ISO 9001:2015 Certified
Live Customer Support
4.5/5 on Trustpilot
100% Quality Guarantee

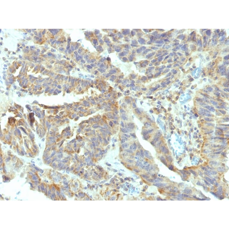
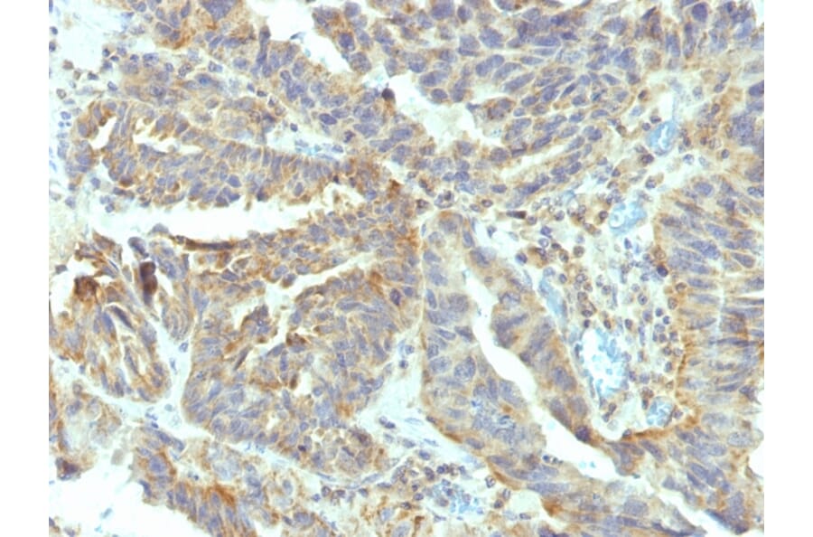
Anti-Alkaline Phosphatase, Tissue Non-Specific Antibody [V17.1] - BSA and Azide free (A251819)

Mouse monoclonal [V17.1] antibody to Alkaline Phosphatase, Tissue Non-Specific for Flow Cytometry, IF and IHC-Fr.

Alternative Formats and ConjugatesAlternative Formats

Shipping Information

$40
Dispatched from St. Louis, MO.
Lead Time: 5-8 business days.
Name
Anti-Alkaline Phosphatase, Tissue Non-Specific Antibody [V17.1] - BSA and Azide free
Description
Mouse monoclonal [V17.1] antibody to Alkaline Phosphatase, Tissue Non-Specific.
Specificity
There are at least four distinct but related alkaline phosphatases: intestinal, placental, placental-like, and liver/bone/kidney (tissue non-specific). The first three are located together on chromosome 2, while the tissue non-specific form is located on chromosome 1. The product of this gene is a membrane bound glycosylated enzyme that is not expressed in any particular tissue and is, therefore, referred to as the tissue-nonspecific form of the enzyme. The exact physiological function of the alkaline phosphatases is not known. A proposed function of this form of the enzyme is matrix mineralization; however, mice that lack a functional form of this enzyme show normal skeletal development. This enzyme has been linked directly to hypo-phosphatasia, a disorder that is characterized by hypercalcemia and includes skeletal defects. The character of this disorder can vary, however, depending on the specific mutation since this determines age of onset and severity of symptoms. Alternatively spliced transcript variants, which encode the same protein, have been identified for this gene.
Applications
Flow Cytometry, IF, IHC-Fr
Dilutions
Flow Cytometry: 1-2 µg/million cells, IF: 1-2 µg/ml, IHC-Fr: 1-2 µg/ml
Reactivity
Human, Bovine
Immunogen
Bovine intestinal alkaline phosphatase.
Host
Mouse
Clonality
Monoclonal
Clone ID
V17.1
Isotype
IgG1
Light Chains
kappa
Conjugate

Unconjugated

Purification
Protein A/G chromatography.
Concentration
1 mg/ml
Molecular Weight
55 kDa
Product Form
Liquid
Formulation
Supplied in 10mM Phosphate Buffered Saline; without Sodium Azide and carrier free.
Storage
Shipped at 4°C. Upon delivery aliquot and store at -20°C. Avoid freeze / thaw cycles.
General Notes
This monoclonal antibody is also available in a different formulation with BSA and Sodium Azide - Anti-Alkaline Phosphatase, Tissue Non-Specific Antibody [V17.1] (A248637).
Synonyms
AKP2, Alkaline phosphatase liver/bone/kidney, Alkaline phosphatase liver/bone/kidney isozyme, Alkaline phosphatase tissue nonspecific isozyme, Alkaline phosphatase, tissue-nonspecific isozyme, Alkaline phosphomonoesterase, Alpl, AP TNAP, AP-TNAP, APTNAP, BAP, FLJ40094, FLJ93059, Glycerophosphatase, HOPS, Liver/bone/kidney type alkaline phosphatase, MGC161443, MGC167935, PHOA, PPBT_HUMAN, Tissue non specific alkaline phosphatase, Tissue nonspecific ALP, TNAP, TNSALP
Disclaimer
This product is for research use only. It is not intended for diagnostic or therapeutic use.
Publishing research using Anti-Alkaline Phosphatase, Tissue Non-Specific Antibody [V17.1] - BSA and Azide free (A251819)? Please let us know so that we can list the citation on this page.

Alternative products to Anti-Alkaline Phosphatase, Tissue Non-Specific Antibody [V17.1] - BSA and Azide free (A251819)