Primary Antibodies
Secondary Antibodies
Proteins & Peptides
ELISA Kits
About Us
Contact Us
Sign In/Register
0
ISO 9001:2015 Certified
Live Customer Support
4.5/5 on Trustpilot
100% Quality Guarantee
Home
Primary Antibodies
AMDHD2 Antibodies
Anti-AMDHD2 Antibody (A37192)
Anti-AMDHD2 Antibody (A37192)
Overview
Specifications
Images
Enlarge Image
Enlarge Image
$430
Product Datasheet
Rabbit polyclonal antibody to AMDHD2 for WB and IHC.
100% Guarantee
Price Match Guarantee
Product Size:
100µl
Quantity:
1
2
3
4
5
6
7
8
9
10
Add To Cart
Request a Quotation
Custom or Bulk Request
Shipping Information
Freight/Packing Charges:
$40
Dispatched from St. Louis, MO.
Lead Time: 6-9 business days.
Specifications
Name
Anti-AMDHD2 Antibody
Description
Rabbit polyclonal antibody to AMDHD2
Specificity
The antibody detects endogenous levels of total AMDHD2 protein.
Applications
WB
,
IHC
Reactivity
Human, Mouse
Immunogen
Fusion protein corresponding to residues near the C terminal of human amidohydrolase domain containing 2
Host
Rabbit
Clonality
Polyclonal
Conjugate
Unconjugated
Purification
Antigen affinity purification.
Concentration
1.4 mg/mL
Formulation
Supplied in PBS, pH 7.3, containing 0.05% sodium azide and 50% glycerol.
Storage
Shipped at 4°C. Upon delivery aliquot and store at -20°C. Avoid freeze/thaw cycles.
Synonyms
Amidohydrolase domain-containing protein 2, GlcNAc 6-P deacetylase, N-acetylglucosamine-6-phosphate deacetylase
Suitable Secondaries
Goat Anti-Rabbit IgG H&L Antibody (AP) (A294874)
Goat Anti-Rabbit IgG H&L Antibody (Biotin) (A294795)
Goat Anti-Rabbit IgG H&L Antibody (FITC) (A294887)
Goat Anti-Rabbit IgG H&L Antibody (HRP) (A294888)
See all Anti-Rabbit IgG Secondaries →
Disclaimer
This product is for research use only. It is not intended for diagnostic or therapeutic use.
Scientific Validation Data
Validation Data
(2)
Enlarge Image
Anti-AMDHD2 Antibody (A37192)
Gel: 10% SDS-PAGE Lysates (from left to right): Mouse heart and liver tissue Amount of lysate: 40ug per lane Primary antibody: 1/500 dilution Secondary antibody dilution: 1/8000 Exposure time: 3 minutes
Enlarge Image
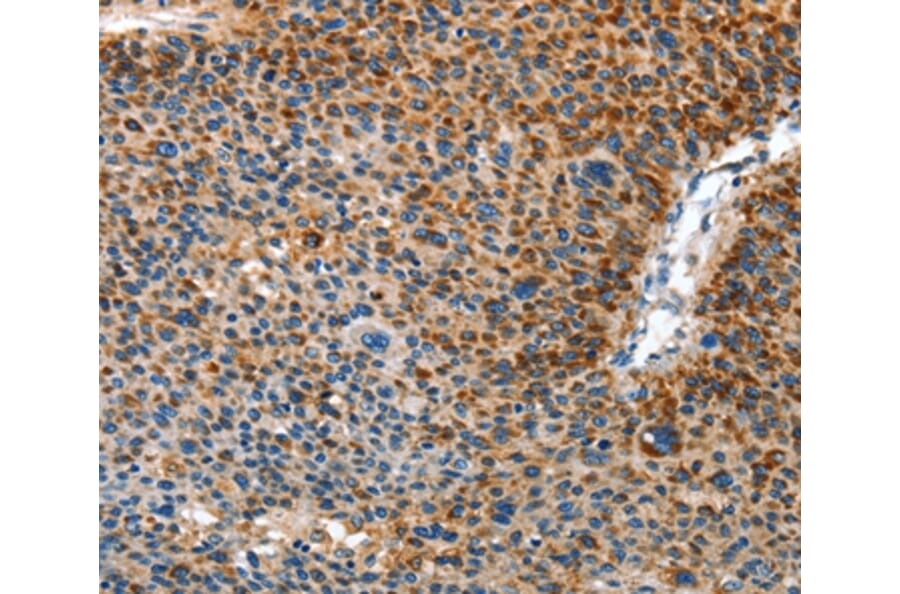
Immunohistochemistry - Anti-AMDHD2 Antibody (A37192)
Immunohistochemical analysis of paraffin-embedded Human liver cancer tissue using #36092 at dilution 1/40.
Publishing research using Anti-AMDHD2 Antibody (A37192)? Please
let us know
so that we can list the citation on this page.
Proteins predicted to interact with AMDHD2
Predicted protein interactions based upon String database. Revelancy score correlates with probability of interaction.
GNPDA1 Antibodies
99.4% Relevancy Score
GNPDA2 Antibodies
99.4% Relevancy Score
GNE Antibodies
89.8% Relevancy Score
GCKR Antibodies
87% Relevancy Score
NAGK Antibodies
84.2% Relevancy Score
GFPT2 Antibodies
81.9% Relevancy Score
H6PD Antibodies
81.5% Relevancy Score
GFPT1 Antibodies
80.6% Relevancy Score
PGM3 Antibodies
71.5% Relevancy Score
Top