ISO 9001:2015 Certified
Live Customer Support
4.5/5 on Trustpilot
100% Quality Guarantee

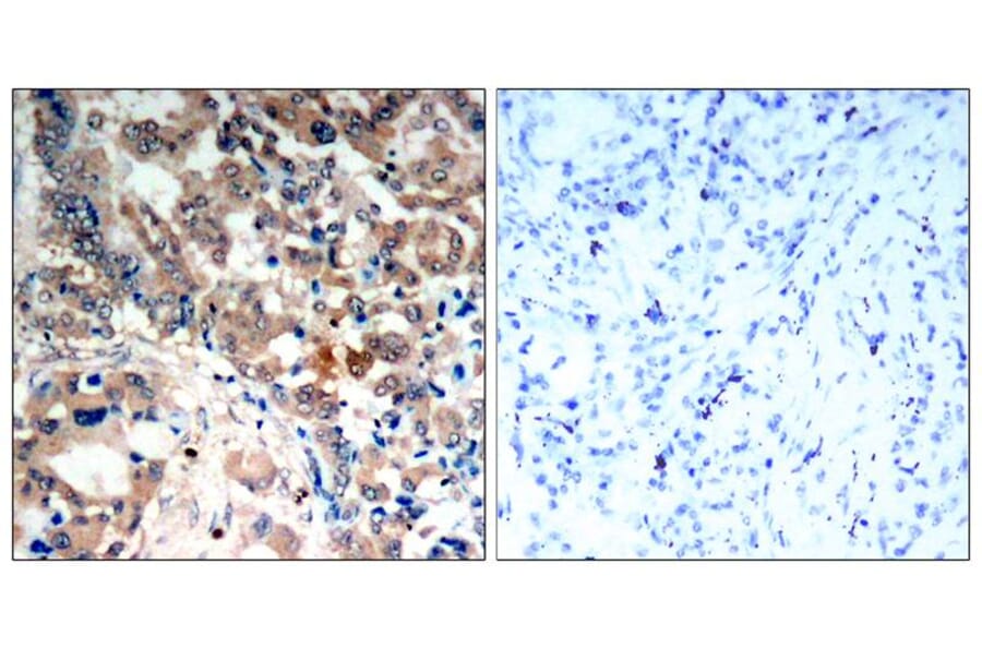
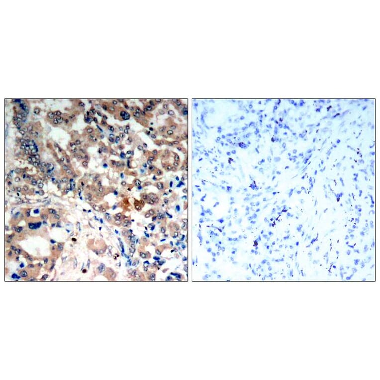
Anti-AMPKa1 / AMPKa2 (Phospho-Thr183 / Thr172) Antibody (A50345)

Rabbit polyclonal antibody to AMPKa1 / AMPKa2 (Phospho-Thr183 / Thr172) for WB and IHC.

Shipping Information

$40
Dispatched from St. Louis, MO.
Lead Time: 6-9 business days.
Name
Anti-AMPKa1 / AMPKa2 (Phospho-Thr183 / Thr172) Antibody
Description
Rabbit polyclonal antibody to AMPKa1 / AMPKa2 (Phospho-Thr183 / Thr172)
Specificity
The antibody detects endogenous level of AMPKa1 / AMPKa2 only when phosphorylated at threonine 183 or 172.
Applications
WB, IHC
Reactivity
Human, Mouse, Rat
Immunogen
Peptide sequence around phosphorylation site of threonine 183(L-R-T(p)-S-C) / threonine172(L- R-T(p)-S-C) derived from Human AMPKa1 / AMPKa2.
Host
Rabbit
Clonality
Polyclonal
Conjugate

Unconjugated

Purification
Antibodies were produced by immunizing rabbits with synthetic phosphopeptide and KLH conjugates. Antibodies were purified by affinity-chromatography using epitope-specific phosphopeptide. Non-phospho specific antibodies were removed by chromatogramphy using non-phosphopeptide.
Concentration
1.0 mg/mL
Formulation
Supplied in phosphate-buffered saline (without Mg²? and Ca²?), pH 7.4, containing 150 mM NaCl, 0.02% sodium azide, and 50% glycerol.
Storage
Shipped at 4°C. Upon delivery aliquot and store at -20°C. Avoid freeze/thaw cycles.
Synonyms
5 AMP activated protein kinase alpha 1catalytic subunit, 5 AMP activated protein kinase catalytic alpha 1 chain, 5' AMP activated protein kinase catalytic subunit alpha 1, 5'-AMP-activated protein kinase catalytic subunit alpha-1, AAPK1, AAPK1_HUMAN, ACACA kinase, acetyl CoA carboxylase kinase, AI194361, AI450832, AL024255, AMP -activate kinase alpha 1 subunit, AMP-activated protein kinase, catalytic, alpha -1, AMPK, AMPK 1, AMPK alpha 1, AMPK alpha 1 chain, AMPK subunit alpha-1, AMPK1, AMPKalpha1, C130083N04Rik, cb116, EC 2.7.11.1, HMG CoA reductase kinase, HMGCR kinase, hormone sensitive lipase kinase, Hydroxymethylglutaryl CoA reductase kinase, im:7154392, kinase AMPK alpha1, MGC33776, MGC57364, OTTHUMP00000161795, OTTHUMP00000161796, PRKAA 1, PRKAA1, Protein kinase AMP activated alpha 1 catalytic subunit, SNF1-like protein AMPK, SNF1A, Tau protein kinase PRKAA1, wu:fa94c10
Disclaimer
This product is for research use only. It is not intended for diagnostic or therapeutic use.
Publishing research using Anti-AMPKa1 / AMPKa2 (Phospho-Thr183 / Thr172) Antibody (A50345)? Please let us know so that we can list the citation on this page.