ISO 9001:2015 Certified
Live Customer Support
4.5/5 on Trustpilot
100% Quality Guarantee

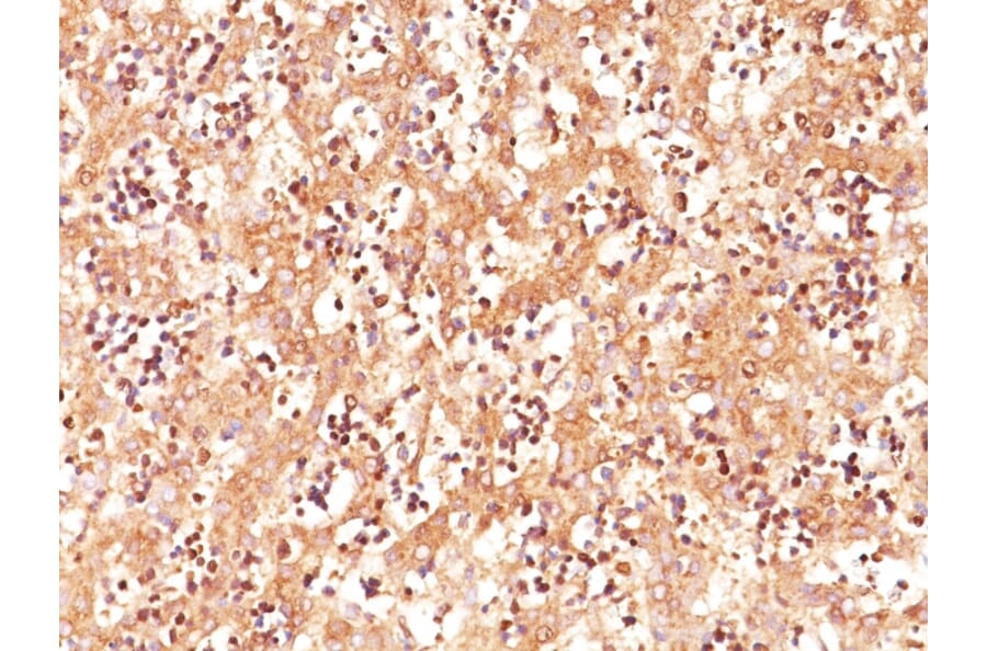
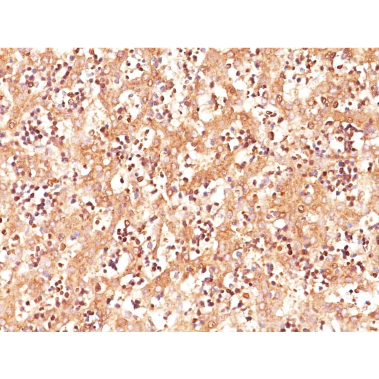
Anti-alpha Fetoprotein Antibody [C3] - BSA and Azide free (A251517)

Mouse monoclonal [C3] antibody to alpha Fetoprotein for IHC-P.

Alternative Formats and ConjugatesAlternative Formats

Shipping Information

$40
Dispatched from St. Louis, MO.
Lead Time: 5-8 business days.
Name
Anti-alpha Fetoprotein Antibody [C3] - BSA and Azide free
Description
Mouse monoclonal [C3] antibody to alpha Fetoprotein.
Specificity
This antibody is highly specific to AFP and shows no cross-reaction with other oncofetal antigens or serum albumin.
Applications
IHC-P
Dilutions
IHC-P: 1-2 µg/ml
Reactivity
Human, Monkey, Canine, Porcine
Cross Reactivity
This antibody does not cross react with Bovine, Mouse, or Rat.
Immunogen
Native alpha Fetoprotein purified from serum of a hepatoma patient.
Host
Mouse
Clonality
Monoclonal
Clone ID
C3
Isotype
IgG2a
Light Chains
kappa
Conjugate

Unconjugated

Purification
Protein A/G chromatography.
Concentration
1 mg/ml
Molecular Weight
70 kDa
Product Form
Liquid
Formulation
Supplied in 10mM Phosphate Buffered Saline; without Sodium Azide and carrier free.
Storage
Shipped at 4°C. Upon delivery aliquot and store at -20°C. Avoid freeze / thaw cycles.
General Notes
This monoclonal antibody is also available in a different formulation with BSA and Sodium Azide - Anti-alpha Fetoprotein Antibody [C3] (A248335).
Synonyms
Afp, AFPD, alpha 1 Fetoprotein, Alpha fetoglobulin, Alpha fetoprotein precursor, Alpha-1-fetoprotein, Alpha-fetoglobulin, Alpha-fetoprotein, alpha-fetoprotein, Hereditary persistence of, included, FETA, FETA_HUMAN, Hereditary persistence of alpha fetoprotein, HPAFP
Disclaimer
This product is for research use only. It is not intended for diagnostic or therapeutic use.
Publishing research using Anti-alpha Fetoprotein Antibody [C3] - BSA and Azide free (A251517)? Please let us know so that we can list the citation on this page.