Immunofluorescent analysis of mixed cortical neuron-glial cell culture from an E20 rat stained with Anti-ALDH1L1 Antibody [4A12] (A85315), dilution 1:1,000, in green, and co-stained with Anti-Vimentin Antibody (A85421), dilution 1:5,000, in red. The blue is DAPI staining of nuclear DNA. Anti-ALDH1L1 Antibody [4A12] produces strong cytoplasmic staining of astrocytic glial cells, while the Anti-Vimentin Antibody labels the intermediate filament cytoskeleton in fibroblasts and other glial cells. Some cells, presumably developing asrocytes, are stained by both ALDH1L1 and vimentin and so appear yellow.
Western Blot - Anti-ALDH1L1 Antibody [4A12] (A85315)
Western blot analysis of rat and mouse tissue lysates using Anti-ALDH1L1 Antibody [4A12] (A85315), dilution 1:5,000, in green. The lanes contain: [Lane 1] protein standard (red), rat tissue lysates: [Lane 2] heart, [Lane 3] liver, [Lane 4] kidney, [Lane 5] lung, [Lane 6] brain, and [Lane 7] spinal cord; and mouse tissue lysates: [Lane 8] brain, and [Lane 9] spinal cord. The band at 100 kDa corresponds to ALDH1L1 protein. In line with published work, ALDH1L1 is a major protein of liver and CNS tissue.
Neuron-glia cell mixture cultures stained with Anti-Aldehyde Dehydrogenase H1L1 Antibody (green) and Anti-GFAP Antibody (A85419 | red). Blue is a DNA stain. Anti-Aldehyde Dehydrogenase H1L1 Antibody stains astrocytes and is excluded from neuron cells. Anti-Aldehyde Dehydrogenase H1L1 Antibody stains the astrocytes cell body and processes, whereas Anti-GFAP Antibody labels the intermediate filament cytoskeleton in a subset of astrocytes. Astrocytes stained by both Anti-ALDH1L1 Antibody and Anti-GFAP Antibody appear yellow.
Western Blot - Anti-ALDH1L1 Antibody [4A12] (A85315)
Blot of rat liver tissue homogenates blotted with Anti-Aldehyde Dehydrogenase H1L1 Antibody. Anti-Aldehyde Dehydrogenase H1L1 Antibody binding produces a strong band at ~100 kDa.
Immunofluorescent analysis of COS-1 cells costained with Anti-MeCP2 Antibody (A85427) at a dilution of 1:5,000 (red) and Anti-ALDH1L1 Antibody [4A12] (A85315) at a dilution of 1:1,000, (green). Nuclei were stained with DAPI (blue). Following fixation with 3.7% formalin for 5 min, cells were permeabilized with ice cold methanol, blocked and stained with above antibodies. The MeCP2 antibody selectively stains nuclei of these African green monkey derived cells, while ALDH1L1 protein is expressed in the cytoplasm of these cells.
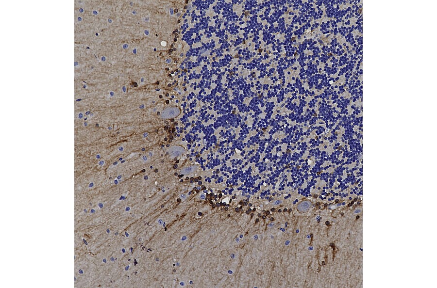
Immunohistochemistry analysis of a formalin fixed paraffin embedded human cerebellum section with Anti-ALDH1L1 Antibody [4A12] (A85315) at a dilution of 1:1,000 detected with DAB (brown) using the Vector Labs ImmPRESS method and reagents with Borg retrieval. Counterstained with Hematoxylin (blue). Anti-ALDH1L1 Antibody [4A12] (A85315) strongly labels the cytoplasm and nuclei of Bergmann glia cells. Note: this antibody performs well in testing with both 4% PFA and NBF fixed rat and human tissues but requires high pH retrieval to stain long term NBF fixed tissue effectively.
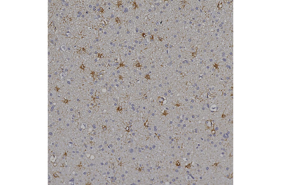
Immunohistochemistry analysis of a NBF fixed paraffin embedded human brain cortex section with Anti-ALDH1L1 Antibody [4A12] (A85315) at a dilution of 1:1,000 detected with DAB (brown) using the Vector Labs ImmPRESS method and reagents with citra buffer retrieval. Counterstained with Hematoxylin (blue). The Anti-ALDH1L1 Antibody [4A12] (A85315) specifically labels the cytoplasm of astrocytic glial cells. Note: this antibody performs well in testing with both 4% PFA and standard NBF fixed rat and human tissues but does not stain long term NBF fixed tissue effectively.