ISO 9001:2015 Certified
Live Customer Support
4.5/5 on Trustpilot
100% Quality Guarantee

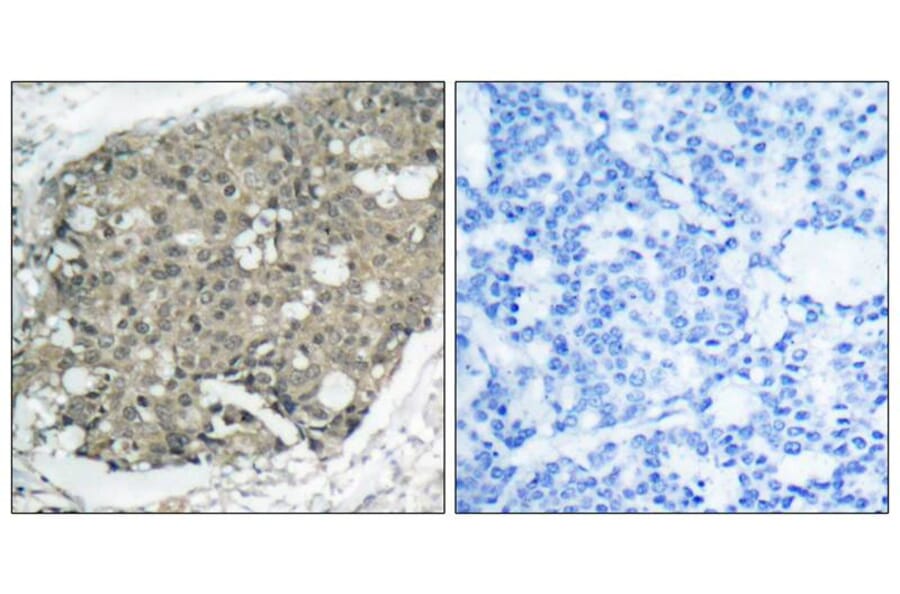
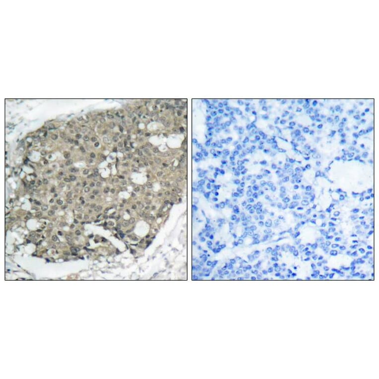
Anti-Akt (Ab-308) Antibody (A36520)

$290

Rabbit polyclonal antibody to Akt (Ab-308) for WB and IHC.

Shipping Information

$40
Dispatched from St. Louis, MO.
Lead Time: 6-9 business days.
Name
Anti-Akt (Ab-308) Antibody
Description
Rabbit polyclonal antibody to Akt (Ab-308)
Specificity
The antibody detects endogenous level of total Akt protein.
Applications
WB, IHC
Dilutions
Western blotting: 1:500~1:1000 Immunohistochemistry: 1:50~1:100
Reactivity
Human, Mouse, Rat
Immunogen
Peptide sequence around aa.306~310 (M-K-T-F-C) derived from Human AKT1.
Host
Rabbit
Clonality
Polyclonal
Conjugate

Unconjugated

Purification
Antibodies were produced by immunizing rabbits with synthetic peptide and KLH conjugates. Antibodies were purified by affinity-chromatography using epitope-specific peptide.
Concentration
1 mg/ml
Predicted MW
60kd
Formulation
Supplied at 1.0mg / mL in phosphate buffered saline (without Mg2+ and Ca2+), pH 7.4, 150mM NaCl, 0.02% sodium azide and 50% glycerol.
Storage
Store at -20°C for long term preservation (recommended). Store at 4°C for short term use.
Disclaimer
This product is for research use only. It is not intended for diagnostic or therapeutic use.
Publishing research using Anti-Akt (Ab-308) Antibody (A36520)? Please let us know so that we can list the citation on this page.

Alternative products to Anti-Akt (Ab-308) Antibody (A36520)