Western Blot - Anti-AKT1 +AKT2 + AKT3 (phospho Ser473) Antibody (A308315)
Western blot analysis of extracts of various cell lines, using Anti-AKT1 +AKT2 + AKT3 (phospho Ser473) Antibody (A308315) at 1:1,000 dilution. NIH/3T3 cells were treated by Calyculin A (100 nM) at 37°C for 30 minutes after serum-starvation overnight. C6 cells were treated by 10% FBS at 37°C for 30 minutes after serum-starvation overnight. The secondary antibody was Goat Anti-Rabbit IgG H&L Antibody (HRP) at 1:10,000 dilution. Lysates/proteins were present at 25µg per lane. The blocking buffer used was 3% non-fat dry milk in TBST. Detection was with a ECL Basic Kit. Exposure time: 10s.
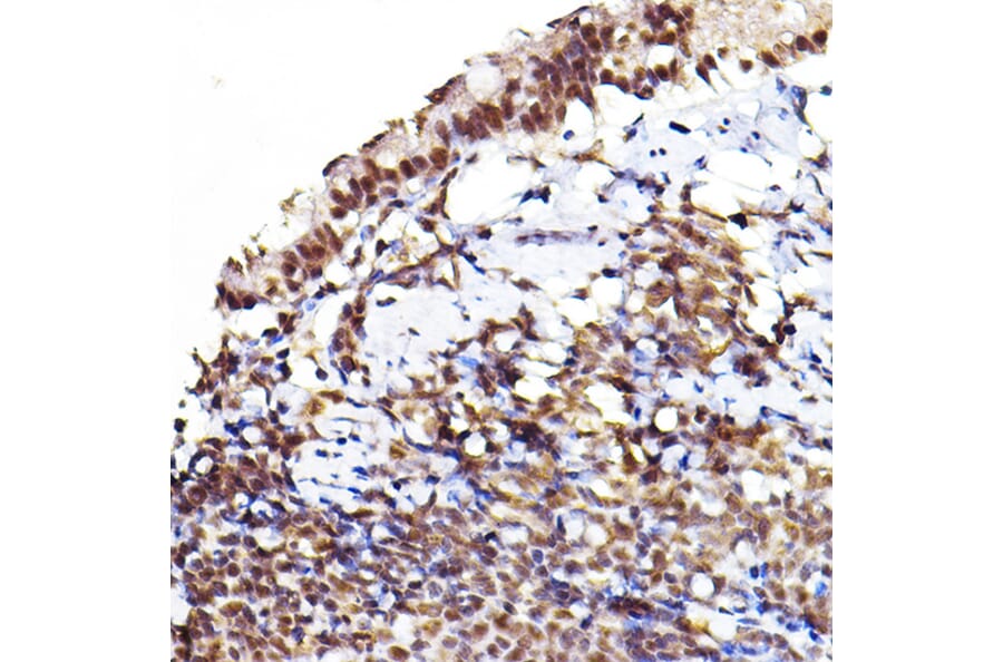
Immunohistochemistry analysis of paraffin-embedded rat lung using Anti-AKT1 +AKT2 + AKT3 (phospho Ser473) Antibody (A308315) at a dilution of 1:100 (40x lens). Perform high pressure antigen retrieval with 10 mM citrate buffer pH 6.0 before commencing with IHC staining protocol.
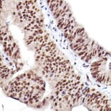
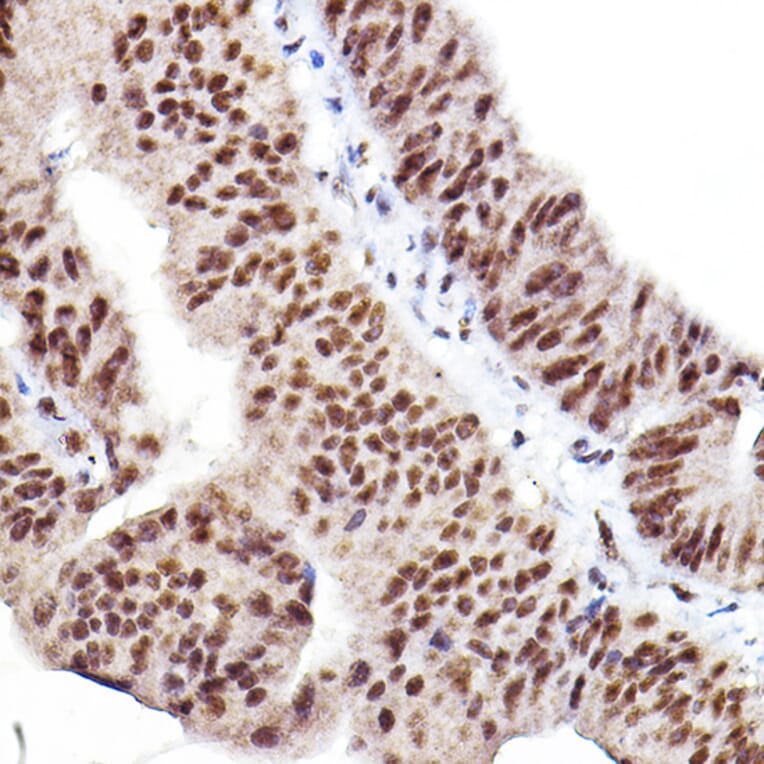
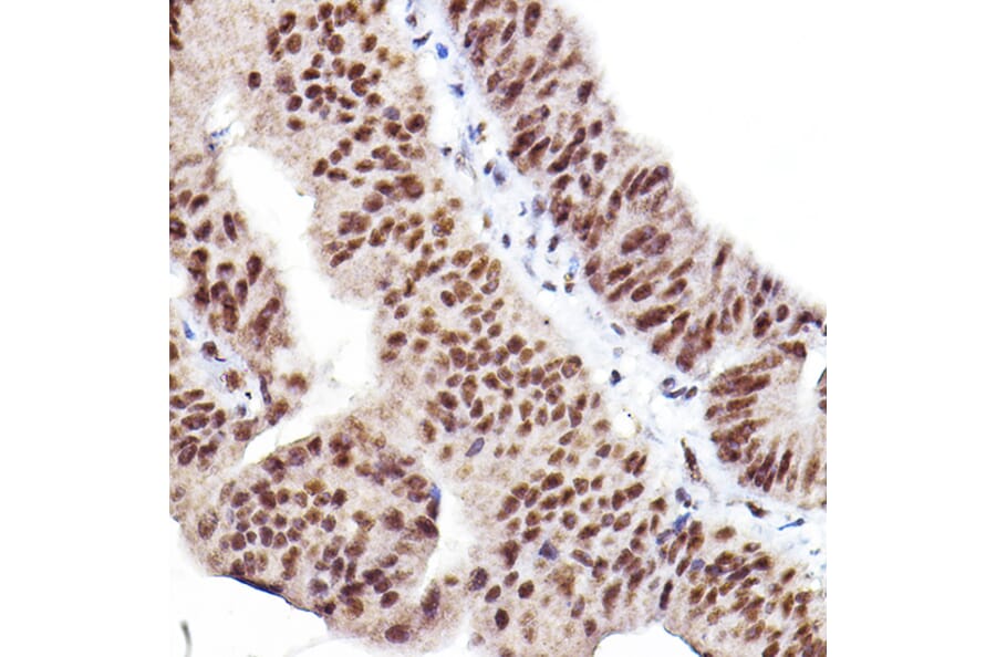
Immunohistochemistry analysis of paraffin-embedded human colon carcinoma tissue using Anti-AKT1 +AKT2 + AKT3 (phospho Ser473) Antibody (A308315) at a dilution of 1:100 (40x lens). Perform high pressure antigen retrieval with 10 mM citrate buffer pH 6.0 before commencing with IHC staining protocol.
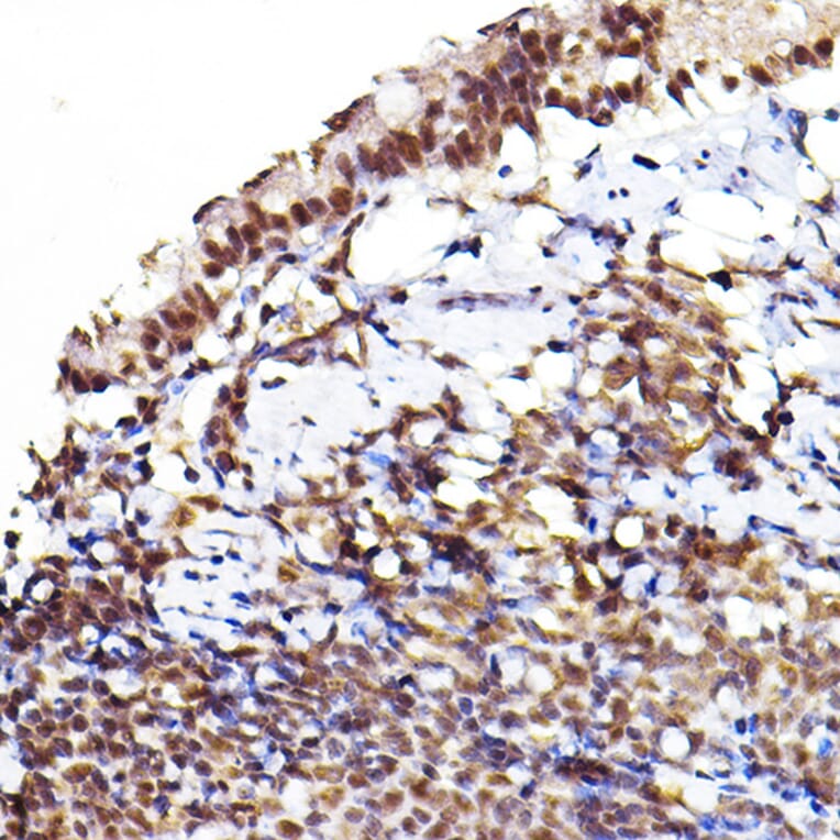
Immunohistochemistry analysis of paraffin-embedded mouse pancreas using Anti-AKT1 +AKT2 + AKT3 (phospho Ser473) Antibody (A308315) at a dilution of 1:100 (40x lens). Perform high pressure antigen retrieval with 10 mM citrate buffer pH 6.0 before commencing with IHC staining protocol.
Publishing research using Anti-AKT1 +AKT2 + AKT3 (phospho Ser473) Antibody (A308315)? Please let us know so that we can list the citation on this page.