Primary Antibodies
Secondary Antibodies
Proteins & Peptides
ELISA Kits
About Us
Contact Us
Sign In/Register
0
ISO 9001:2015 Certified
Live Customer Support
4.5/5 on Trustpilot
100% Quality Guarantee
Home
Primary Antibodies
AKAP4 Antibodies
Anti-AKAP4 Antibody (A45945)
Anti-AKAP4 Antibody (A45945)
Overview
Specifications
Images
Enlarge Image
$430
Product Datasheet
Rabbit polyclonal antibody to AKAP4 for IHC.
100% Guarantee
Price Match Guarantee
Product Size:
100µl
Quantity:
1
2
3
4
5
6
7
8
9
10
Add To Cart
Request a Quotation
Custom or Bulk Request
Shipping Information
Freight/Packing Charges:
$40
Dispatched from St. Louis, MO.
Lead Time: 6-9 business days.
Specifications
Name
Anti-AKAP4 Antibody
Description
Rabbit polyclonal antibody to AKAP4
Specificity
The antibody detects endogenous levels of total AKAP4 protein.
Applications
IHC
Reactivity
Human
Immunogen
Fusion protein corresponding to residues near the C terminal of human A kinase (PRKA) anchor protein 4
Host
Rabbit
Clonality
Polyclonal
Conjugate
Unconjugated
Purification
Antigen affinity purification.
Concentration
0.3 mg/mL
Formulation
Supplied in PBS, pH 7.3, containing 0.05% sodium azide and 50% glycerol.
Storage
Shipped at 4°C. Upon delivery aliquot and store at -20°C. Avoid freeze/thaw cycles.
Synonyms
A-kinase anchor protein 4, A-kinase anchor protein 82 kDa, AKAP 82, AKAP-4, AKAP82, hAKAP82, HI, Major sperm fibrous sheath protein, PRKA4, Protein kinase A-anchoring protein 4
Suitable Secondaries
Goat Anti-Rabbit IgG H&L Antibody (AP) (A294874)
Goat Anti-Rabbit IgG H&L Antibody (Biotin) (A294795)
Goat Anti-Rabbit IgG H&L Antibody (FITC) (A294887)
Goat Anti-Rabbit IgG H&L Antibody (HRP) (A294888)
See all Anti-Rabbit IgG Secondaries →
Disclaimer
This product is for research use only. It is not intended for diagnostic or therapeutic use.
Scientific Validation Data
Validation Data
(1)
Enlarge Image
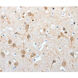
Immunohistochemistry - Anti-AKAP4 Antibody (A45945)
Immunohistochemical analysis of paraffin-embedded Human brain tissue using #36070 at dilution 1/10.
Publishing research using Anti-AKAP4 Antibody (A45945)? Please
let us know
so that we can list the citation on this page.
Alternative products to Anti-AKAP4 Antibody (A45945)
(3)
A91303
Anti-AKAP4 Antibody
Rabbit polyclonal antibody to AKAP4 for WB and ICC/IF.
(3)
A91303
Anti-AKAP4 Antibody
Rabbit polyclonal antibody to AKAP4 for WB and ICC/IF.
Proteins predicted to interact with AKAP4
Predicted protein interactions based upon String database. Revelancy score correlates with probability of interaction.
PRKACB Antibodies
99.1% Relevancy Score
PKA C alpha Antibodies
99.1% Relevancy Score
PRKAR2A Antibodies
96.4% Relevancy Score
PRKACG Antibodies
92.3% Relevancy Score
DDX17 Antibodies
89.9% Relevancy Score
AKAP14 Antibodies
84.2% Relevancy Score
AKAP1 Antibodies
80.2% Relevancy Score
TSN Antibodies
80.1% Relevancy Score
Cyclin B3 Antibodies
79% Relevancy Score
Top