Primary Antibodies
Secondary Antibodies
Proteins & Peptides
ELISA Kits
About Us
Contact Us
Sign In/Register
0
ISO 9001:2015 Certified
Live Customer Support
4.5/5 on Trustpilot
100% Quality Guarantee
Home
Primary Antibodies
ALPK1 Antibodies
Anti-ALPK1 Antibody (A45947)
Anti-ALPK1 Antibody (A45947)
Overview
Specifications
Images
Enlarge Image
Enlarge Image
$405
Rabbit polyclonal antibody to ALPK1 for IHC.
100% Guarantee
Price Match Guarantee
Product Size:
100µl
Quantity:
1
2
3
4
5
6
7
8
9
10
Add To Cart
Request a Quotation
Custom or Bulk Request
Shipping Information
Freight/Packing Charges:
$40
Dispatched from St. Louis, MO.
Lead Time: 6-9 business days.
Specifications
Name
Anti-ALPK1 Antibody
Description
Rabbit polyclonal antibody to ALPK1
Specificity
The antibody detects endogenous levels of total ALPK1 protein.
Applications
IHC
Reactivity
Human
Immunogen
Fusion protein corresponding to residues near the C terminal of human alpha-kinase 1
Host
Rabbit
Clonality
Polyclonal
Conjugate
Unconjugated
Purification
Antigen affinity purification.
Concentration
800 µg/ml
Formulation
Rabbit IgG in pH7.3 PBS, 0.05% NaN3, 50% Glycerol.
Storage
Store at -20˚C
Synonyms
Alpha-protein kinase 1, Chromosome 4 kinase, KIAA1527, LAK, Lymphocyte alpha-protein kinase
Suitable Secondaries
Goat Anti-Rabbit IgG H&L Antibody (AP) (A294874)
Goat Anti-Rabbit IgG H&L Antibody (Biotin) (A294795)
Goat Anti-Rabbit IgG H&L Antibody (FITC) (A294887)
Goat Anti-Rabbit IgG H&L Antibody (HRP) (A294888)
See all Anti-Rabbit IgG Secondaries →
Disclaimer
This product is for research use only. It is not intended for diagnostic or therapeutic use.
Scientific Validation Data
Validation Data
(2)
Enlarge Image
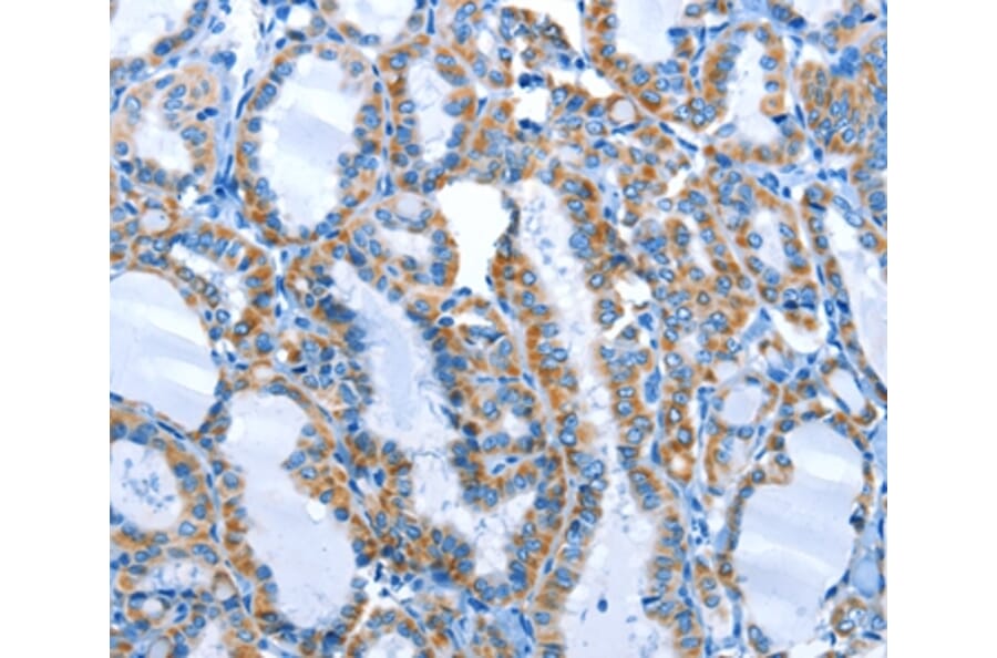
Immunohistochemistry - Anti-ALPK1 Antibody (A45947)
Immunohistochemical analysis of paraffin-embedded Human thyroid cancer tissue using #36086 at dilution 1/25.
Enlarge Image
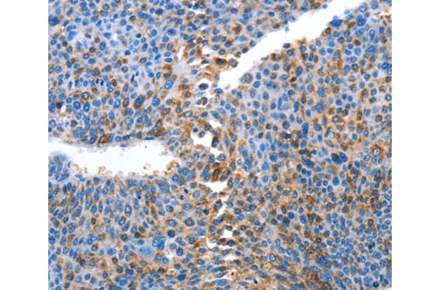
Immunohistochemistry - Anti-ALPK1 Antibody (A45947)
Immunohistochemical analysis of paraffin-embedded Human liver cancer tissue using #36086 at dilution 1/25.
Publishing research using Anti-ALPK1 Antibody (A45947)? Please
let us know
so that we can list the citation on this page.
Alternative products to Anti-ALPK1 Antibody (A45947)
(2)
A99177
Anti-ALPK1 Antibody
Rabbit polyclonal antibody to ALPK1 for WB and ELISA.
A99178
Anti-ALPK1 Antibody
Rabbit polyclonal antibody to ALPK1 for WB and ELISA.
A29385
Anti-ALPK1 Antibody
Rabbit polyclonal antibody to ALPK1 for WB.
A308417
Anti-ALPK1 Antibody
Rabbit polyclonal antibody to ALPK1 for WB.
A329114
Anti-ALPK1 Antibody
Rabbit polyclonal antibody to ALPK1 for WB.
(2)
A99177
Anti-ALPK1 Antibody
Rabbit polyclonal antibody to ALPK1 for WB and ELISA.
A99178
Anti-ALPK1 Antibody
Rabbit polyclonal antibody to ALPK1 for WB and ELISA.
A29385
Anti-ALPK1 Antibody
Rabbit polyclonal antibody to ALPK1 for WB.
A308417
Anti-ALPK1 Antibody
Rabbit polyclonal antibody to ALPK1 for WB.
A329114
Anti-ALPK1 Antibody
Rabbit polyclonal antibody to ALPK1 for WB.
See all ALPK1 Antibodies
Proteins predicted to interact with ALPK1
Predicted protein interactions based upon String database. Revelancy score correlates with probability of interaction.
TIFA Antibodies
93.4% Relevancy Score
TRAF6 Antibodies
65.7% Relevancy Score
TDRD7 Antibodies
60% Relevancy Score
TAK1 Antibodies
58.2% Relevancy Score
ALPK2 Antibodies
57% Relevancy Score
NOD1 Antibodies
55.9% Relevancy Score
IRAK1 Antibodies
54.2% Relevancy Score
UBC13 Antibodies
52.6% Relevancy Score
IRAK2 Antibodies
52.5% Relevancy Score
Top