Primary Antibodies
Secondary Antibodies
Proteins & Peptides
ELISA Kits
About Us
Contact Us
Sign In/Register
0
ISO 9001:2015 Certified
Live Customer Support
4.5/5 on Trustpilot
100% Quality Guarantee
Home
Primary Antibodies
AK5 Antibodies
Anti-AK5 Antibody (A47233)
Anti-AK5 Antibody (A47233)
Overview
Specifications
Images
Enlarge Image
Enlarge Image
$430
Product Datasheet
Rabbit polyclonal antibody to AK5 for IHC.
100% Guarantee
Price Match Guarantee
Product Size:
100µl
Quantity:
1
2
3
4
5
6
7
8
9
10
Add To Cart
Request a Quotation
Custom or Bulk Request
Shipping Information
Freight/Packing Charges:
$40
Dispatched from St. Louis, MO.
Lead Time: 6-9 business days.
Specifications
Name
Anti-AK5 Antibody
Description
Rabbit polyclonal antibody to AK5
Specificity
The antibody detects endogenous levels of total AK5 protein.
Applications
IHC
Reactivity
Human
Immunogen
Synthetic peptide corresponding to residues near the N terminal of human adenylate kinase 5
Host
Rabbit
Clonality
Polyclonal
Conjugate
Unconjugated
Purification
Antigen affinity purification.
Concentration
2.4 mg/mL
Formulation
Supplied in PBS, pH 7.3, containing 0.05% sodium azide and 50% glycerol.
Storage
Shipped at 4°C. Upon delivery aliquot and store at -20°C. Avoid freeze/thaw cycles.
Synonyms
Adenylate kinase isoenzyme 5, AK 5, ATP-AMP transphosphorylase 5
Suitable Secondaries
Goat Anti-Rabbit IgG H&L Antibody (AP) (A294874)
Goat Anti-Rabbit IgG H&L Antibody (Biotin) (A294795)
Goat Anti-Rabbit IgG H&L Antibody (FITC) (A294887)
Goat Anti-Rabbit IgG H&L Antibody (HRP) (A294888)
See all Anti-Rabbit IgG Secondaries →
Disclaimer
This product is for research use only. It is not intended for diagnostic or therapeutic use.
Scientific Validation Data
Validation Data
(2)
Enlarge Image
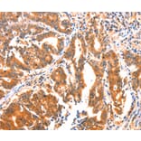
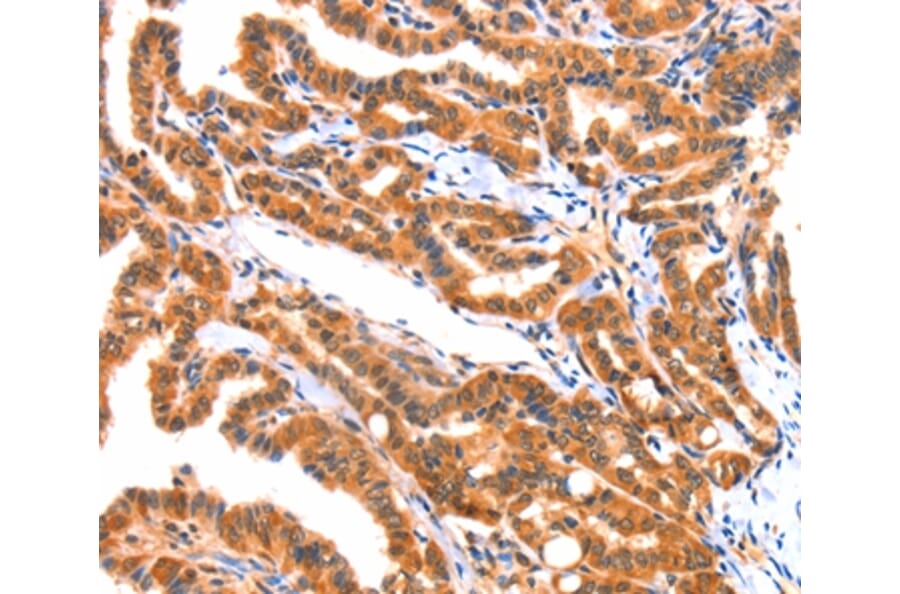
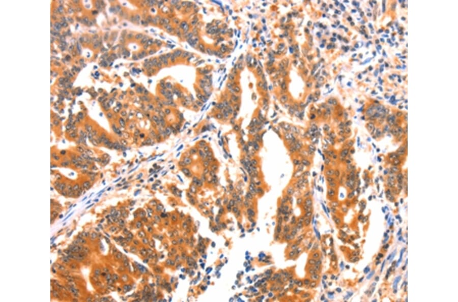
Immunohistochemistry - Anti-AK5 Antibody (A47233)
Immunohistochemical analysis of paraffin-embedded Human gastric cancer tissue using #37394 at dilution 1/60.
Enlarge Image
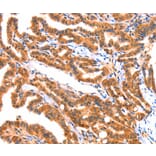
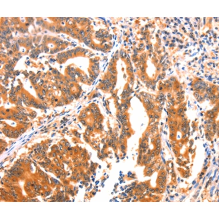
Immunohistochemistry - Anti-AK5 Antibody (A47233)
Immunohistochemical analysis of paraffin-embedded Human thyroid cancer tissue using #37394 at dilution 1/60.
Publishing research using Anti-AK5 Antibody (A47233)? Please
let us know
so that we can list the citation on this page.
Alternative products to Anti-AK5 Antibody (A47233)
(2)
A99487
Anti-AK5 Antibody
Rabbit polyclonal antibody to AK5 for WB, IHC, IF and ELISA.
(2)
A90777
Anti-AK5 Antibody
Rabbit polyclonal antibody to AK5 for WB, IHC and ICC/IF.
A321306
Anti-AK5 Antibody [OTI1D6]
Mouse monoclonal [OTI1D6] antibody to AK5 for Flow Cytometry, IF and WB.
A321305
Anti-AK5 Antibody [OTI1D6] - BSA and Azide free
Mouse monoclonal [OTI1D6] antibody to AK5 for Flow Cytometry, IF and WB.
(2)
A99487
Anti-AK5 Antibody
Rabbit polyclonal antibody to AK5 for WB, IHC, IF and ELISA.
(2)
A90777
Anti-AK5 Antibody
Rabbit polyclonal antibody to AK5 for WB, IHC and ICC/IF.
A321306
Anti-AK5 Antibody [OTI1D6]
Mouse monoclonal [OTI1D6] antibody to AK5 for Flow Cytometry, IF and WB.
A321305
Anti-AK5 Antibody [OTI1D6] - BSA and Azide free
Mouse monoclonal [OTI1D6] antibody to AK5 for Flow Cytometry, IF and WB.
Proteins predicted to interact with AK5
Predicted protein interactions based upon String database. Revelancy score correlates with probability of interaction.
APRT Antibodies
96.5% Relevancy Score
Adenylosuccinate Lyase Antibodies
95.8% Relevancy Score
ADK Antibodies
92.8% Relevancy Score
DCK Antibodies
92.1% Relevancy Score
PKM2 Antibodies
91.5% Relevancy Score
ENTPD2 Antibodies
91.5% Relevancy Score
TPK1 Antibodies
91.3% Relevancy Score
PKLR Antibodies
91.3% Relevancy Score
C1orf57 Antibodies
90.5% Relevancy Score
Top