Primary Antibodies
Secondary Antibodies
Proteins & Peptides
ELISA Kits
About Us
Contact Us
Sign In/Register
0
ISO 9001:2015 Certified
Live Customer Support
4.5/5 on Trustpilot
100% Quality Guarantee
Home
Primary Antibodies
WTX Antibodies
Anti-AMER1 Antibody (A46213)
Anti-AMER1 Antibody (A46213)
Overview
Specifications
Images
Enlarge Image
Enlarge Image
$430
Product Datasheet
Rabbit polyclonal antibody to AMER1 for IHC.
100% Guarantee
Price Match Guarantee
Product Size:
100µl
Quantity:
1
2
3
4
5
6
7
8
9
10
Add To Cart
Request a Quotation
Custom or Bulk Request
Shipping Information
Freight/Packing Charges:
$40
Dispatched from St. Louis, MO.
Lead Time: 6-9 business days.
Specifications
Name
Anti-AMER1 Antibody
Description
Rabbit polyclonal antibody to AMER1
Specificity
The antibody detects endogenous levels of total AMER1 protein.
Applications
IHC
Reactivity
Human
Immunogen
Synthetic peptide corresponding to residues near the C terminal of human APC membrane recruitment protein 1
Host
Rabbit
Clonality
Polyclonal
Conjugate
Unconjugated
Purification
Antigen affinity purification.
Concentration
2.2 mg/mL
Formulation
Supplied in PBS, pH 7.3, containing 0.05% sodium azide and 50% glycerol.
Storage
Shipped at 4°C. Upon delivery aliquot and store at -20°C. Avoid freeze/thaw cycles.
Synonyms
APC membrane recruitment protein 1, FAM123B, Protein FAM123B, Wilms tumor gene on the X chromosome protein
Suitable Secondaries
Goat Anti-Rabbit IgG H&L Antibody (AP) (A294874)
Goat Anti-Rabbit IgG H&L Antibody (Biotin) (A294795)
Goat Anti-Rabbit IgG H&L Antibody (FITC) (A294887)
Goat Anti-Rabbit IgG H&L Antibody (HRP) (A294888)
See all Anti-Rabbit IgG Secondaries →
Disclaimer
This product is for research use only. It is not intended for diagnostic or therapeutic use.
Scientific Validation Data
Validation Data
(2)
Enlarge Image
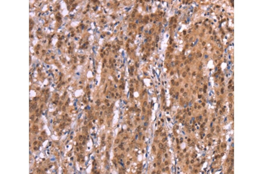
Immunohistochemistry - Anti-AMER1 Antibody (A46213)
Immunohistochemical analysis of paraffin-embedded Human gastric cancer tissue using #37563 at dilution 1/40.
Enlarge Image
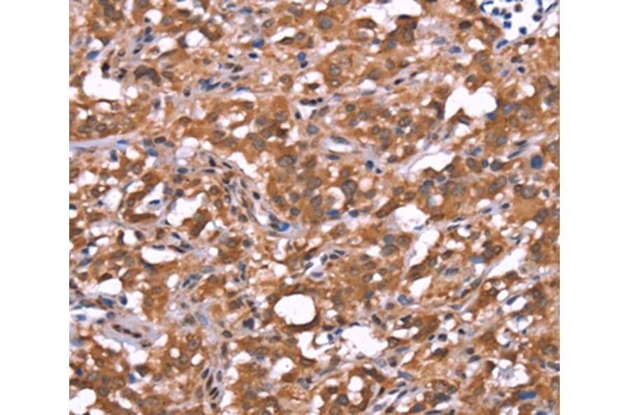
Immunohistochemistry - Anti-AMER1 Antibody (A46213)
Immunohistochemical analysis of paraffin-embedded Human thyroid cancer tissue using #37563 at dilution 1/40.
Publishing research using Anti-AMER1 Antibody (A46213)? Please
let us know
so that we can list the citation on this page.
Proteins predicted to interact with WTX
Predicted protein interactions based upon String database. Revelancy score correlates with probability of interaction.
Axin 1 Antibodies
99.9% Relevancy Score
APC Antibodies
99.8% Relevancy Score
GSK-3 beta Antibodies
99.3% Relevancy Score
beta Catenin Antibodies
99.2% Relevancy Score
Keap1 Antibodies
97.8% Relevancy Score
Casein Kinase 1 alpha Antibodies
96% Relevancy Score
beta TRCP Antibodies
95.2% Relevancy Score
WT1 Antibodies
84.9% Relevancy Score
DVL1 Antibodies
78.8% Relevancy Score
Top