Primary Antibodies
Secondary Antibodies
Proteins & Peptides
ELISA Kits
About Us
Contact Us
Sign In/Register
0
ISO 9001:2015 Certified
Live Customer Support
4.5/5 on Trustpilot
100% Quality Guarantee
Home
Primary Antibodies
AIMP2 Antibodies
Anti-AIMP2 Antibody (A37786)
Anti-AIMP2 Antibody (A37786)
Overview
Specifications
Images
Enlarge Image
Enlarge Image
$430
Product Datasheet
Rabbit polyclonal antibody to AIMP2 for WB and IHC.
100% Guarantee
Price Match Guarantee
Product Size:
100µl
Quantity:
1
2
3
4
5
6
7
8
9
10
Add To Cart
Request a Quotation
Custom or Bulk Request
Shipping Information
Freight/Packing Charges:
$40
Dispatched from St. Louis, MO.
Lead Time: 6-9 business days.
Specifications
Name
Anti-AIMP2 Antibody
Description
Rabbit polyclonal antibody to AIMP2
Specificity
The antibody detects endogenous levels of total AIMP2 protein.
Applications
WB
,
IHC
Reactivity
Human
Immunogen
Fusion protein corresponding to residues near the N terminal of human Aminoacyl tRNA synthase complex-interacting multifunctional protein 2
Host
Rabbit
Clonality
Polyclonal
Conjugate
Unconjugated
Purification
Antigen affinity purification.
Concentration
0.5 mg/mL
Formulation
Supplied in PBS, pH 7.3, containing 0.05% sodium azide and 50% glycerol.
Storage
Shipped at 4°C. Upon delivery aliquot and store at -20°C. Avoid freeze/thaw cycles.
Synonyms
Aminoacyl tRNA synthase complex-interacting multifunctional protein 2, JTV1, Multisynthase complex auxiliary component p38, Protein JTV-1
Suitable Secondaries
Goat Anti-Rabbit IgG H&L Antibody (AP) (A294874)
Goat Anti-Rabbit IgG H&L Antibody (Biotin) (A294795)
Goat Anti-Rabbit IgG H&L Antibody (FITC) (A294887)
Goat Anti-Rabbit IgG H&L Antibody (HRP) (A294888)
See all Anti-Rabbit IgG Secondaries →
Disclaimer
This product is for research use only. It is not intended for diagnostic or therapeutic use.
Scientific Validation Data
Validation Data
(2)
Enlarge Image
Anti-AIMP2 Antibody (A37786)
Gel: 8% SDS-PAGE Lysates (from left to right): Hela, HepG2, MCF-7 and HT-29 cell Amount of lysate: 40ug per lane Primary antibody: 1/200 dilution Secondary antibody dilution: 1/8000 Exposure time: 1 minute
Enlarge Image
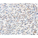
Immunohistochemistry - Anti-AIMP2 Antibody (A37786)
Immunohistochemical analysis of paraffin-embedded Human liver cancer tissue using #35586 at dilution 1/25.
Publishing research using Anti-AIMP2 Antibody (A37786)? Please
let us know
so that we can list the citation on this page.
Alternative products to Anti-AIMP2 Antibody (A37786)
A25007
Anti-JTV1 Antibody
Rabbit polyclonal antibody to JTV1 for WB.
A25007
Anti-JTV1 Antibody
Rabbit polyclonal antibody to JTV1 for WB.
Proteins predicted to interact with AIMP2
Predicted protein interactions based upon String database. Revelancy score correlates with probability of interaction.
LysRS Antibodies
99.9% Relevancy Score
DARS Antibodies
99.9% Relevancy Score
GlnRS Antibodies
99.9% Relevancy Score
EMAP II Antibodies
99.9% Relevancy Score
AIMP3 Antibodies
99.9% Relevancy Score
RARS Antibodies
99.8% Relevancy Score
Isoleucyl tRNA Synthetase Antibodies
99.4% Relevancy Score
Parkin Antibodies
95.7% Relevancy Score
FUBP1 Antibodies
89.2% Relevancy Score
Top