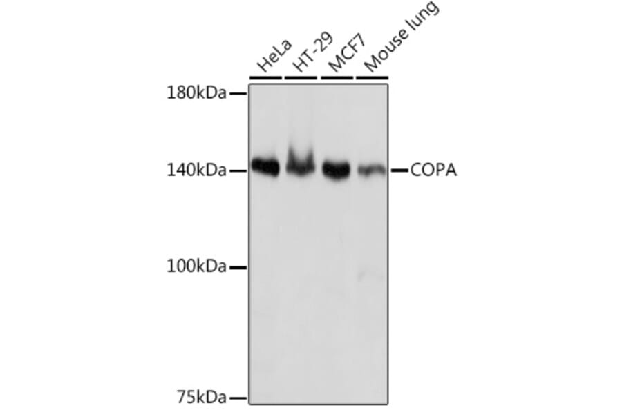
Western Blot - Anti-alpha COP I/COPA Antibody [ARC2215] (A307527)
Western blot analysis of extracts of various cell lines, using Anti-alpha COP I/COPA Antibody [ARC2215] (A307527) at 1:1,000 dilution. The secondary antibody was Goat Anti-Rabbit IgG H&L Antibody (HRP) at 1:10,000 dilution. Lysates/proteins were present at 25µg per lane. The blocking buffer used was 3% non-fat dry milk in TBST. Detection was with a ECL Basic Kit. Exposure time: 1s.
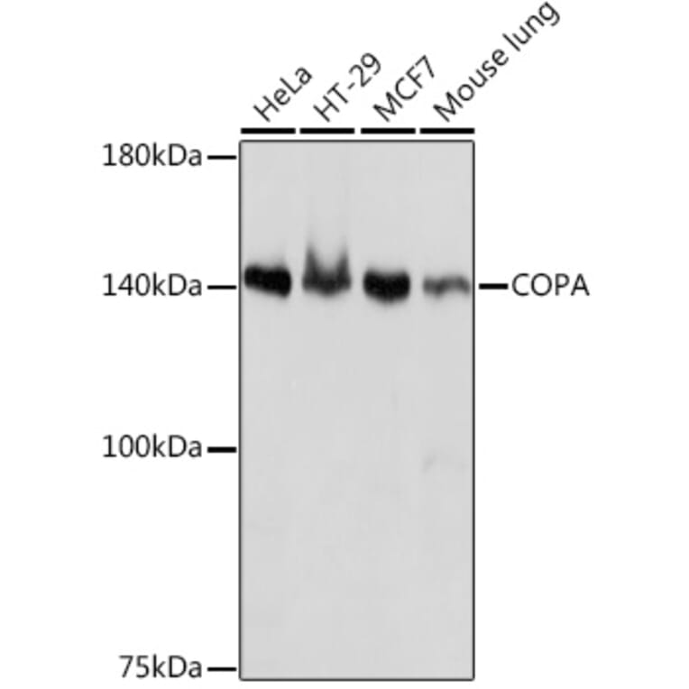
Western Blot - Anti-alpha COP I/COPA Antibody [ARC2215] (A307527)
Western blot analysis of extracts of Rat brain, using Anti-alpha COP I/COPA Antibody [ARC2215] (A307527) at 1:1,000 dilution. The secondary antibody was Goat Anti-Rabbit IgG H&L Antibody (HRP) at 1:10,000 dilution. Lysates/proteins were present at 25µg per lane. The blocking buffer used was 3% non-fat dry milk in TBST. Detection was with a ECL Basic Kit. Exposure time: 10s.
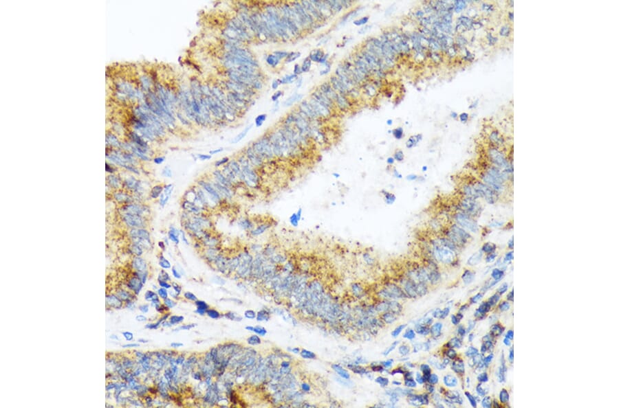
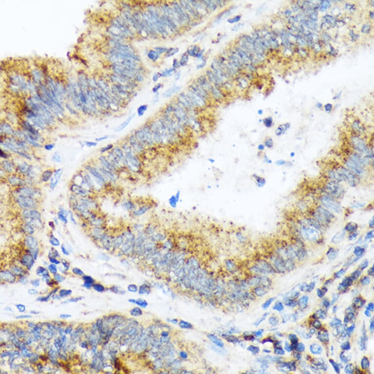
Immunohistochemistry analysis of paraffin-embedded human colon carcinoma tissue using Anti-alpha COP I/COPA Antibody [ARC2215] (A307527) at a dilution of 1:100(40x lens). Perform microwave antigen retrieval with 10 mM Tris/EDTA buffer pH 9.0 before commencing with IHC staining protocol.
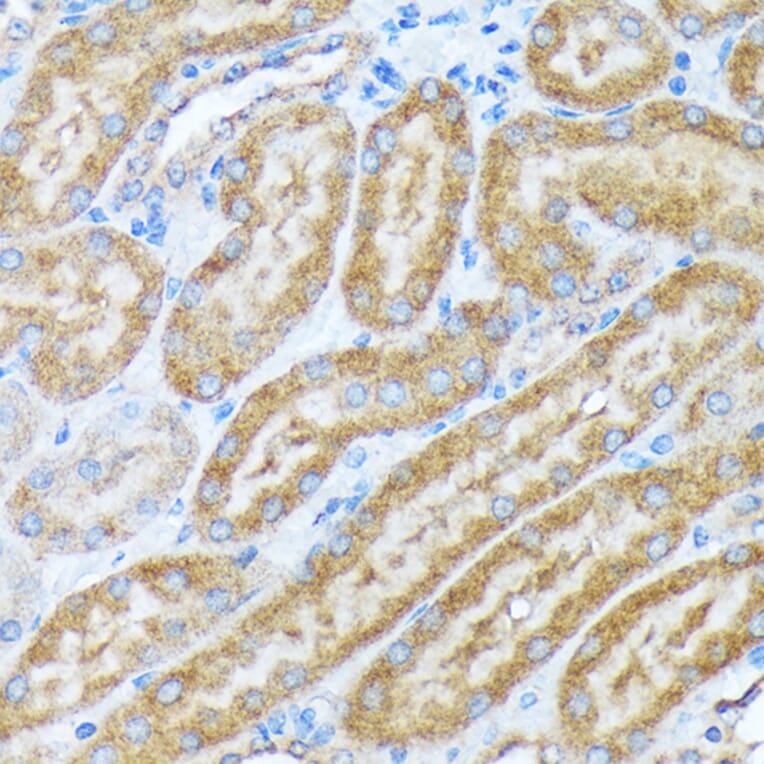
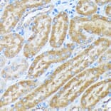
Immunohistochemistry analysis of paraffin-embedded mouse kidney using Anti-alpha COP I/COPA Antibody [ARC2215] (A307527) at a dilution of 1:100(40x lens). Perform microwave antigen retrieval with 10 mM Tris/EDTA buffer pH 9.0 before commencing with IHC staining protocol.
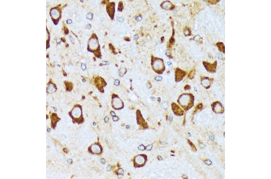
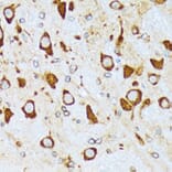
Immunohistochemistry analysis of paraffin-embedded rat brain using Anti-alpha COP I/COPA Antibody [ARC2215] (A307527) at a dilution of 1:100(40x lens). Perform microwave antigen retrieval with 10 mM Tris/EDTA buffer pH 9.0 before commencing with IHC staining protocol.