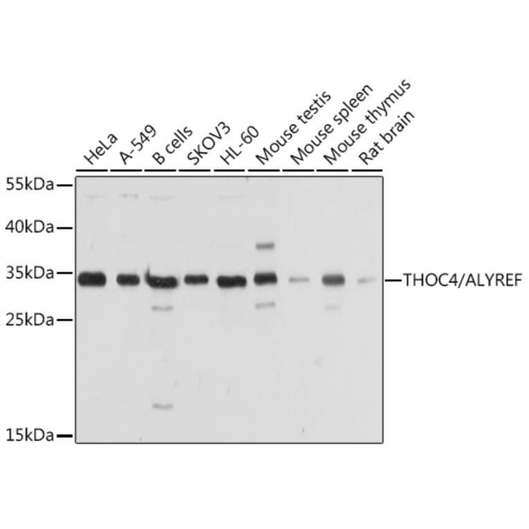
Western blot analysis of extracts of various cell lines, using Anti-Aly/Ref Antibody (A15063) at 1:1,000 dilution. The secondary antibody was Goat Anti-Rabbit IgG H&L Antibody (HRP) at 1:10,000 dilution. Lysates/proteins were present at 25µg per lane. The blocking buffer used was 3% non-fat dry milk in TBST. Detection was with a ECL Basic Kit. Exposure time: 5s.
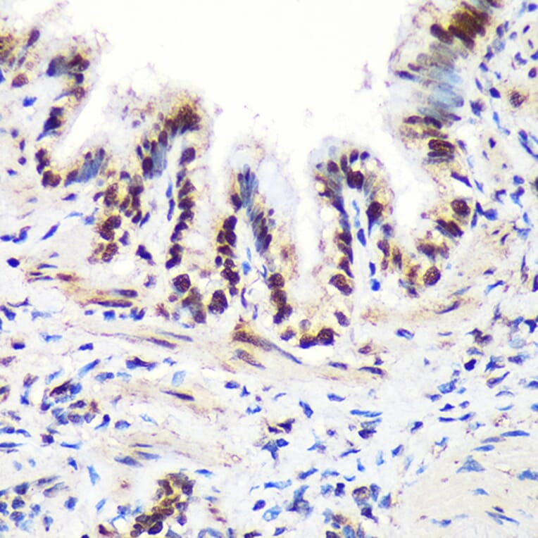
Immunohistochemistry analysis of paraffin-embedded rat lung using Anti-Aly/Ref Antibody (A15063) at a dilution of 1:100 (40x lens). Perform microwave antigen retrieval with 10 mM PBS buffer pH 7.2 before commencing with IHC staining protocol.
Immunohistochemistry analysis of paraffin-embedded mouse liver using Anti-Aly/Ref Antibody (A15063) at a dilution of 1:100 (40x lens). Perform microwave antigen retrieval with 10 mM PBS buffer pH 7.2 before commencing with IHC staining protocol.
Immunofluorescence analysis of C6 cells using Anti-Aly/Ref Antibody (A15063) at a dilution of 1:100 (40x lens). DAPI was used to stain the cell nuclei (blue).
Immunofluorescence analysis of NIH-3T3 cells using Anti-Aly/Ref Antibody (A15063) at a dilution of 1:100 (40x lens). DAPI was used to stain the cell nuclei (blue).
Immunofluorescence analysis of U-2 OS cells using Anti-Aly/Ref Antibody (A15063) at a dilution of 1:100 (40x lens). DAPI was used to stain the cell nuclei (blue).
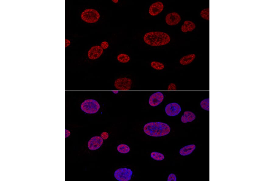
Confocal immunofluorescence analysis of U-2 OS cells using Anti-Aly/Ref Antibody (A15063) at a dilution of 1:100. DAPI was used to stain the cell nuclei (blue).