ISO 9001:2015 Certified
Live Customer Support
4.5/5 on Trustpilot
100% Quality Guarantee

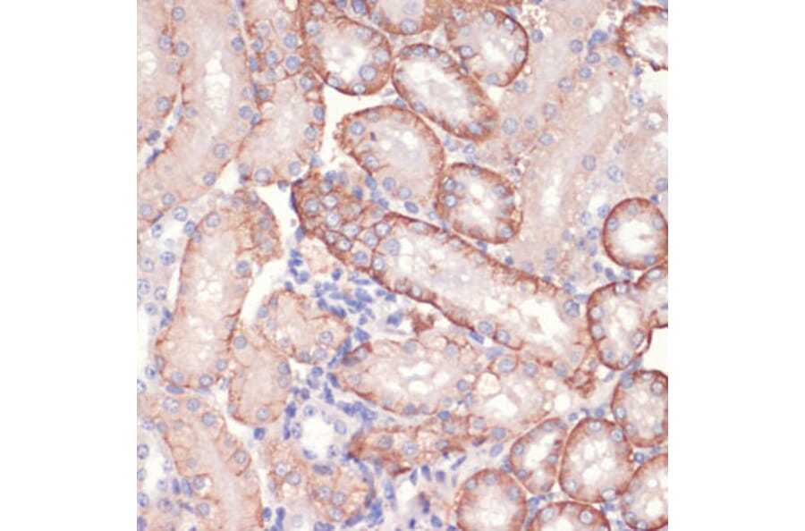
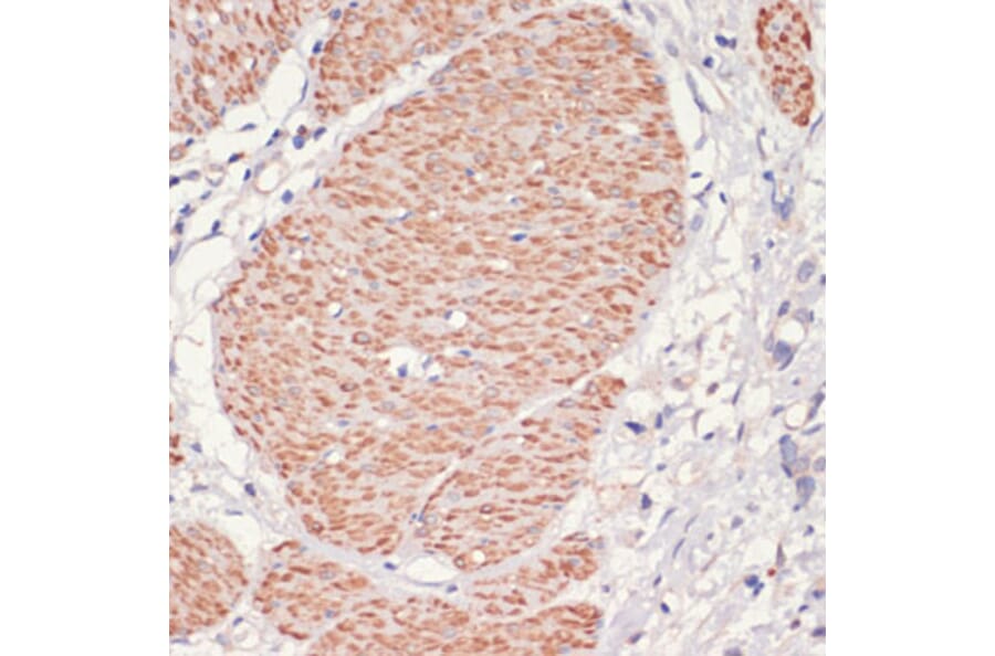
Anti-AMPK alpha 1 Antibody (A90860)

This product is discontinued

Anti-AMPK alpha 1 Antibody (A90860) has been discontinued and is no longer available.

View all AMPK alpha 1 Antibodies.

Name
Anti-AMPK alpha 1 Antibody
Description
Rabbit polyclonal antibody to AMPK alpha 1.
Applications
WB, IHC
Dilutions
WB: 1:500-1:2,000, IHC: 1:50-1:200
Reactivity
Human, Mouse, Rat
Immunogen
A synthetic peptide corresponding to a sequence within amino acids 515-574 of human AMPKa1 (NP_006242.5).
Sequence
YRSCQRSDSDAEAQGKSSEVSLTSSVTSLDSSPVDLTPRPGSHTIEFFEMCANLIKILAQ
Host
Rabbit
Clonality
Polyclonal
Isotype
IgG
Conjugate

Unconjugated

Purification
Affinity purification.
Molecular Weight
64 kDa / 65 kDa
Product Form
Liquid
Formulation
Supplied in Phosphate Buffered Saline, pH 7.3, with 50% Glycerol and 0.01% Thiomersal.
Storage
Shipped at 4°C. Upon delivery aliquot and store at -20°C. Avoid freeze / thaw cycles.
Synonyms
5'-AMP-activated protein kinase catalytic subunit alpha-1, ACACA kinase, Acetyl-CoA carboxylase kinase, AMPK subunit alpha-1, AMPK1, EC:2.7.11.26, EC:2.7.11.31, HMGCR kinase, Hydroxymethylglutaryl-CoA reductase kinase, PRKAA1, Tau-protein kinase PRKAA1
Disclaimer
This product is for research use only. It is not intended for diagnostic or therapeutic use.

Alternative products to Anti-AMPK alpha 1 Antibody (A90860)

Proteins predicted to interact with AMPK alpha 1

Predicted protein interactions based upon String database. Revelancy score correlates with probability of interaction.
99.9% Relevancy Score
99.9% Relevancy Score
99.9% Relevancy Score
99.9% Relevancy Score
99.7% Relevancy Score
98.6% Relevancy Score
98.4% Relevancy Score
97.8% Relevancy Score