Primary Antibodies
Secondary Antibodies
Proteins & Peptides
ELISA Kits
About Us
Contact Us
Sign In/Register
0
ISO 9001:2015 Certified
Live Customer Support
4.5/5 on Trustpilot
100% Quality Guarantee
Home
Primary Antibodies
Aldolase Antibodies
Anti-ALDOA Antibody (A35165)
Anti-ALDOA Antibody (A35165)
Overview
Specifications
Images
Enlarge Image
Enlarge Image
Enlarge Image
Enlarge Image
$415
Product Datasheet
Rabbit polyclonal antibody to ALDOA for WB and ICC/IF.
100% Guarantee
Price Match Guarantee
Product Size:
50µl
100µl
Quantity:
1
2
3
4
5
6
7
8
9
10
Add To Cart
Request a Quotation
Custom or Bulk Request
Shipping Information
Freight/Packing Charges:
$40
Dispatched from St. Louis, MO.
Lead Time: 6-9 business days.
Specifications
Name
Anti-ALDOA Antibody
Description
Rabbit polyclonal antibody to ALDOA
Specificity
The antibody detects endogenous level of total ALDOA protein.
Applications
WB
,
ICC/IF
Reactivity
Human, Mouse, Rat
Immunogen
Recombinant protein of human ALDOA.
Host
Rabbit
Clonality
Polyclonal
Conjugate
Unconjugated
Purification
Antibodies were purified by affinity purification using immunogen.
Concentration
1.0 mg/mL
Formulation
Supplied in phosphate-buffered saline (without Mg²? and Ca²?), pH 7.4, containing 150 mM NaCl, 0.02% sodium azide, and 50% glycerol.
Storage
Shipped at 4°C. Upon delivery aliquot and store at -20°C. Avoid freeze/thaw cycles.
Synonyms
ALDA, Fructose-bisphosphate aldolase A, Lung cancer antigen NY-LU-1, Muscle-type aldolase
Suitable Secondaries
Goat Anti-Rabbit IgG H&L Antibody (AP) (A294874)
Goat Anti-Rabbit IgG H&L Antibody (Biotin) (A294795)
Goat Anti-Rabbit IgG H&L Antibody (FITC) (A294887)
Goat Anti-Rabbit IgG H&L Antibody (HRP) (A294888)
See all Anti-Rabbit IgG Secondaries →
Disclaimer
This product is for research use only. It is not intended for diagnostic or therapeutic use.
Scientific Validation Data
Validation Data
(4)
Enlarge Image
Anti-ALDOA Antibody (A35165)
Western blot analysis of Hela cell and HepG2 cell lysate using ALDOA antibody.
Enlarge Image
Immunohistochemistry - Anti-ALDOA Antibody (A35165)
Immunohistochemical analysis of paraffin-embedded human stomach cancer using ALDOA antibody at dilution of 1: 200 (400x lens).
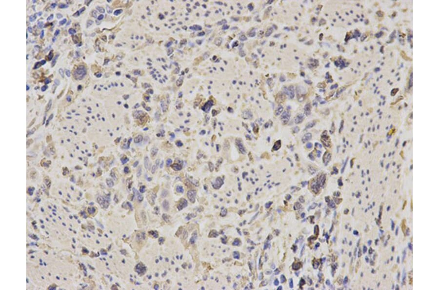
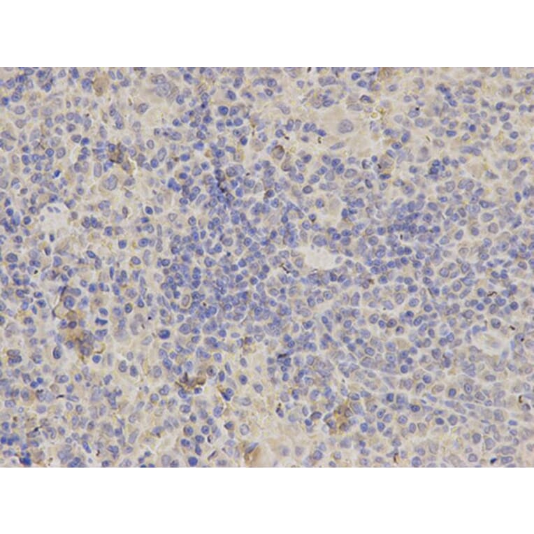
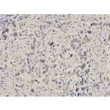
Enlarge Image
Immunohistochemistry - Anti-ALDOA Antibody (A35165)
Immunohistochemical analysis of paraffin-embedded rat spleen using ALDOA antibody at dilution of 1: 200 (400x lens).
Enlarge Image
Immunofluorescence - Anti-ALDOA Antibody (A35165)
Immunofluorescence analysis of A549 cell using ALDOA antibody. Blue: DAPI for nuclear staining.
Publishing research using Anti-ALDOA Antibody (A35165)? Please
let us know
so that we can list the citation on this page.
Alternative products to Anti-ALDOA Antibody (A35165)
A58555
Anti-Aldolase Antibody [PAT3F9AT]
Mouse monoclonal [PAT3F9AT] antibody to Aldolase for ELISA, WB, Flow Cytometry and ICC/IF.
(3)
A97723
Anti-ALDOA Antibody
Rabbit polyclonal antibody to ALDOA for WB, IF and ELISA.
(2)
A13312
Anti-Aldolase Antibody
Rabbit polyclonal antibody to Aldolase for WB and ICC/IF.
A82729
Anti-Aldolase Antibody
Goat polyclonal antibody to Aldolase for ELISA and WB.
A82730
Anti-Aldolase Antibody
Goat polyclonal antibody to Aldolase for ELISA and WB.
A116464
Anti-Aldolase Antibody
Sheep polyclonal antbody to Aldolase for IF, ELISA, Dot and WB.
(2)
A36401
Anti-Fructose-bisphosphate aldolase A Antibody
Rabbit polyclonal antibody to Fructose-bisphosphate aldolase A for WB and IHC.
A42738
Anti-ALDOA Antibody
Rabbit polyclonal antibody to ALDOA for WB.
A344434
Anti-Aldolase Antibody [24GB4710]
Recombinant rabbit monoclonal [24GB4710] antibody to Aldolase for WB.
A344432
Anti-Aldolase Antibody [24GB12450]
Recombinant rabbit monoclonal [24GB12450] antibody to Aldolase for WB.
A49534
Anti-ALDOA Antibody
Rabbit polyclonal antibody to ALDOA for ELISA and WB.
A344433
Anti-Aldolase Antibody [23GB3195]
Recombinant rabbit monoclonal [23GB3195] antibody to Aldolase for WB.
A58555
Anti-Aldolase Antibody [PAT3F9AT]
Mouse monoclonal [PAT3F9AT] antibody to Aldolase for ELISA, WB, Flow Cytometry and ICC/IF.
(3)
A97723
Anti-ALDOA Antibody
Rabbit polyclonal antibody to ALDOA for WB, IF and ELISA.
(2)
A13312
Anti-Aldolase Antibody
Rabbit polyclonal antibody to Aldolase for WB and ICC/IF.
A82729
Anti-Aldolase Antibody
Goat polyclonal antibody to Aldolase for ELISA and WB.
A82730
Anti-Aldolase Antibody
Goat polyclonal antibody to Aldolase for ELISA and WB.
A116464
Anti-Aldolase Antibody
Sheep polyclonal antbody to Aldolase for IF, ELISA, Dot and WB.
(2)
A36401
Anti-Fructose-bisphosphate aldolase A Antibody
Rabbit polyclonal antibody to Fructose-bisphosphate aldolase A for WB and IHC.
A42738
Anti-ALDOA Antibody
Rabbit polyclonal antibody to ALDOA for WB.
A344434
Anti-Aldolase Antibody [24GB4710]
Recombinant rabbit monoclonal [24GB4710] antibody to Aldolase for WB.
A344432
Anti-Aldolase Antibody [24GB12450]
Recombinant rabbit monoclonal [24GB12450] antibody to Aldolase for WB.
A49534
Anti-ALDOA Antibody
Rabbit polyclonal antibody to ALDOA for ELISA and WB.
A344433
Anti-Aldolase Antibody [23GB3195]
Recombinant rabbit monoclonal [23GB3195] antibody to Aldolase for WB.
See all ALDOA Antibodies
Proteins predicted to interact with Aldolase
Predicted protein interactions based upon String database. Revelancy score correlates with probability of interaction.
GAPDH Antibodies
99.9% Relevancy Score
TPI1 Antibodies
99.7% Relevancy Score
Aldolase C Antibodies
99.3% Relevancy Score
PFKL Antibodies
99.2% Relevancy Score
PFKM Antibodies
99% Relevancy Score
PFKP Antibodies
98.8% Relevancy Score
ENO1 Antibodies
98.8% Relevancy Score
GPI Antibodies
98.7% Relevancy Score
PKM2 Antibodies
98.3% Relevancy Score
Top