Western Blot - Anti-AKR1C1/AKR1C2 Antibody (A89541)
Western blot analysis of various lysates, using Anti-AKR1C1/AKR1C2 Antibody (A89541) at 1:2,000 dilution. The secondary antibody was Goat Anti-Rabbit IgG H&L Antibody (HRP) at 1:10,000 dilution. Lysates/proteins were present at 25µg per lane. The blocking buffer used was 3% non-fat dry milk in TBST. Detection was with a ECL Basic Kit. Exposure time: 10s.
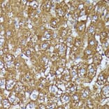
Immunohistochemistry analysis of paraffin-embedded rat liver using Anti-AKR1C1/AKR1C2 Antibody (A89541) at a dilution of 1:100 (40x lens). Perform microwave antigen retrieval with 10 mM PBS buffer pH 7.2 before commencing with IHC staining protocol.
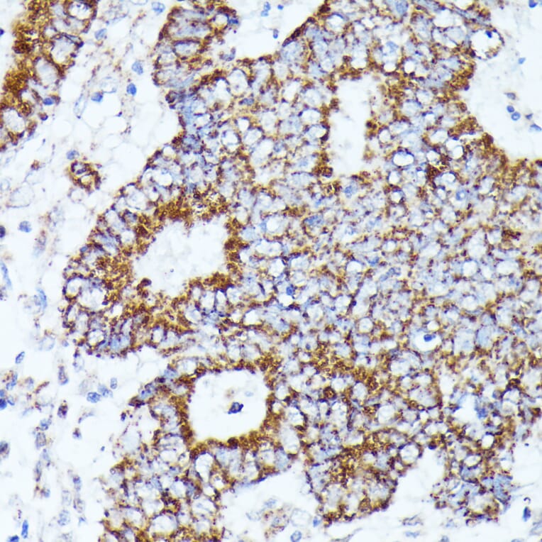
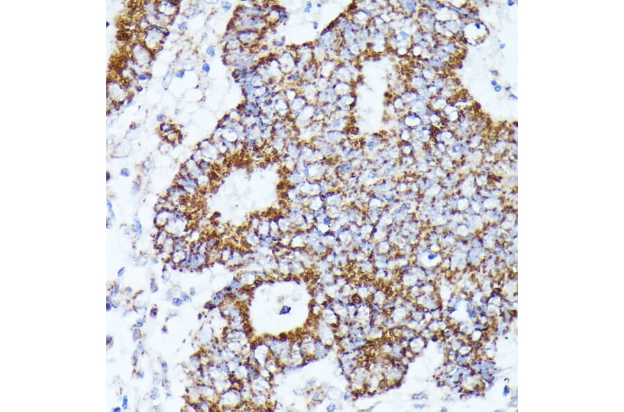
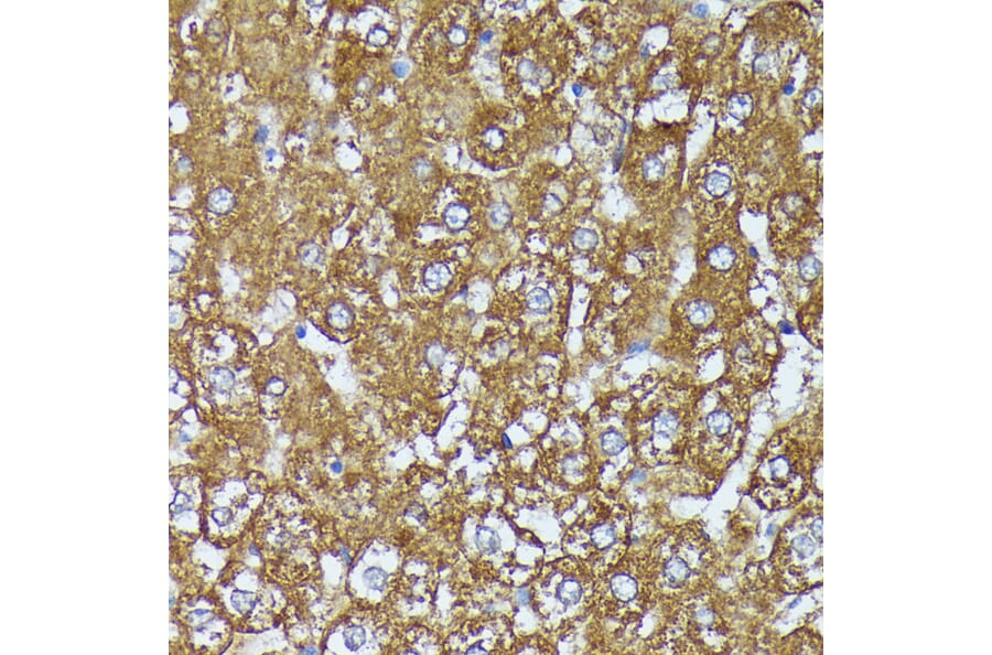
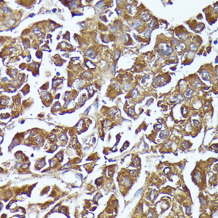
Immunohistochemistry analysis of paraffin-embedded human liver cancer using Anti-AKR1C1/AKR1C2 Antibody (A89541) at a dilution of 1:100 (40x lens). Perform microwave antigen retrieval with 10 mM PBS buffer pH 7.2 before commencing with IHC staining protocol.
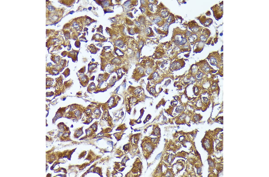
Immunohistochemistry analysis of paraffin-embedded human colon cancer using Anti-AKR1C1/AKR1C2 Antibody (A89541) at a dilution of 1:100 (40x lens). Perform microwave antigen retrieval with 10 mM PBS buffer pH 7.2 before commencing with IHC staining protocol.
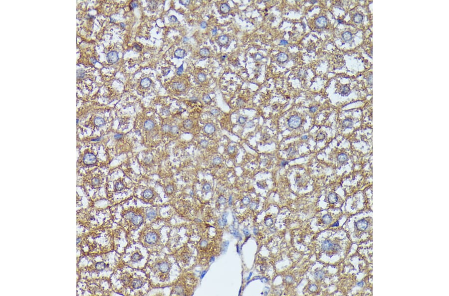
Immunohistochemistry analysis of paraffin-embedded mouse liver using Anti-AKR1C1/AKR1C2 Antibody (A89541) at a dilution of 1:100 (40x lens). Perform microwave antigen retrieval with 10 mM PBS buffer pH 7.2 before commencing with IHC staining protocol.
Immunofluorescence analysis of L929 cells using Anti-AKR1C1/AKR1C2 Antibody (A89541) at a dilution of 1:100 (40x lens). DAPI was used to stain the cell nuclei (blue).
Immunofluorescence analysis of U-2 OS cells using Anti-AKR1C1/AKR1C2 Antibody (A89541) at a dilution of 1:100 (40x lens). DAPI was used to stain the cell nuclei (blue).