ISO 9001:2015 Certified
Live Customer Support
4.5/5 on Trustpilot
100% Quality Guarantee

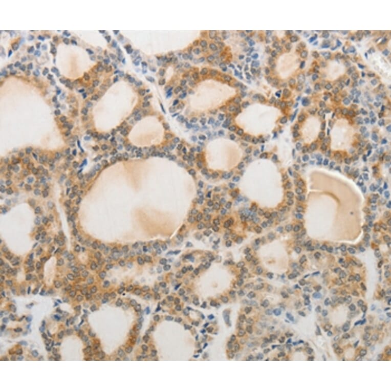
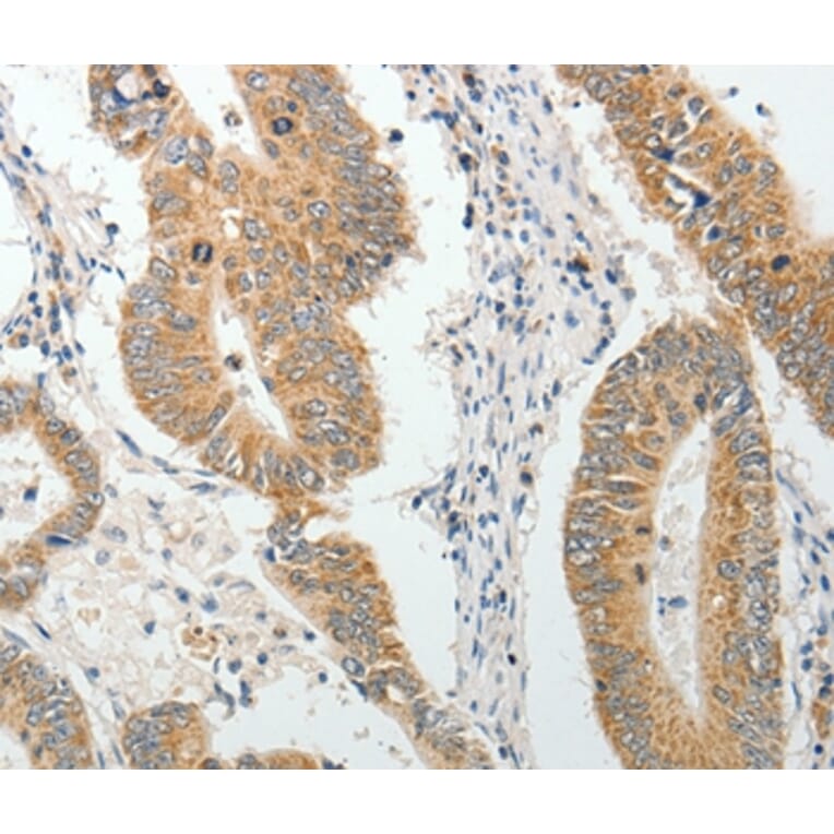
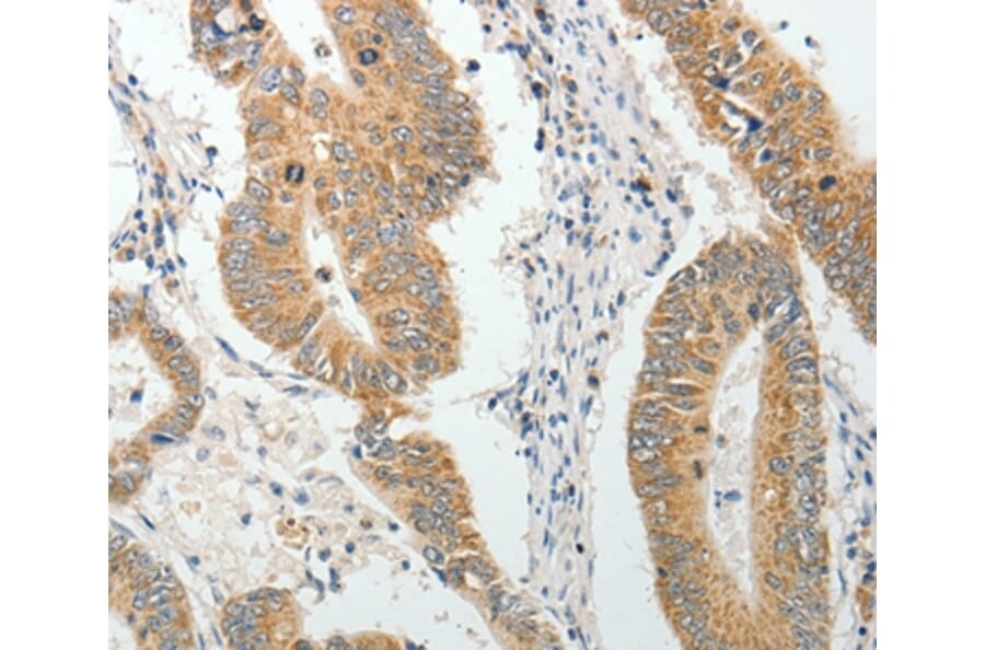
Anti-AKAP1 Antibody (A46122)

Rabbit polyclonal antibody to AKAP1 for IHC.

Shipping Information

$40
Dispatched from St. Louis, MO.
Lead Time: 6-9 business days.
Name
Anti-AKAP1 Antibody
Description
Rabbit polyclonal antibody to AKAP1
Specificity
The antibody detects endogenous levels of total AKAP1 protein.
Applications
IHC
Reactivity
Human
Immunogen
Synthetic peptide corresponding to a region derived from internal residues of human A kinase (PRKA) anchor protein 1
Host
Rabbit
Clonality
Polyclonal
Conjugate

Unconjugated

Purification
Antigen affinity purification.
Concentration
1.4 mg/mL
Formulation
Supplied in PBS, pH 7.3, containing 0.05% sodium azide and 50% glycerol.
Storage
Shipped at 4°C. Upon delivery aliquot and store at -20°C. Avoid freeze/thaw cycles.
Synonyms
A-kinase anchor protein 1, mitochondrial, A-kinase anchor protein 149 kDa, AKAP 149, AKAP149, D-AKAP-1, Dual specificity A-kinase-anchoring protein 1, PRKA1, Protein kinase A-anchoring protein 1, S-AKAP84, Spermatid A-kinase anchor protein 84
Disclaimer
This product is for research use only. It is not intended for diagnostic or therapeutic use.
Publishing research using Anti-AKAP1 Antibody (A46122)? Please let us know so that we can list the citation on this page.

Alternative products to Anti-AKAP1 Antibody (A46122)

Proteins predicted to interact with AKAP1

Predicted protein interactions based upon String database. Revelancy score correlates with probability of interaction.
99.9% Relevancy Score
99.9% Relevancy Score
99.9% Relevancy Score
98.1% Relevancy Score
97.3% Relevancy Score
97% Relevancy Score
95.7% Relevancy Score
94.5% Relevancy Score
93.1% Relevancy Score