Reconstitute with 100µl of sterile double-distilled water to bring antibody to 1mg/ml concentration. Gently shake to solubilize completely. Do not vortex!
Formulation
Lyophilized from 25mM Histadine, pH 6.2, with 8% Sucrose and 0.01% Tween80.
Storage
Shipped at 4°C. Lyophilized: Store at -20°C to -80°C. Reconstituted: Aliquot and store at -80°C. Product is stable for one year. Avoid freeze/thaw cycles.
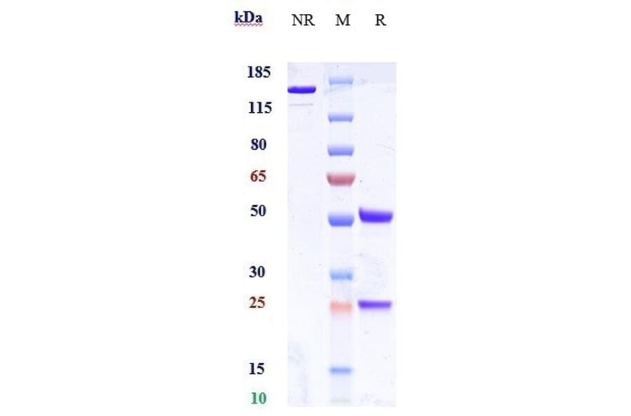
SDS-PAGE analysis of Alomfilimab Biosimilar - Anti-ICOS Antibody - Low endotoxin, Azide free (A323274) under reducing (R) conditions confirms that the purity of this antibody is greater than 95%.
SEC-HPLC analysis of Alomfilimab Biosimilar - Anti-ICOS Antibody - Low endotoxin, Azide free (A323274) confirms that the purity of this antibody is greater than 95%.
Immobilized recombinant cynomolgus/rhesus macaque ICOS protein (His tag) is bound by Alomfilimab Biosimilar - Anti-ICOS Antibody - Low endotoxin, Azide free (A323274). EC50 was approximately 0.01135 µg/ml.
Publishing research using Alomfilimab Biosimilar - Anti-ICOS Antibody - Low endotoxin, Azide free (A323274)? Please let us know so that we can list the citation on this page.
Alternative products to Alomfilimab Biosimilar - Anti-ICOS Antibody - Low endotoxin, Azide free (A323274)
Recombinant humanized monoclonal antibody to ICOS for use as a research grade Vopratelimab biosimila for ELISA, Flow Cytometry, Functional Studies and in vivo Research.
Recombinant human monoclonal antibody to ICOS for use as a research grade Alomfilimab biosimilar for ELISA, Flow Cytometry, Functional Studies and in vivo Research.
Recombinant human monoclonal antibody to ICOS for use as a research grade MEDI-570 biosimilar for ELISA, Flow Cytometry, Functional Studies and in vivo Research.
Recombinant humanized monoclonal antibody to ICOS for use as a research grade Feladilimab biosimilar for ELISA, Flow Cytometry, Functional Studies and in vivo Research.
Recombinant humanized monoclonal antibody to ICOS for use as a research grade Vopratelimab biosimila for ELISA, Flow Cytometry, Functional Studies and in vivo Research.
Recombinant human monoclonal antibody to ICOS for use as a research grade Alomfilimab biosimilar for ELISA, Flow Cytometry, Functional Studies and in vivo Research.
Recombinant human monoclonal antibody to ICOS for use as a research grade MEDI-570 biosimilar for ELISA, Flow Cytometry, Functional Studies and in vivo Research.
Recombinant humanized monoclonal antibody to ICOS for use as a research grade Feladilimab biosimilar for ELISA, Flow Cytometry, Functional Studies and in vivo Research.