Primary Antibodies
Secondary Antibodies
Proteins & Peptides
ELISA Kits
About Us
Contact Us
Sign In/Register
0
ISO 9001:2015 Certified
Live Customer Support
4.5/5 on Trustpilot
100% Quality Guarantee
Home
Primary Antibodies
ALDH3A2 Antibodies
Anti-ALDH3A2 Antibody (A36924)
Anti-ALDH3A2 Antibody (A36924)
Overview
Specifications
Images
Enlarge Image
Enlarge Image
$430
Rabbit polyclonal antibody to ALDH3A2 for WB and IHC.
100% Guarantee
Price Match Guarantee
Product Size:
100µl
Quantity:
1
2
3
4
5
6
7
8
9
10
Add To Cart
Request a Quotation
Custom or Bulk Request
Shipping Information
Freight/Packing Charges:
$40
Dispatched from St. Louis, MO.
Lead Time: 6-9 business days.
Specifications
Name
Anti-ALDH3A2 Antibody
Description
Rabbit polyclonal antibody to ALDH3A2
Specificity
The antibody detects endogenous levels of total ALDH3A2 protein.
Applications
WB
,
IHC
Reactivity
Human
Immunogen
Fusion protein of human ALDH3A2
Host
Rabbit
Clonality
Polyclonal
Conjugate
Unconjugated
Purification
Antigen affinity purification.
Concentration
1.1 mg/ml
Formulation
Rabbit IgG in pH7.4 PBS, 0.05% NaN3, 40% Glycerol.
Storage
Store at -20˚C
Synonyms
Aldehyde dehydrogenase 10, Aldehyde dehydrogenase family 3 member A2, ALDH10, FALDH, Fatty aldehyde dehydrogenase, Microsomal aldehyde dehydrogenase
Suitable Secondaries
Goat Anti-Rabbit IgG H&L Antibody (AP) (A294874)
Goat Anti-Rabbit IgG H&L Antibody (Biotin) (A294795)
Goat Anti-Rabbit IgG H&L Antibody (FITC) (A294887)
Goat Anti-Rabbit IgG H&L Antibody (HRP) (A294888)
See all Anti-Rabbit IgG Secondaries →
Disclaimer
This product is for research use only. It is not intended for diagnostic or therapeutic use.
Scientific Validation Data
Validation Data
(2)
Enlarge Image
Anti-ALDH3A2 Antibody (A36924)
Gel: 6%SDS-PAGE Lysate: 40 μg Lane 1-2: Human normal liver and fetal liver tissue Primary antibody: 1/250 dilution Secondary antibody: Goat anti rabbit IgG at 1/8000 dilution Exposure time: 10 seconds
Enlarge Image
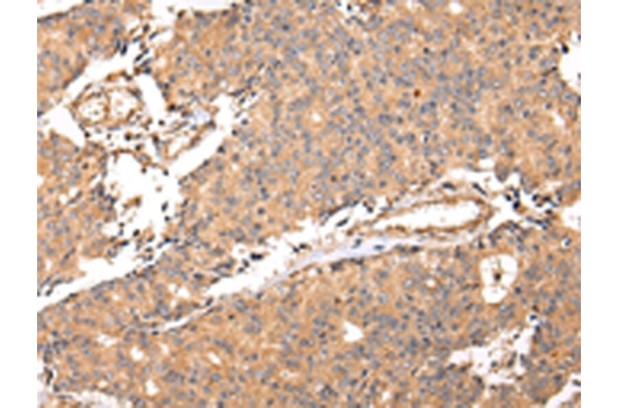
Immunohistochemistry - Anti-ALDH3A2 Antibody (A36924)
Immunohistochemical analysis of paraffin-embedded Human prostate cancer tissue using #42809 at dilution 1/20,
Publishing research using Anti-ALDH3A2 Antibody (A36924)? Please
let us know
so that we can list the citation on this page.
Alternative products to Anti-ALDH3A2 Antibody (A36924)
(2)
A91857
Anti-Aldehyde dehydrogenase 10 Antibody
Rabbit polyclonal antibody to Aldehyde dehydrogenase 10 for WB and ICC/IF.
A305676
Anti-Aldehyde dehydrogenase 10 Antibody
Rabbit polyclonal antibody to Aldehyde dehydrogenase 10 for WB and ICC/IF.
(2)
A82962
Anti-Aldehyde Dehydrogenase 10 Antibody
Goat polyclonal antibody to Aldehyde Dehydrogenase 10 for ELISA, WB and IHC.
A48949
Anti-ALDH3A2 Antibody
Mouse monoclonal antibody to ALDH3A2 for E and WB.
A49079
Anti-Aldh3A2 Antibody
Rabbit polyclonal antibody to Aldh3A2 for E and WB.
A41934
Anti-ALDH3A2 Antibody
Rabbit polyclonal antibody to ALDH3A2 for WB.
A82961
Anti-Aldehyde Dehydrogenase 10 Antibody
Goat polyclonal antibody to Aldehyde Dehydrogenase 10 for ELISA and IHC.
(2)
A91857
Anti-Aldehyde dehydrogenase 10 Antibody
Rabbit polyclonal antibody to Aldehyde dehydrogenase 10 for WB and ICC/IF.
A305676
Anti-Aldehyde dehydrogenase 10 Antibody
Rabbit polyclonal antibody to Aldehyde dehydrogenase 10 for WB and ICC/IF.
(2)
A82962
Anti-Aldehyde Dehydrogenase 10 Antibody
Goat polyclonal antibody to Aldehyde Dehydrogenase 10 for ELISA, WB and IHC.
A48949
Anti-ALDH3A2 Antibody
Mouse monoclonal antibody to ALDH3A2 for E and WB.
A49079
Anti-Aldh3A2 Antibody
Rabbit polyclonal antibody to Aldh3A2 for E and WB.
A41934
Anti-ALDH3A2 Antibody
Rabbit polyclonal antibody to ALDH3A2 for WB.
A82961
Anti-Aldehyde Dehydrogenase 10 Antibody
Goat polyclonal antibody to Aldehyde Dehydrogenase 10 for ELISA and IHC.
See all ALDH3A2 Antibodies
Proteins predicted to interact with ALDH3A2
Predicted protein interactions based upon String database. Revelancy score correlates with probability of interaction.
MAOB Antibodies
95.9% Relevancy Score
EHHADH Antibodies
95.9% Relevancy Score
AKR1B1 Antibodies
95.8% Relevancy Score
MAOA Antibodies
95.7% Relevancy Score
AKR1A1 Antibodies
95.7% Relevancy Score
ACSS1 Antibodies
95.3% Relevancy Score
AKR1B10 Antibodies
95.1% Relevancy Score
ABAT Antibodies
94.7% Relevancy Score
ACSS2 Antibodies
94.7% Relevancy Score
Top