Western Blot - Anti-AKT1 + AKT2 + AKT3 Antibody (A306139)
Western blot analysis of extracts of various cell lines, using Anti-AKT1 + AKT2 + AKT3 Antibody (A306139) at 1:1,000 dilution. The secondary antibody was Goat Anti-Rabbit IgG H&L Antibody (HRP) at 1:10,000 dilution. Lysates/proteins were present at 25µg per lane. The blocking buffer used was 3% non-fat dry milk in TBST. Detection was with a ECL Basic Kit. Exposure time: 30s.
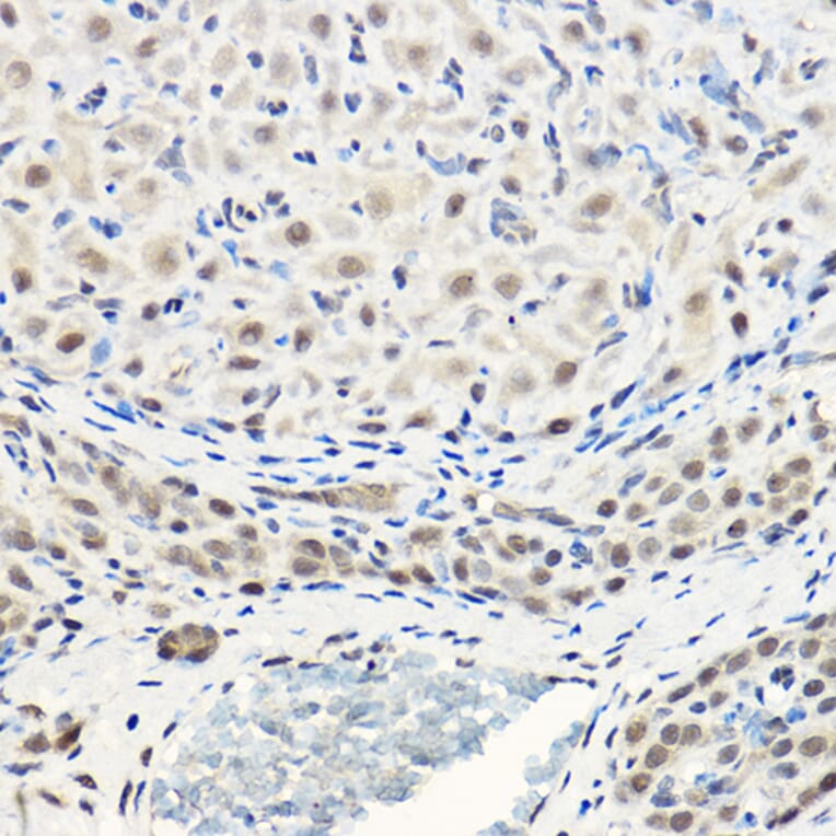
Immunohistochemistry analysis of paraffin-embedded rat ovary using Anti-AKT1 + AKT2 + AKT3 Antibody (A306139) at a dilution of 1:100 (40x lens). Perform high pressure antigen retrieval with 10 mM citrate buffer pH 6.0 before commencing with IHC staining protocol.
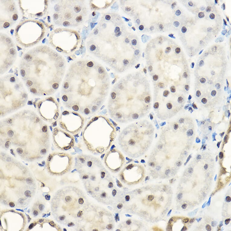
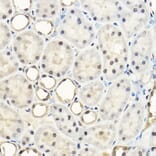
Immunohistochemistry analysis of paraffin-embedded rat kidney using Anti-AKT1 + AKT2 + AKT3 Antibody (A306139) at a dilution of 1:100 (40x lens). Perform high pressure antigen retrieval with 10 mM citrate buffer pH 6.0 before commencing with IHC staining protocol.
Immunofluorescence analysis of C6 cells using Anti-AKT1 + AKT2 + AKT3 Antibody (A306139) at a dilution of 1:100. DAPI was used to stain the cell nuclei (blue).
Immunofluorescence analysis of L929 cells using Anti-AKT1 + AKT2 + AKT3 Antibody (A306139) at a dilution of 1:100. DAPI was used to stain the cell nuclei (blue).
Immunofluorescence analysis of U-2 OS cells using Anti-AKT1 + AKT2 + AKT3 Antibody (A306139) at a dilution of 1:100. DAPI was used to stain the cell nuclei (blue).
Western Blot - Anti-AKT1 + AKT2 + AKT3 Antibody (A306139)
Immunoprecipitation analysis of 25µg extracts of rat brain cells using 3µg of Anti-AKT1 + AKT2 + AKT3 Antibody (A306139). This Western blot was performed on the immunoprecipitate using Anti-AKT1 + AKT2 + AKT3 Antibody (A306139) at a dilution of 1:1000.