ISO 9001:2015 Certified
Live Customer Support
4.5/5 on Trustpilot
100% Quality Guarantee

Recombinant Anti-AMACR Antibody [rAMACR/1864] (A248611)

Recombinant mouse monoclonal [rAMACR/1864] antibody to AMACR for WB and IHC-P.

Alternative Formats and ConjugatesAlternative Formats

Shipping Information

$40
Dispatched from St. Louis, MO.
Lead Time: 5-8 business days.
Name
Anti-AMACR Antibody [rAMACR/1864]
Description
Recombinant mouse monoclonal [rAMACR/1864] antibody to AMACR.
Specificity
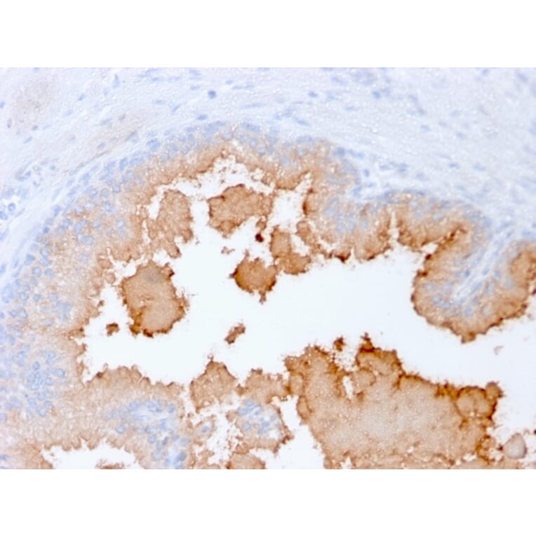
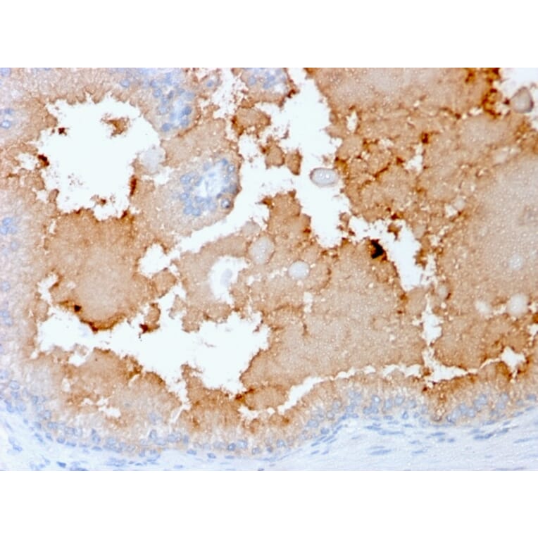
This antibody recognizes a protein of 42kDa, which is identified as AMACR, also known as p504S. It is an enzyme that is involved in bile acid biosynthesis and -oxidation of branched-chain fatty acids. AMACR is essential in lipid metabolism. It is expressed in cells of premalignant high-grade prostatic intraepithelial neoplasia (HGPIN) and prostate adenocarcinoma. The majority of the carcinoma cells show a distinct granular cytoplasmic staining reaction. AMACR is present at low or undetectable levels in glandular epithelial cells of normal prostate and benign prostatic hyperplasia. A spotty granular cytoplasmic staining is seen in a few cells of the benign glands. AMACR is expressed in normal liver (hepatocytes), kidney (tubular epithelial cells) and gall bladder (epithelial cells). Expression has also been found in lung (bronchial epithelial cells) and colon (colonic surface epithelium). AMACR expression can also be found in hepatocellular carcinoma and kidney carcinoma. Past studies have also shown that AMACR is expressed in various colon carcinomas (well, moderately and poorly differentiated) and over expressed in prostate carcinoma.
Applications
WB, IHC-P
Dilutions
WB: 1-2 µg/ml, IHC-P: 1-2 µg/ml
Reactivity
Human
Immunogen
Recombinant fragment, around amino acids 297-394, of human AMACR protein. The exact sequence is proprietary.
Host
Mouse
Clonality
Monoclonal
Clone ID
rAMACR/1864
Isotype
IgG1
Light Chains
kappa
Conjugate

Unconjugated

Purification
Protein A/G chromatography.
Concentration
200 µg/ml
Molecular Weight
42 kDa
Product Form
Liquid
Formulation
Supplied in 10mM Phosphate Buffered Saline with 0.05% BSA and 0.05% Sodium Azide.
Storage
Shipped at 4°C. Upon delivery aliquot and store at -20°C. Avoid freeze / thaw cycles.
General Notes
This monoclonal antibody is also available in a different formulation without BSA and Sodium Azide - Anti-AMACR Antibody [rAMACR/1864] - BSA and Azide free (A251793).
Synonyms
2-methylacyl-CoA racemase, Alpha-methylacyl-CoA racemase
Disclaimer
This product is for research use only. It is not intended for diagnostic or therapeutic use.
Publishing research using Recombinant Anti-AMACR Antibody [rAMACR/1864] (A248611)? Please let us know so that we can list the citation on this page.

Alternative products to Anti-AMACR Antibody [rAMACR/1864] (A248611)

Proteins predicted to interact with AMACR

Predicted protein interactions based upon String database. Revelancy score correlates with probability of interaction.
97.5% Relevancy Score
94.7% Relevancy Score
90.6% Relevancy Score
88.3% Relevancy Score
87.9% Relevancy Score
84.8% Relevancy Score
84% Relevancy Score
83% Relevancy Score