ISO 9001:2015 Certified
Live Customer Support
4.5/5 on Trustpilot
100% Quality Guarantee

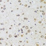
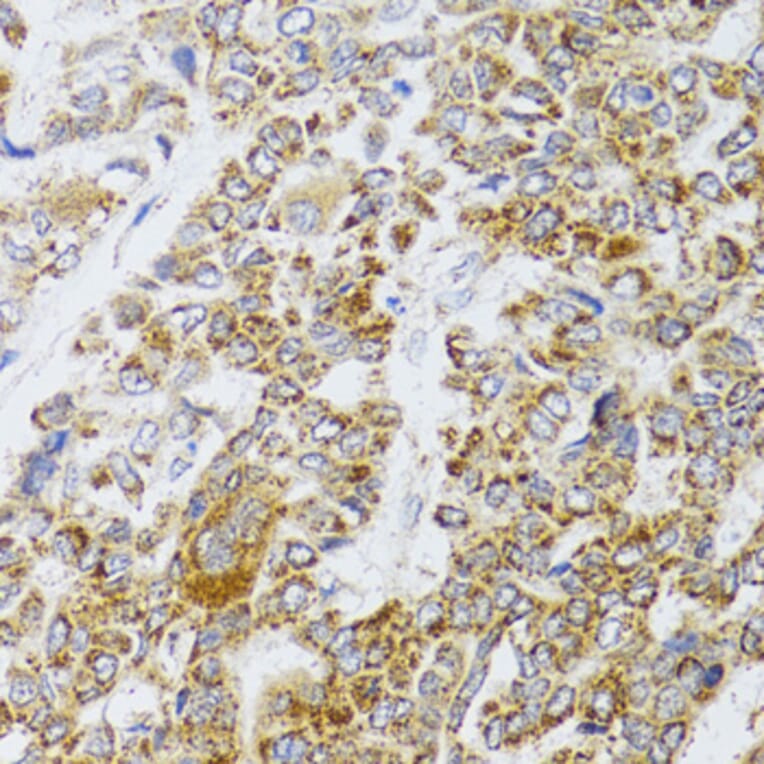
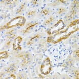
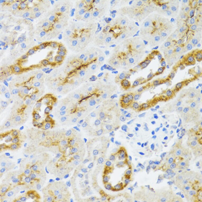
Anti-AIFM3 Antibody (A10467)

Rabbit polyclonal antibody to AIFM3 for WB and IHC.

Shipping Information

$40
Dispatched from St. Louis, MO.
Lead Time: 7-10 business days.
Name
Anti-AIFM3 Antibody
Description
Rabbit polyclonal antibody to AIFM3.
Applications
WB, IHC
Dilutions
WB: 1:500-1:2,000, IHC: 1:50-1:200
Reactivity
Human, Mouse, Rat
Immunogen
Recombinant fusion protein containing a sequence corresponding to amino acids 1-200 of human AIFM3 (NP_001018070.1).
Sequence
MGGCFSKPKPVELKIEVVLPEKERGKEELSASGKGSPRAYQGNGTARHFHTEERLSTPHPYPSPQDCVEAAVCHVKDLENGQMREVELGWGKVLLVKDNGEFHALGHKCPHYGAPLVKGVLSRGRVRCPWHGACFNISTGDLEDFPGLDSLHKFQVKIEKEKVYVRASKQALQLQRRTKVMAKCISPSAGYSSSTNVLIV
Host
Rabbit
Clonality
Polyclonal
Isotype
IgG
Conjugate

Unconjugated

Purification
Affinity purification.
Concentration
Lot Specific
Molecular Weight
72 kDa
Product Form
Liquid
Formulation
Supplied in Phosphate Buffered Saline, pH 7.3, with 50% Glycerol and 0.02% Sodium Azide.
Storage
Shipped at 4°C. Upon delivery aliquot and store at -20°C. Avoid freeze/thaw cycles.
Synonyms
AIFL, Apoptosis-inducing factor 3, Apoptosis-inducing factor-like protein
Disclaimer
This product is for research use only. It is not intended for diagnostic or therapeutic use.
Publishing research using Anti-AIFM3 Antibody (A10467)? Please let us know so that we can list the citation on this page.

Alternative products to Anti-AIFM3 Antibody (A10467)

Proteins predicted to interact with AIFM3

Predicted protein interactions based upon String database. Revelancy score correlates with probability of interaction.
71.6% Relevancy Score
65.2% Relevancy Score
62.1% Relevancy Score
62.1% Relevancy Score
60.6% Relevancy Score
58.9% Relevancy Score
57.9% Relevancy Score
57.2% Relevancy Score
56% Relevancy Score