ISO 9001:2015 Certified
Live Customer Support
4.5/5 on Trustpilot
100% Quality Guarantee

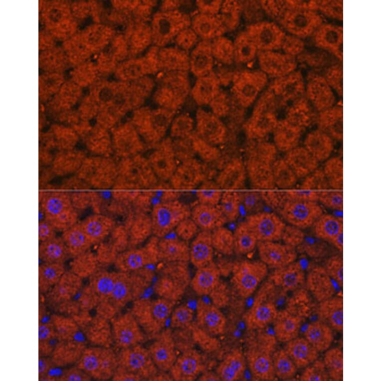
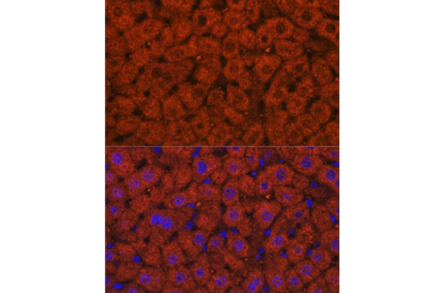
Anti-Alcohol Dehydrogenase + ADH1B + ADH1C Antibody (A306626)

Rabbit polyclonal antibody to Alcohol Dehydrogenase + ADH1B + ADH1C for WB and ICC/IF.

Shipping Information

$40
Dispatched from St. Louis, MO.
Lead Time: 7-10 business days.
Name
Anti-Alcohol Dehydrogenase + ADH1B + ADH1C Antibody
Description
Rabbit polyclonal antibody to Alcohol Dehydrogenase + ADH1B + ADH1C.
Applications
WB, ICC/IF
Dilutions
WB: 1:500-1:2,000, ICC/IF: 1:50-1:200
Reactivity
Human, Mouse, Rat
Immunogen
A synthetic peptide corresponding to a sequence within amino acids 280 to the C-terminus of human ADH1A/ADH1B/ADH1C (NP_000659.2).
Sequence
LLCCHEACGTSVIVGVPPASQNLSINPMLLLTGRTWKGAVYGGFKSKEGIPKLVADFMAKKFSLDALITHVLPFEKINEGFDLLHSGKSIRTVLTF
Host
Rabbit
Clonality
Polyclonal
Isotype
IgG
Conjugate

Unconjugated

Purification
Affinity purification.
Concentration
Lot Specific
Molecular Weight
40 kDa
Product Form
Liquid
Formulation
Supplied in Phosphate Buffered Saline, pH 7.3, with 50% Glycerol and 0.01% Thiomersal.
Storage
Shipped at 4°C. Upon delivery aliquot and store at -20°C. Avoid freeze/thaw cycles.
Disclaimer
This product is for research use only. It is not intended for diagnostic or therapeutic use.
Publishing research using Anti-Alcohol Dehydrogenase + ADH1B + ADH1C Antibody (A306626)? Please let us know so that we can list the citation on this page.