosphate buffered saline (PBS) with 0.05% sodium azide, approx. pH 7.2.