Primary Antibodies
Secondary Antibodies
Proteins & Peptides
ELISA Kits
About Us
Contact Us
Sign In/Register
0
ISO 9001:2015 Certified
Live Customer Support
4.5/5 on Trustpilot
100% Quality Guarantee
Home
Primary Antibodies
Albumin Antibodies
Anti-ALB Antibody (A39121)
Anti-ALB Antibody (A39121)
Overview
Specifications
Images
Enlarge Image
Enlarge Image
$430
Product Datasheet
Rabbit polyclonal antibody to ALB for WB and IHC.
100% Guarantee
Price Match Guarantee
Product Size:
100µl
Quantity:
1
2
3
4
5
6
7
8
9
10
Add To Cart
Request a Quotation
Custom or Bulk Request
Shipping Information
Freight/Packing Charges:
$40
Dispatched from St. Louis, MO.
Lead Time: 6-9 business days.
Tags:
Hepatocyte Marker
Specifications
Name
Anti-ALB Antibody
Description
Rabbit polyclonal antibody to ALB
Specificity
The antibody detects endogenous levels of total ALB protein.
Applications
WB
,
IHC
Reactivity
Human
Immunogen
Fusion protein corresponding to a region derived from internal residues of human Serum albumin
Host
Rabbit
Clonality
Polyclonal
Conjugate
Unconjugated
Purification
Antigen affinity purification.
Concentration
1.1 mg/mL
Formulation
Supplied in PBS, pH 7.3, containing 0.05% sodium azide and 50% glycerol.
Storage
Shipped at 4°C. Upon delivery aliquot and store at -20°C. Avoid freeze/thaw cycles.
Suitable Secondaries
Goat Anti-Rabbit IgG H&L Antibody (AP) (A294874)
Goat Anti-Rabbit IgG H&L Antibody (Biotin) (A294795)
Goat Anti-Rabbit IgG H&L Antibody (FITC) (A294887)
Goat Anti-Rabbit IgG H&L Antibody (HRP) (A294888)
See all Anti-Rabbit IgG Secondaries →
Disclaimer
This product is for research use only. It is not intended for diagnostic or therapeutic use.
Scientific Validation Data
Validation Data
(2)
Enlarge Image
Anti-ALB Antibody (A39121)
Gel: 10% SDS-PAGE Lysate: 20ug HepG2 cell Primary antibody: 1/500 dilution Secondary antibody dilution: 1/8000 Exposure time: 1 minute
Enlarge Image
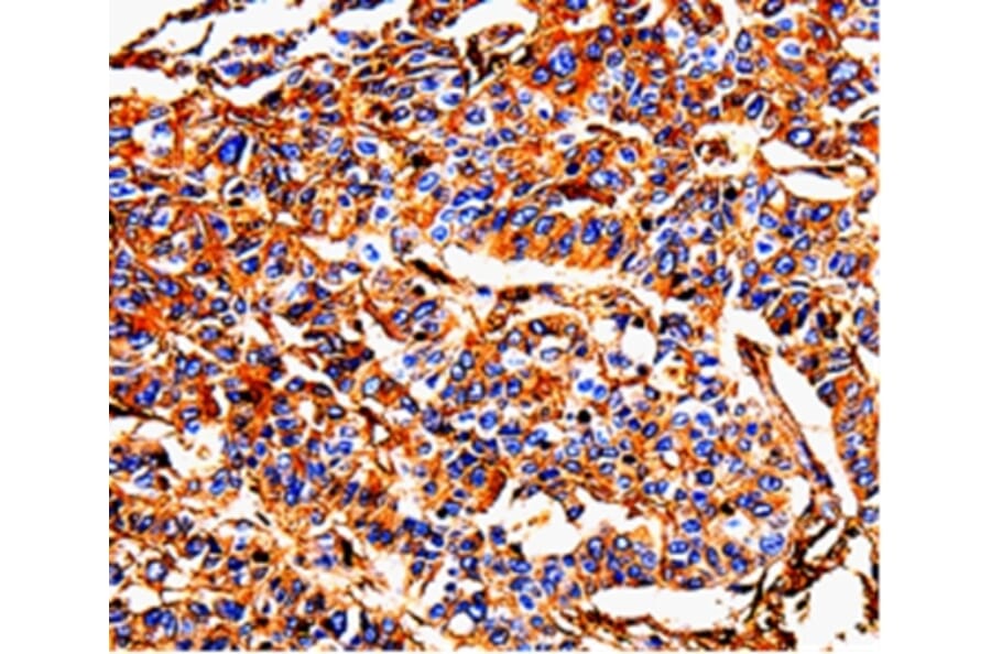
Immunohistochemistry - Anti-ALB Antibody (A39121)
Immunohistochemical analysis of paraffin-embedded Human liver cancer tissue using #35541 at dilution 1/25.
Publishing research using Anti-ALB Antibody (A39121)? Please
let us know
so that we can list the citation on this page.
Alternative products to Anti-ALB Antibody (A39121)
(5)
A248502
Anti-Albumin Antibody [ALB/2356]
Mouse monoclonal [ALB/2356] antibody to Albumin for ELISA, Flow Cytometry, IF and WB.
(5)
A251684
Anti-Albumin Antibody [ALB/2356] - BSA and Azide free
Mouse monoclonal [ALB/2356] antibody to Albumin for ELISA, Flow Cytometry, IF and WB.
(4)
A12617
Anti-Albumin Antibody
Rabbit polyclonal antibody to Albumin for WB, IHC and ICC/IF.
(4)
A251680
Anti-Albumin Antibody [ALB/2141] - BSA and Azide free
Mouse monoclonal [ALB/2141] antibody to Albumin for ELISA, WB and IHC-P.
(3)
A248497
Anti-Albumin Antibody [rALB/6414]
Recombinant mouse monoclonal [rALB/6414] antibody to Albumin for ELISA, IF, WB and IHC-P.
(3)
A251687
Anti-Albumin Antibody [ALB/6409R] - BSA and Azide free
Recombinant rabbit monoclonal [ALB/6409R] antibody to Albumin for ELISA, WB and IHC-P.
(4)
A251686
Anti-Albumin Antibody [ALB/6413R] - BSA and Azide free
Recombinant rabbit monoclonal [ALB/6413R] antibody to Albumin for ELISA, IF, WB and IHC-P.
A34047
Anti-Albumin Antibody
Rabbit polyclonal IVD antibody to Albumin for ELISA, WB and IP.
(4)
A248504
Anti-Albumin Antibody [ALB/6413R]
Recombinant rabbit monoclonal [ALB/6413R] antibody to Albumin for ELISA, IF, WB and IHC-P.
(2)
A323612
Anti-Albumin Antibody [Research Grade Antibody] - Low endotoxin, Azide free
Recombinant humanized monoclonal antibody to Albumin for ELISA, FACS, Functional Assay and In Vivo.
(3)
A251679
Anti-Albumin Antibody [rALB/6414] - BSA and Azide free
Recombinant mouse monoclonal [rALB/6414] antibody to Albumin for ELISA, IF, WB and IHC-P.
(4)
A248498
Anti-Albumin Antibody [ALB/2141]
Mouse monoclonal [ALB/2141] antibody to Albumin for ELISA, WB and IHC-P.
(5)
A248502
Anti-Albumin Antibody [ALB/2356]
Mouse monoclonal [ALB/2356] antibody to Albumin for ELISA, Flow Cytometry, IF and WB.
(5)
A251684
Anti-Albumin Antibody [ALB/2356] - BSA and Azide free
Mouse monoclonal [ALB/2356] antibody to Albumin for ELISA, Flow Cytometry, IF and WB.
(4)
A12617
Anti-Albumin Antibody
Rabbit polyclonal antibody to Albumin for WB, IHC and ICC/IF.
(4)
A251680
Anti-Albumin Antibody [ALB/2141] - BSA and Azide free
Mouse monoclonal [ALB/2141] antibody to Albumin for ELISA, WB and IHC-P.
(3)
A248497
Anti-Albumin Antibody [rALB/6414]
Recombinant mouse monoclonal [rALB/6414] antibody to Albumin for ELISA, IF, WB and IHC-P.
(3)
A251687
Anti-Albumin Antibody [ALB/6409R] - BSA and Azide free
Recombinant rabbit monoclonal [ALB/6409R] antibody to Albumin for ELISA, WB and IHC-P.
(4)
A251686
Anti-Albumin Antibody [ALB/6413R] - BSA and Azide free
Recombinant rabbit monoclonal [ALB/6413R] antibody to Albumin for ELISA, IF, WB and IHC-P.
A34047
Anti-Albumin Antibody
Rabbit polyclonal IVD antibody to Albumin for ELISA, WB and IP.
(4)
A248504
Anti-Albumin Antibody [ALB/6413R]
Recombinant rabbit monoclonal [ALB/6413R] antibody to Albumin for ELISA, IF, WB and IHC-P.
(2)
A323612
Anti-Albumin Antibody [Research Grade Antibody] - Low endotoxin, Azide free
Recombinant humanized monoclonal antibody to Albumin for ELISA, FACS, Functional Assay and In Vivo.
(3)
A251679
Anti-Albumin Antibody [rALB/6414] - BSA and Azide free
Recombinant mouse monoclonal [rALB/6414] antibody to Albumin for ELISA, IF, WB and IHC-P.
(4)
A248498
Anti-Albumin Antibody [ALB/2141]
Mouse monoclonal [ALB/2141] antibody to Albumin for ELISA, WB and IHC-P.
See all ALB Antibodies
Proteins predicted to interact with Albumin
Predicted protein interactions based upon String database. Revelancy score correlates with probability of interaction.
FcRn Antibodies
99.9% Relevancy Score
Insulin Antibodies
99.9% Relevancy Score
Fetuin A Antibodies
99.9% Relevancy Score
alpha 1 Acid Glycoprotein Antibodies
99.8% Relevancy Score
ApoA1 Antibodies
99.8% Relevancy Score
alpha 1 Antitrypsin Antibodies
99.8% Relevancy Score
ORM2 Antibodies
99.8% Relevancy Score
Fibronectin Antibodies
99.8% Relevancy Score
alpha Lactalbumin Antibodies
99.7% Relevancy Score
Top