Primary Antibodies
Secondary Antibodies
Proteins & Peptides
ELISA Kits
About Us
Contact Us
Sign In/Register
0
ISO 9001:2015 Certified
Live Customer Support
4.5/5 on Trustpilot
100% Quality Guarantee
Home
Primary Antibodies
AIM2 Antibodies
Anti-AIM2 Antibody (A46775)
Anti-AIM2 Antibody (A46775)
Overview
Specifications
Images
Enlarge Image
Enlarge Image
$405
Rabbit polyclonal antibody to AIM2 for IHC.
100% Guarantee
Price Match Guarantee
Product Size:
100µl
Quantity:
1
2
3
4
5
6
7
8
9
10
Add To Cart
Request a Quotation
Custom or Bulk Request
Shipping Information
Freight/Packing Charges:
$40
Dispatched from St. Louis, MO.
Lead Time: 6-9 business days.
Specifications
Name
Anti-AIM2 Antibody
Description
Rabbit polyclonal antibody to AIM2
Specificity
The antibody detects endogenous levels of total AIM2 protein.
Applications
IHC
Reactivity
Human
Immunogen
Fusion protein corresponding to a region derived from internal residues of human absent in melanoma 2
Host
Rabbit
Clonality
Polyclonal
Conjugate
Unconjugated
Purification
Antigen affinity purification.
Concentration
3.4 mg/ml
Formulation
Rabbit IgG in pH7.3 PBS, 0.05% NaN3, 50% Glycerol.
Storage
Store at -20˚C
Synonyms
Absent in melanoma 2, Interferon-inducible protein AIM2
Suitable Secondaries
Goat Anti-Rabbit IgG H&L Antibody (AP) (A294874)
Goat Anti-Rabbit IgG H&L Antibody (Biotin) (A294795)
Goat Anti-Rabbit IgG H&L Antibody (FITC) (A294887)
Goat Anti-Rabbit IgG H&L Antibody (HRP) (A294888)
See all Anti-Rabbit IgG Secondaries →
Disclaimer
This product is for research use only. It is not intended for diagnostic or therapeutic use.
Scientific Validation Data
Validation Data
(2)
Enlarge Image
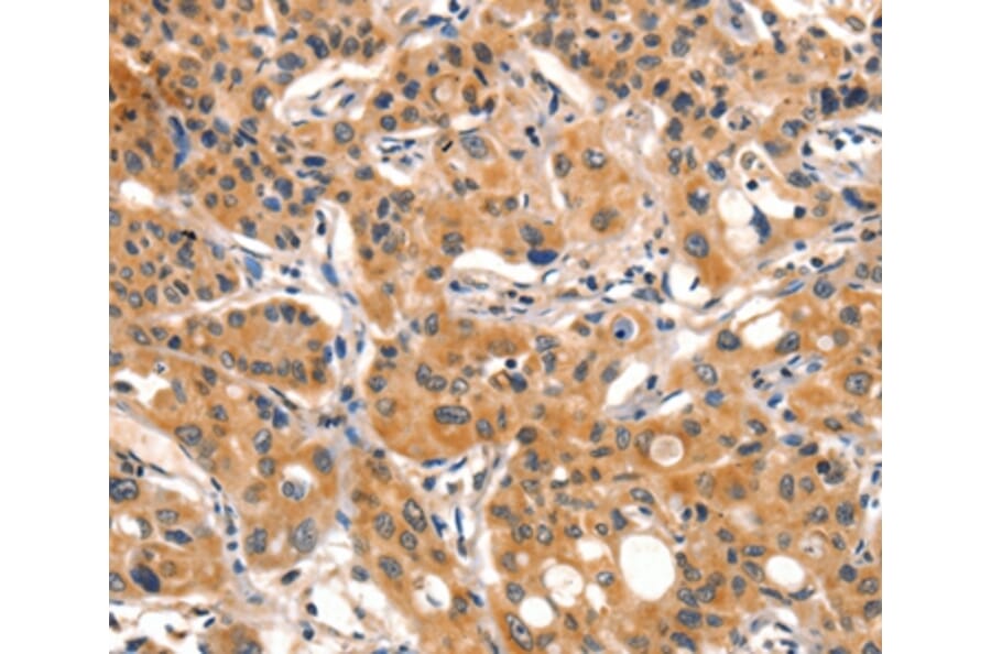
Immunohistochemistry - Anti-AIM2 Antibody (A46775)
Immunohistochemical analysis of paraffin-embedded Human thyroid cancer tissue using #36253 at dilution 1/60.
Enlarge Image
Immunohistochemistry - Anti-AIM2 Antibody (A46775)
Immunohistochemical analysis of paraffin-embedded Human lung cancer tissue using #36253 at dilution 1/60.
Publishing research using Anti-AIM2 Antibody (A46775)? Please
let us know
so that we can list the citation on this page.
Alternative products to Anti-AIM2 Antibody (A46775)
(5)
A84784
Anti-AIM2 Antibody
Goat polyclonal antibody to AIM2 for ELISA, WB, IHC, IF and Flow Cytometry.
(4)
A54942
Anti-AIM2 Antibody
Rabbit polyclonal antibody to AIM2 for ELISA, IHC, IP and WB.
(2)
A9191
Anti-AIM2 Antibody
Rabbit polyclonal antibody to AIM2 for WB and ICC/IF.
(2)
A34469
Anti-AIM2 Antibody
Rabbit polyclonal antibody to AIM2 for WB, IHC, IF and ELISA.
A26238
Anti-AIM2 (A78) Antibody
Rabbit polyclonal antibody to AIM2 (A78) for WB and IHC.
(3)
A101558
Anti-AIM2 Antibody
Rabbit polyclonal antibody to AIM2 for WB and ELISA.
A101559
Anti-AIM2 Antibody
Rabbit polyclonal antibody to AIM2 for WB and ELISA.
A329106
Anti-AIM2 Antibody
Rabbit polyclonal antibody to AIM2 for WB and ELISA.
A42835
Anti-AIM2 Antibody
Rabbit polyclonal antibody to AIM2 for WB.
A84783
Anti-AIM2 Antibody
Goat polyclonal antibody to AIM2 for ELISA and WB.
A310001
Anti-AIM2 Antibody
Rabbit polyclonal antibody to AIM2 for WB.
(5)
A84784
Anti-AIM2 Antibody
Goat polyclonal antibody to AIM2 for ELISA, WB, IHC, IF and Flow Cytometry.
(4)
A54942
Anti-AIM2 Antibody
Rabbit polyclonal antibody to AIM2 for ELISA, IHC, IP and WB.
(2)
A9191
Anti-AIM2 Antibody
Rabbit polyclonal antibody to AIM2 for WB and ICC/IF.
(2)
A34469
Anti-AIM2 Antibody
Rabbit polyclonal antibody to AIM2 for WB, IHC, IF and ELISA.
A26238
Anti-AIM2 (A78) Antibody
Rabbit polyclonal antibody to AIM2 (A78) for WB and IHC.
(3)
A101558
Anti-AIM2 Antibody
Rabbit polyclonal antibody to AIM2 for WB and ELISA.
A101559
Anti-AIM2 Antibody
Rabbit polyclonal antibody to AIM2 for WB and ELISA.
A329106
Anti-AIM2 Antibody
Rabbit polyclonal antibody to AIM2 for WB and ELISA.
A42835
Anti-AIM2 Antibody
Rabbit polyclonal antibody to AIM2 for WB.
A84783
Anti-AIM2 Antibody
Goat polyclonal antibody to AIM2 for ELISA and WB.
A310001
Anti-AIM2 Antibody
Rabbit polyclonal antibody to AIM2 for WB.
See all AIM2 Antibodies
Proteins predicted to interact with AIM2
Predicted protein interactions based upon String database. Revelancy score correlates with probability of interaction.
ASC Antibodies
99.9% Relevancy Score
Pyrin Antibodies
99.9% Relevancy Score
NLRC4 Antibodies
99.9% Relevancy Score
NLRP3 Antibodies
99.9% Relevancy Score
Caspase-1 Antibodies
99.9% Relevancy Score
NLRP1 Antibodies
99.9% Relevancy Score
NLRP6 Antibodies
99.9% Relevancy Score
NAIP Antibodies
99.4% Relevancy Score
Caspase-5 Antibodies
98.9% Relevancy Score
Top