ISO 9001:2015 Certified
Live Customer Support
4.5/5 on Trustpilot
100% Quality Guarantee

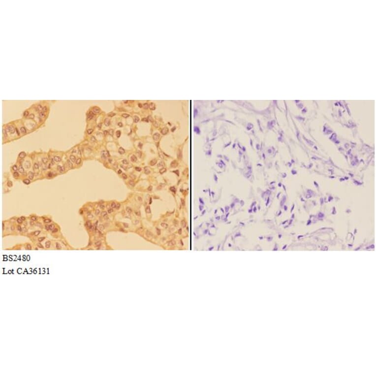
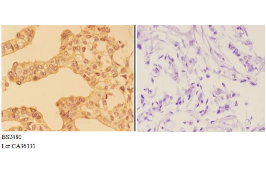
Anti-AMPK?1/2/3 (K78) Antibody (A26311)

$390

Rabbit polyclonal antibody to AMPK?1/2/3 (K78) for WB, IHC and IF.

Shipping Information

$40
Dispatched from St. Louis, MO.
Lead Time: 7-10 business days.
Name
Anti-AMPK?1/2/3 (K78) Antibody
Description
Rabbit polyclonal antibody to AMPK?1/2/3 (K78)
Specificity
AMPK?1/2/3 (K78) pAb detects endogenous levels of total AMPK? protein.
Applications
WB, IHC, IF
Reactivity
Human, Mouse, Rat
Immunogen
Synthetic peptide, corresponding to amino acids 50-100 of Human AMPK?1.
Host
Rabbit
Clonality
Polyclonal
Conjugate

Unconjugated

Molecular Weight
~ 38, 54, 63 kDa
Purity
The antibody was affinity-purified from rabbit antiserum by affinity-chromatography using epitope-specific immunogen and the purity is > 95% (by SDS-PAGE).
Product Form
1 mg/ml in Phosphate buffered saline (PBS) with 15 mM sodium azide, approx. pH 7.2.
Disclaimer
This product is for research use only. It is not intended for diagnostic or therapeutic use.
Publishing research using Anti-AMPK?1/2/3 (K78) Antibody (A26311)? Please let us know so that we can list the citation on this page.