ISO 9001:2015 Certified
Live Customer Support
4.5/5 on Trustpilot
100% Quality Guarantee

Recombinant Anti-AMACR Antibody [rAMACR/4674] - BSA and Azide free (A251794)

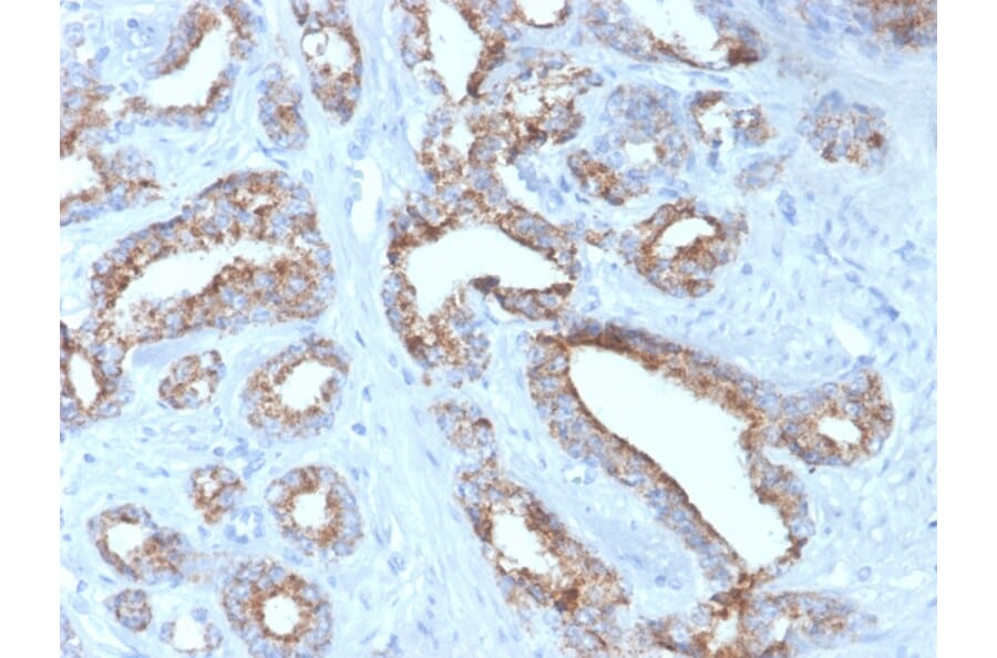
Recombinant mouse monoclonal [rAMACR/4674] antibody to AMACR for IHC-P.

Alternative Formats and ConjugatesAlternative Formats

Shipping Information

$40
Dispatched from St. Louis, MO.
Lead Time: 5-8 business days.
Name
Anti-AMACR Antibody [rAMACR/4674] - BSA and Azide free
Description
Recombinant mouse monoclonal [rAMACR/4674] antibody to AMACR.
Specificity
This antibody recognizes a protein of 42kDa, which is identified as AMACR, also known as p504S. It is an enzyme that is involved in bile acid biosynthesis and -oxidation of branched-chain fatty acids. AMACR is essential in lipid metabolism. It is expressed in cells of premalignant high-grade prostatic intraepithelial neoplasia (HGPIN) and prostate adenocarcinoma. The majority of the carcinoma cells show a distinct granular cytoplasmic staining reaction. AMACR is present at low or undetectable levels in glandular epithelial cells of normal prostate and benign prostatic hyperplasia. A spotty granular cytoplasmic staining is seen in a few cells of the benign glands. AMACR is expressed in normal liver (hepatocytes), kidney (tubular epithelial cells) and gall bladder (epithelial cells). Expression has also been found in lung (bronchial epithelial cells) and colon (colonic surface epithelium). AMACR expression can also be found in hepatocellular carcinoma and kidney carcinoma. Past studies have also shown that AMACR is expressed in various colon carcinomas (well, moderately and poorly differentiated) and over expressed in prostate carcinoma.
Applications
IHC-P
Dilutions
IHC-P: 1-2 µg/ml
Reactivity
Human
Immunogen
Recombinant full-length human AMACR protein.
Host
Mouse
Clonality
Monoclonal
Clone ID
rAMACR/4674
Isotype
IgG2a
Light Chains
kappa
Conjugate

Unconjugated

Purification
Protein A/G chromatography.
Concentration
1 mg/ml
Molecular Weight
42 kDa
Product Form
Liquid
Formulation
Supplied in 10mM Phosphate Buffered Saline; without Sodium Azide and carrier free.
Storage
Shipped at 4°C. Upon delivery aliquot and store at -20°C. Avoid freeze / thaw cycles.
General Notes
This monoclonal antibody is also available in a different formulation with BSA and Sodium Azide - Anti-AMACR Antibody [rAMACR/4674] (A248612).
Synonyms
2-methylacyl-CoA racemase, Alpha-methylacyl-CoA racemase
Disclaimer
This product is for research use only. It is not intended for diagnostic or therapeutic use.
Publishing research using Recombinant Anti-AMACR Antibody [rAMACR/4674] - BSA and Azide free (A251794)? Please let us know so that we can list the citation on this page.

Alternative products to Anti-AMACR Antibody [rAMACR/4674] - BSA and Azide free (A251794)

Proteins predicted to interact with AMACR

Predicted protein interactions based upon String database. Revelancy score correlates with probability of interaction.
97.5% Relevancy Score
94.7% Relevancy Score
90.6% Relevancy Score
88.3% Relevancy Score
87.9% Relevancy Score
84.8% Relevancy Score
84% Relevancy Score
83% Relevancy Score