Western Blot - Anti-AMPK alpha 1 +AMPK alpha 2 Antibody (A80422)
Western blot analysis of various lysates, using Anti-AMPK alpha 1 +AMPK alpha 2 Antibody (A80422) at 1:500 dilution. The secondary antibody was Goat Anti-Rabbit IgG H&L Antibody (HRP) at 1:10,000 dilution. Lysates/proteins were present at 25µg per lane. The blocking buffer used was 3% non-fat dry milk in TBST. Detection was with a ECL Basic Kit. Exposure time: 10s.
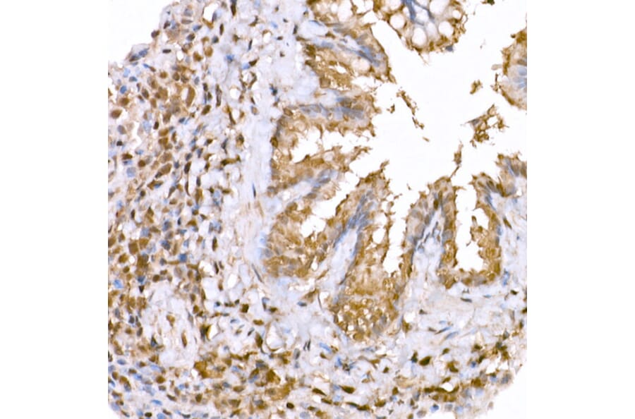
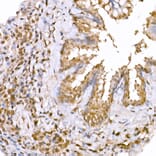
Immunohistochemistry analysis of paraffin-embedded human colon tissue using Anti-AMPK alpha 1 +AMPK alpha 2 Antibody (A80422) at a dilution of 1:20 (40x lens). Perform high pressure antigen retrieval with 10 mM citrate buffer pH 6.0 before commencing with IHC staining protocol.
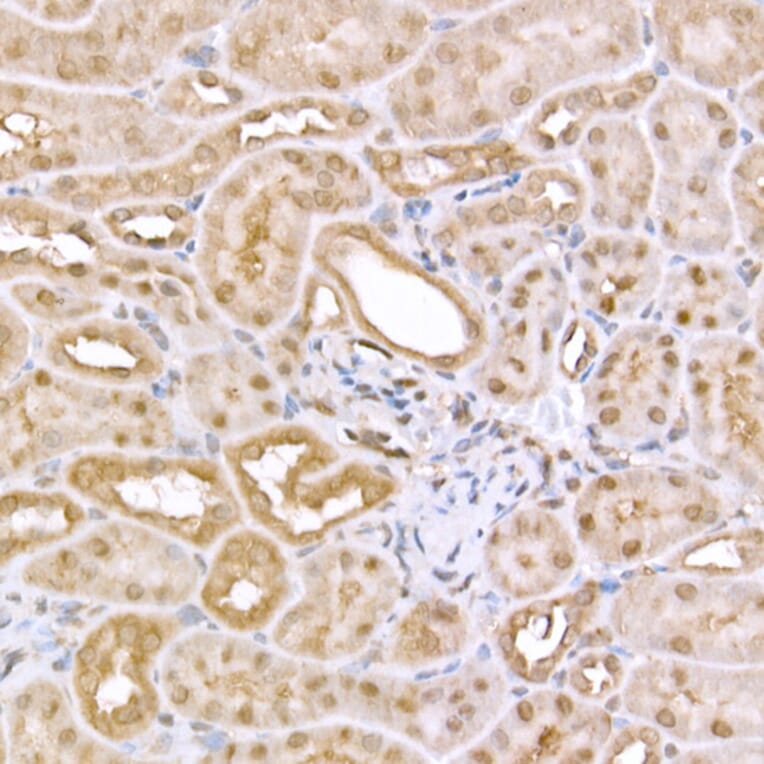
Immunohistochemistry analysis of paraffin-embedded mouse kidney using Anti-AMPK alpha 1 +AMPK alpha 2 Antibody (A80422) at a dilution of 1:20 (40x lens). Perform high pressure antigen retrieval with 10 mM citrate buffer pH 6.0 before commencing with IHC staining protocol.
Immunohistochemistry analysis of paraffin-embedded rat lung using Anti-AMPK alpha 1 +AMPK alpha 2 Antibody (A80422) at a dilution of 1:20 (40x lens). Perform high pressure antigen retrieval with 10 mM citrate buffer pH 6.0 before commencing with IHC staining protocol.
Immunofluorescence analysis of MCF7 cells using Anti-AMPK alpha 1 +AMPK alpha 2 Antibody (A80422) at a dilution of 1:20 (40x lens). DAPI was used to stain the cell nuclei (blue).
Immunofluorescence analysis of NIH/3T3 cells using Anti-AMPK alpha 1 +AMPK alpha 2 Antibody (A80422) at a dilution of 1:20 (40x lens). DAPI was used to stain the cell nuclei (blue).