ISO 9001:2015 Certified
Live Customer Support
4.5/5 on Trustpilot
100% Quality Guarantee

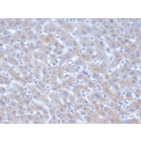
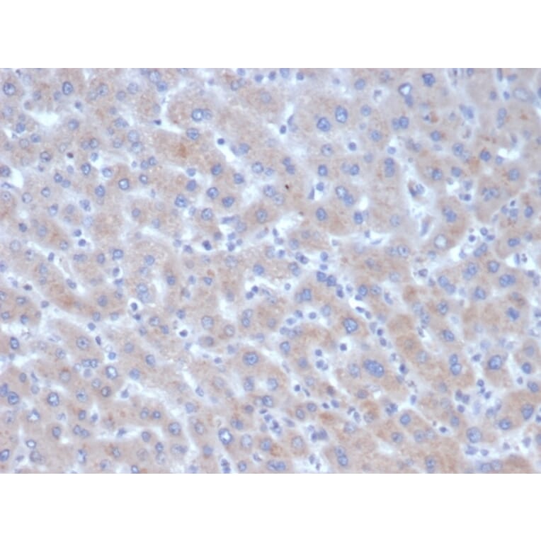
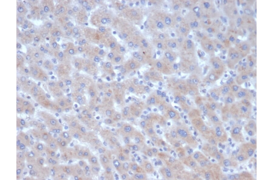
Anti-alpha 1 Antichymotrypsin Antibody [SERPINA3/4185] - BSA and Azide free (A278144)

Mouse monoclonal [SERPINA3/4185] antibody to alpha 1 Antichymotrypsin for IHC-P.

Alternative Formats and ConjugatesAlternative Formats

Shipping Information

$40
Dispatched from St. Louis, MO.
Lead Time: 5-8 business days.
Name
Anti-alpha 1 Antichymotrypsin Antibody [SERPINA3/4185] - BSA and Azide free
Description
Mouse monoclonal [SERPINA3/4185] antibody to alpha 1 Antichymotrypsin.
Specificity
It recognizes a protein of 65-76kDa, which is identified antichymotrypsin (AACT). AACT is a plasma protease inhibitor synthesized in the liver as a single glycopeptide chain. In human, the normal serum level of AACT is about one-tenth that of α 1-antitrypsin (AAT), with which it shares nucleic acid and protein sequence homology. Both are major acute phase reactants; their concentrations in plasma increase in response to trauma, surgery and infection. Elevated levels of AACT are widely, but not universally, reported in the cerebrospinal fluid and plasma of AD patients. Prostate-specific antigen (PSA) and its SDS-stable complex with AACT are in widespread use as markers for the diagnosis of prostate cancer. AACT deficiency may also be a possible cause of chronic liver disease. AACT antibody reacts with histiocytes and histiocytic neoplasms. It is widely used to identify histiocytes and tumors derived from them. Acinar tumors of the pancreas and salivary gland may also exhibit AACT positivity.
Applications
IHC-P
Dilutions
IHC-P: 1-2 µg/ml
Reactivity
Human
Immunogen
Recombinant fragment, around amino acids 49-187, of human alpha 1 Antichymotrypsin. The exact sequence is proprietary.
Host
Mouse
Clonality
Monoclonal
Clone ID
SERPINA3/4185
Isotype
IgG2a
Light Chains
kappa
Conjugate

Unconjugated

Purification
Protein A/G chromatography.
Concentration
1 mg/ml
Molecular Weight
65-76 kDa
Product Form
Liquid
Formulation
Supplied in 10mM Phosphate Buffered Saline; without Sodium Azide and carrier free.
Storage
Shipped at 4°C. Upon delivery aliquot and store at -20°C. Avoid freeze / thaw cycles.
General Notes
This monoclonal antibody is also available in a different formulation with BSA and Sodium Azide - Anti-alpha 1 Antichymotrypsin Antibody [SERPINA3/4185] (A277556).
Synonyms
AACT, ACT, Alpha-1-antichymotrypsin, Cell growth-inhibiting gene 24/25 protein, Serpin A3, SERPINA3
Disclaimer
This product is for research use only. It is not intended for diagnostic or therapeutic use.
Publishing research using Anti-alpha 1 Antichymotrypsin Antibody [SERPINA3/4185] - BSA and Azide free (A278144)? Please let us know so that we can list the citation on this page.

Alternative products to Anti-alpha 1 Antichymotrypsin Antibody [SERPINA3/4185] - BSA and Azide free (A278144)

Proteins predicted to interact with alpha 1 Antichymotrypsin

Predicted protein interactions based upon String database. Revelancy score correlates with probability of interaction.
99.5% Relevancy Score
98.8% Relevancy Score
96.9% Relevancy Score
91.6% Relevancy Score
91.4% Relevancy Score
90.3% Relevancy Score
87.3% Relevancy Score