ISO 9001:2015 Certified
Live Customer Support
4.5/5 on Trustpilot
100% Quality Guarantee

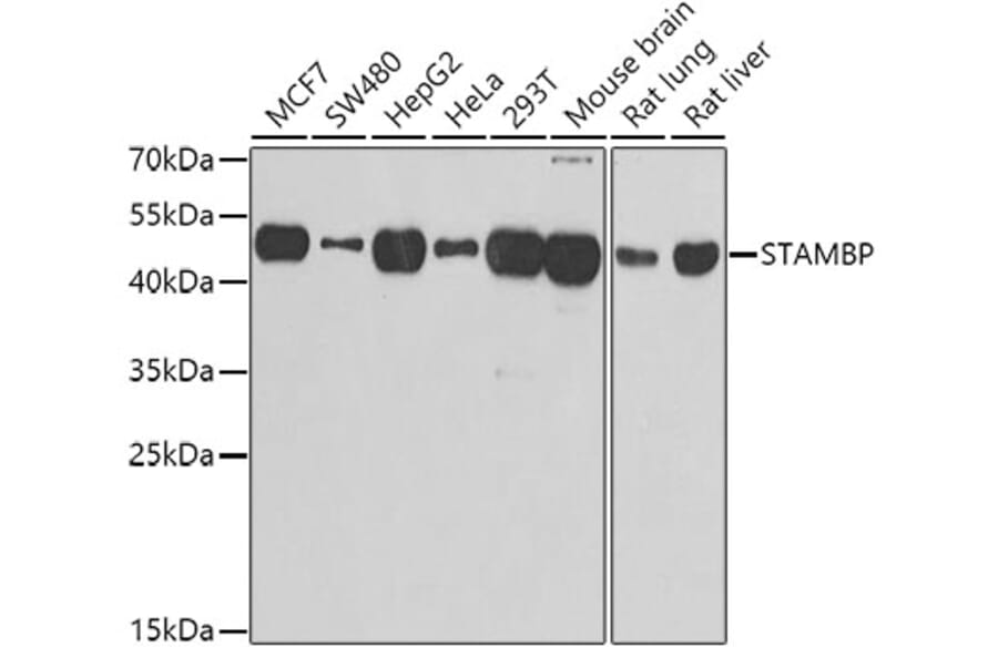
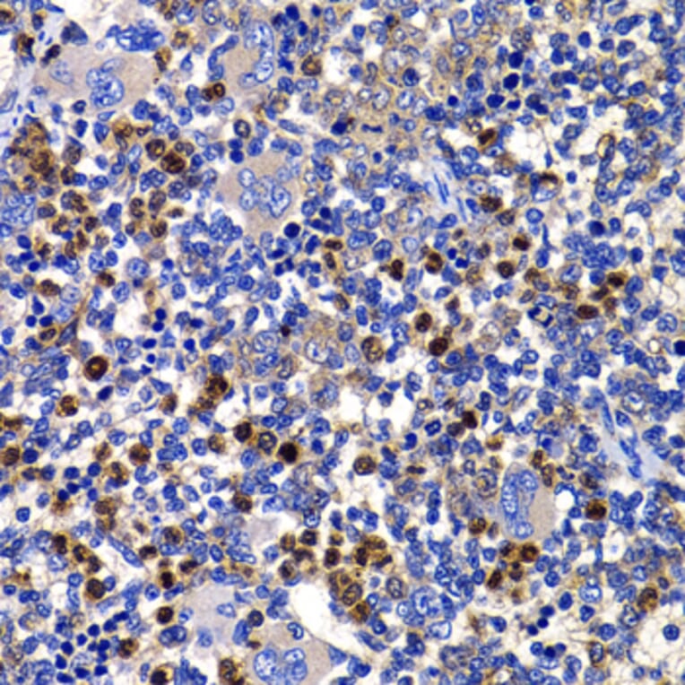
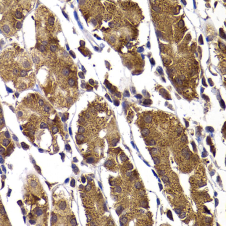
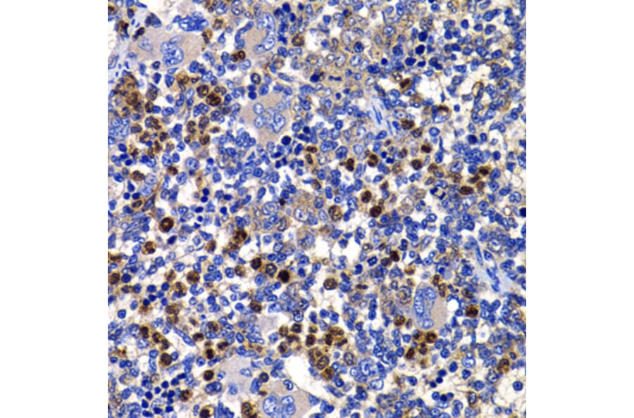
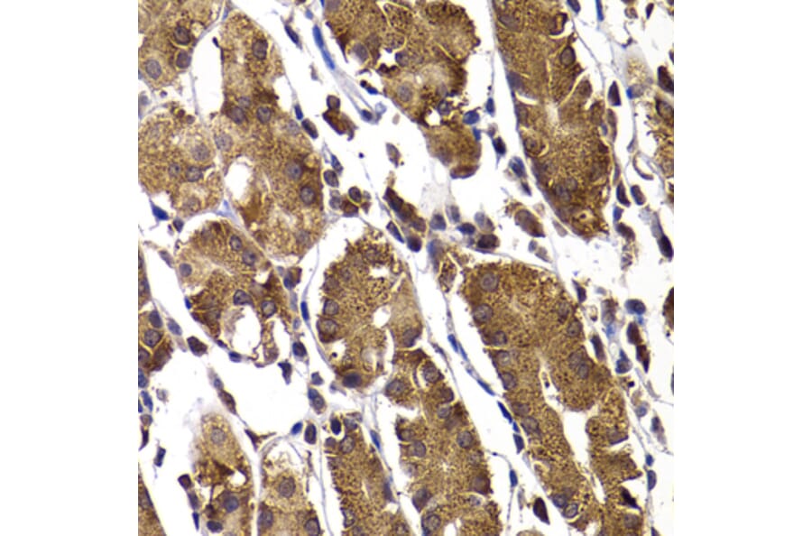
Anti-AMSH Antibody (A15519)

Rabbit polyclonal antibody to AMSH for WB, IHC, ICC/IF and IP.

Shipping Information

$40
Dispatched from St. Louis, MO.
Lead Time: 7-10 business days.
Name
Anti-AMSH Antibody
Description
Rabbit polyclonal antibody to AMSH.
Applications
WB, IHC, ICC/IF, IP
Dilutions
WB: 1:500-1:2,000, IHC: 1:50-1:200, ICC/IF: 1:50-1:100, IP: 1:20-1:50
Reactivity
Human, Mouse, Rat
Immunogen
Recombinant fusion protein containing a sequence corresponding to amino acids 100-270 of human STAMBP (NP_998787.1).
Sequence
FPKAEELKAELLKRYTKEYTEYNEEKKKEAEELARNMAIQQELEKEKQRVAQQKQQQLEQEQFHAFEEMIRNQELEKERLKIVQEFGKVDPGLGGPLVPDLEKPSLDVFPTLTVSSIQPSDCHTTVRPAKPPVVDRSLKPGALSNSESIPTIDGLRHVVVPGRLCPQFLQL
Host
Rabbit
Clonality
Polyclonal
Isotype
IgG
Conjugate

Unconjugated

Purification
Affinity purification.
Concentration
Lot Specific
Molecular Weight
48 kDa
Product Form
Liquid
Formulation
Supplied in Phosphate Buffered Saline, pH 7.3, with 50% Glycerol and 0.02% Sodium Azide.
Storage
Shipped at 4°C. Upon delivery aliquot and store at -20°C. Avoid freeze/thaw cycles.
Synonyms
Associated molecule with the SH3 domain of STAM, Endosome-associated ubiquitin isopeptidase, STAM-binding protein
Disclaimer
This product is for research use only. It is not intended for diagnostic or therapeutic use.
Publishing research using Anti-AMSH Antibody (A15519)? Please let us know so that we can list the citation on this page.

Alternative products to Anti-AMSH Antibody (A15519)

Proteins predicted to interact with STAMBP

Predicted protein interactions based upon String database. Revelancy score correlates with probability of interaction.
99.9% Relevancy Score
99.9% Relevancy Score
99.8% Relevancy Score
98.7% Relevancy Score
97.8% Relevancy Score
97.1% Relevancy Score
96.2% Relevancy Score
95.1% Relevancy Score
90.3% Relevancy Score