ISO 9001:2015 Certified
Live Customer Support
4.5/5 on Trustpilot
100% Quality Guarantee

Anti-AMPKa1 (Ab-487)Antibody Antibody (A36355)

$275

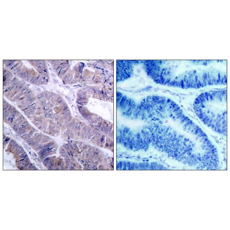
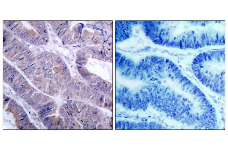
Rabbit polyclonal antibody to AMPKa1 (Ab-487)Antibody for WB and IHC.

Shipping Information

$40
Dispatched from St. Louis, MO.
Lead Time: 6-9 business days.
Name
Anti-AMPKa1 (Ab-487)Antibody Antibody
Description
Rabbit polyclonal antibody to AMPKa1 (Ab-487)Antibody
Specificity
The antibody detects endogenous level of total AMPKa1 protein.
Applications
WB, IHC
Reactivity
Human
Immunogen
Peptide sequence around aa.485~489 (S-G-S-V-S) derived from Human AMPKa1.
Host
Rabbit
Clonality
Polyclonal
Conjugate

Unconjugated

Purification
Antibodies were produced by immunizing rabbits with synthetic peptide and KLH conjugates. Antibodies were purified by affinity-chromatography using epitope-specific peptide.
Concentration
1 mg/ml
Formulation
Supplied at 1.0mg / mL in phosphate buffered saline (without Mg2+ and Ca2+), pH 7.4, 150mM NaCl, 0.02% sodium azide and 50% glycerol.
Storage
Store at -20°C for long term preservation (recommended). Store at 4°C for short term use.
Synonyms
5 AMP activated protein kinase alpha 1catalytic subunit, 5 AMP activated protein kinase catalytic alpha 1 chain, 5' AMP activated protein kinase catalytic subunit alpha 1, 5'-AMP-activated protein kinase catalytic subunit alpha-1, AAPK1, AAPK1_HUMAN, ACACA kinase, acetyl CoA carboxylase kinase, AI194361, AI450832, AL024255, AMP -activate kinase alpha 1 subunit, AMP-activated protein kinase, catalytic, alpha -1, AMPK, AMPK 1, AMPK alpha 1, AMPK alpha 1 chain, AMPK subunit alpha-1, AMPK1, AMPKalpha1, C130083N04Rik, cb116, EC 2.7.11.1, HMG CoA reductase kinase, HMGCR kinase, hormone sensitive lipase kinase, Hydroxymethylglutaryl CoA reductase kinase, im:7154392, kinase AMPK alpha1, MGC33776, MGC57364, OTTHUMP00000161795, OTTHUMP00000161796, PRKAA 1, PRKAA1, Protein kinase AMP activated alpha 1 catalytic subunit, SNF1-like protein AMPK, SNF1A, Tau protein kinase PRKAA1, wu:fa94c10
Disclaimer
This product is for research use only. It is not intended for diagnostic or therapeutic use.
Publishing research using Anti-AMPKa1 (Ab-487)Antibody Antibody (A36355)? Please let us know so that we can list the citation on this page.