Primary Antibodies
Secondary Antibodies
Proteins & Peptides
ELISA Kits
About Us
Contact Us
Sign In/Register
0
ISO 9001:2015 Certified
Live Customer Support
4.5/5 on Trustpilot
100% Quality Guarantee
Home
Primary Antibodies
AMD1 Antibodies
Anti-AMD1 Antibody (A46865)
Anti-AMD1 Antibody (A46865)
Overview
Specifications
Images
Enlarge Image
Enlarge Image
$405
Rabbit polyclonal antibody to AMD1 for IHC.
100% Guarantee
Price Match Guarantee
Product Size:
100µl
Quantity:
1
2
3
4
5
6
7
8
9
10
Add To Cart
Request a Quotation
Custom or Bulk Request
Shipping Information
Freight/Packing Charges:
$40
Dispatched from St. Louis, MO.
Lead Time: 6-9 business days.
Specifications
Name
Anti-AMD1 Antibody
Description
Rabbit polyclonal antibody to AMD1
Specificity
The antibody detects endogenous levels of total AMD1 protein.
Applications
IHC
Reactivity
Human
Immunogen
Synthetic peptide corresponding to a region derived from internal residues of human adenosylmethionine decarboxylase 1
Host
Rabbit
Clonality
Polyclonal
Conjugate
Unconjugated
Purification
Antigen affinity purification.
Concentration
1 mg/ml
Formulation
Rabbit IgG in pH7.3 PBS, 0.05% NaN3, 50% Glycerol.
Storage
Store at -20˚C
Synonyms
AdoMetDC, AMD, S-adenosylmethionine decarboxylase proenzyme, SAMDC
Suitable Secondaries
Goat Anti-Rabbit IgG H&L Antibody (AP) (A294874)
Goat Anti-Rabbit IgG H&L Antibody (Biotin) (A294795)
Goat Anti-Rabbit IgG H&L Antibody (FITC) (A294887)
Goat Anti-Rabbit IgG H&L Antibody (HRP) (A294888)
See all Anti-Rabbit IgG Secondaries →
Disclaimer
This product is for research use only. It is not intended for diagnostic or therapeutic use.
Scientific Validation Data
Validation Data
(2)
Enlarge Image
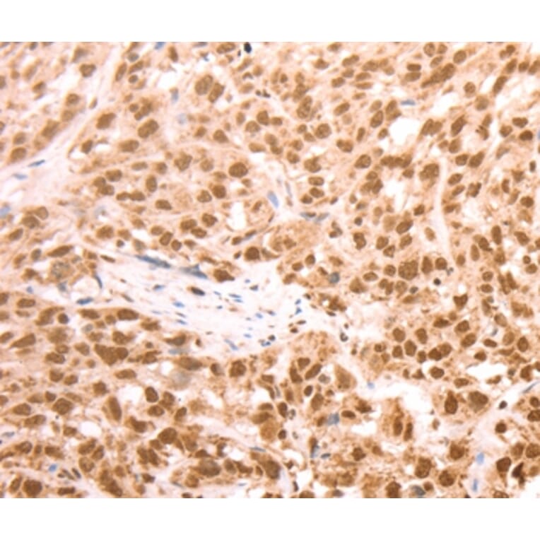
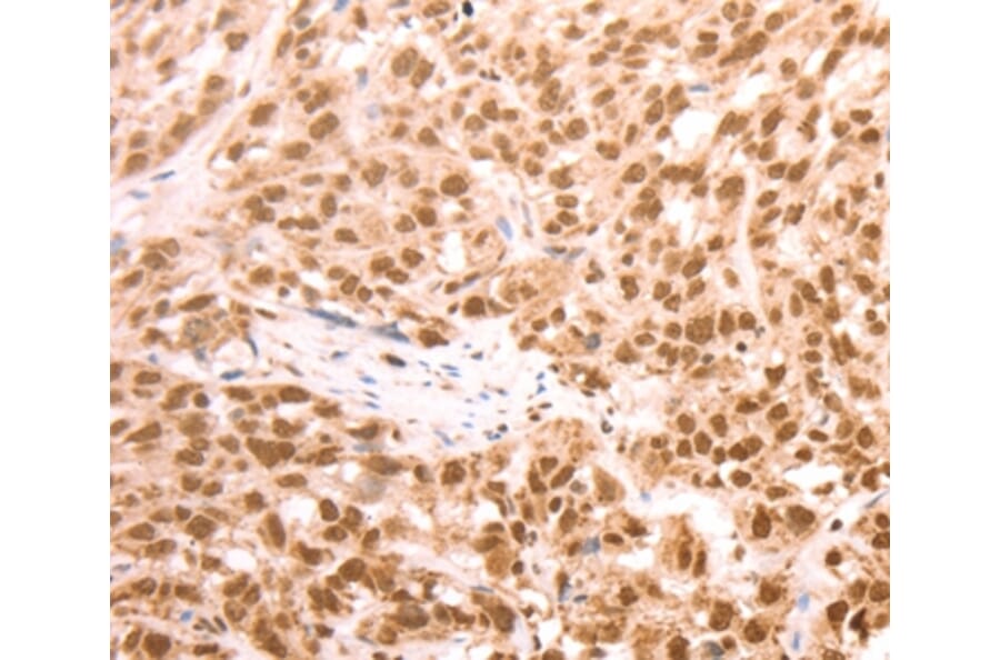
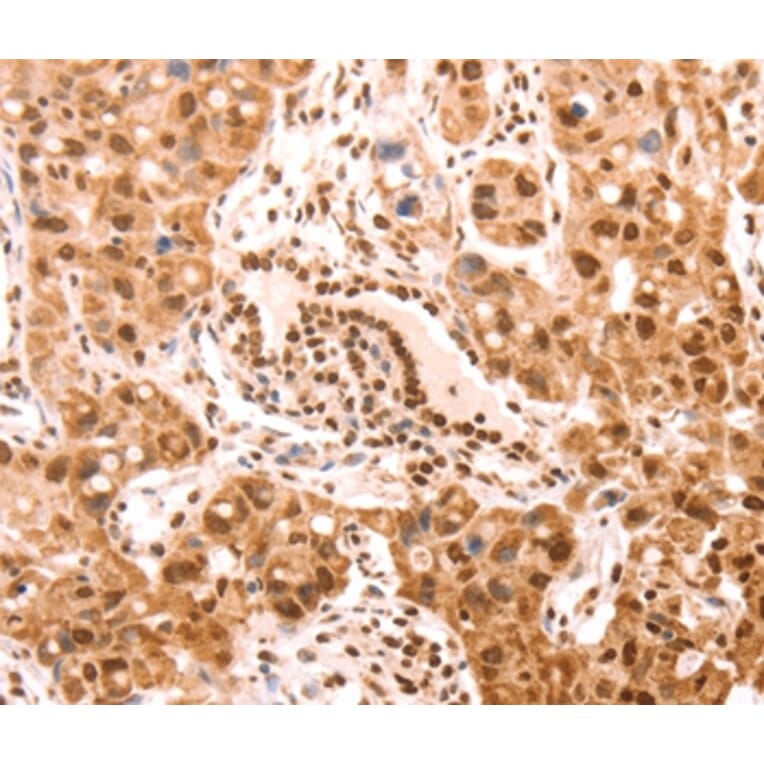
Immunohistochemistry - Anti-AMD1 Antibody (A46865)
Immunohistochemical analysis of paraffin-embedded Human oesophagus cancer tissue using #37098 at dilution 1/25.
Enlarge Image
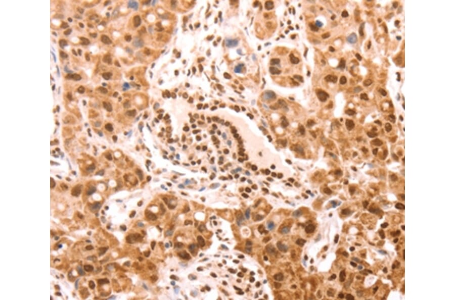
Immunohistochemistry - Anti-AMD1 Antibody (A46865)
Immunohistochemical analysis of paraffin-embedded Human lung cancer tissue using #37098 at dilution 1/25.
Publishing research using Anti-AMD1 Antibody (A46865)? Please
let us know
so that we can list the citation on this page.
Alternative products to Anti-AMD1 Antibody (A46865)
(2)
A10450
Anti-AMD1 Antibody
Rabbit polyclonal antibody to AMD1 for WB.
A28593
Anti-AMD1 Antibody
Rabbit polyclonal antibody to AMD1 for WB.
(2)
A10450
Anti-AMD1 Antibody
Rabbit polyclonal antibody to AMD1 for WB.
A28593
Anti-AMD1 Antibody
Rabbit polyclonal antibody to AMD1 for WB.
Top