Primary Antibodies
Secondary Antibodies
Proteins & Peptides
ELISA Kits
About Us
Contact Us
Sign In/Register
0
ISO 9001:2015 Certified
Live Customer Support
4.5/5 on Trustpilot
100% Quality Guarantee
Home
Primary Antibodies
Archaemetzincin 2 Antibodies
Anti-AMZ2 Antibody (A46753)
Anti-AMZ2 Antibody (A46753)
Overview
Specifications
Images
Enlarge Image
Enlarge Image
$430
Product Datasheet
Rabbit polyclonal antibody to AMZ2 for IHC.
100% Guarantee
Price Match Guarantee
Product Size:
100µl
Quantity:
1
2
3
4
5
6
7
8
9
10
Add To Cart
Request a Quotation
Custom or Bulk Request
Shipping Information
Freight/Packing Charges:
$40
Dispatched from St. Louis, MO.
Lead Time: 6-9 business days.
Specifications
Name
Anti-AMZ2 Antibody
Description
Rabbit polyclonal antibody to AMZ2
Specificity
The antibody detects endogenous levels of total AMZ2 protein.
Applications
IHC
Reactivity
Human
Immunogen
Fusion protein corresponding to residues near the C terminal of human archaelysin family metallopeptidase 2
Host
Rabbit
Clonality
Polyclonal
Conjugate
Unconjugated
Purification
Antigen affinity purification.
Concentration
1.7 mg/mL
Formulation
Supplied in PBS, pH 7.3, containing 0.05% sodium azide and 50% glycerol.
Storage
Shipped at 4°C. Upon delivery aliquot and store at -20°C. Avoid freeze/thaw cycles.
Synonyms
Archaemetzincin-2, Archeobacterial metalloproteinase-like protein 2
Suitable Secondaries
Goat Anti-Rabbit IgG H&L Antibody (AP) (A294874)
Goat Anti-Rabbit IgG H&L Antibody (Biotin) (A294795)
Goat Anti-Rabbit IgG H&L Antibody (FITC) (A294887)
Goat Anti-Rabbit IgG H&L Antibody (HRP) (A294888)
See all Anti-Rabbit IgG Secondaries →
Disclaimer
This product is for research use only. It is not intended for diagnostic or therapeutic use.
Scientific Validation Data
Validation Data
(2)
Enlarge Image
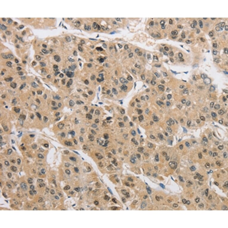
Immunohistochemistry - Anti-AMZ2 Antibody (A46753)
Immunohistochemical analysis of paraffin-embedded Human thyroid cancer tissue using #36126 at dilution 1/40.
Enlarge Image
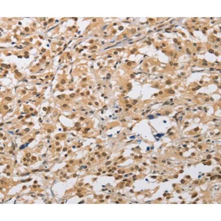
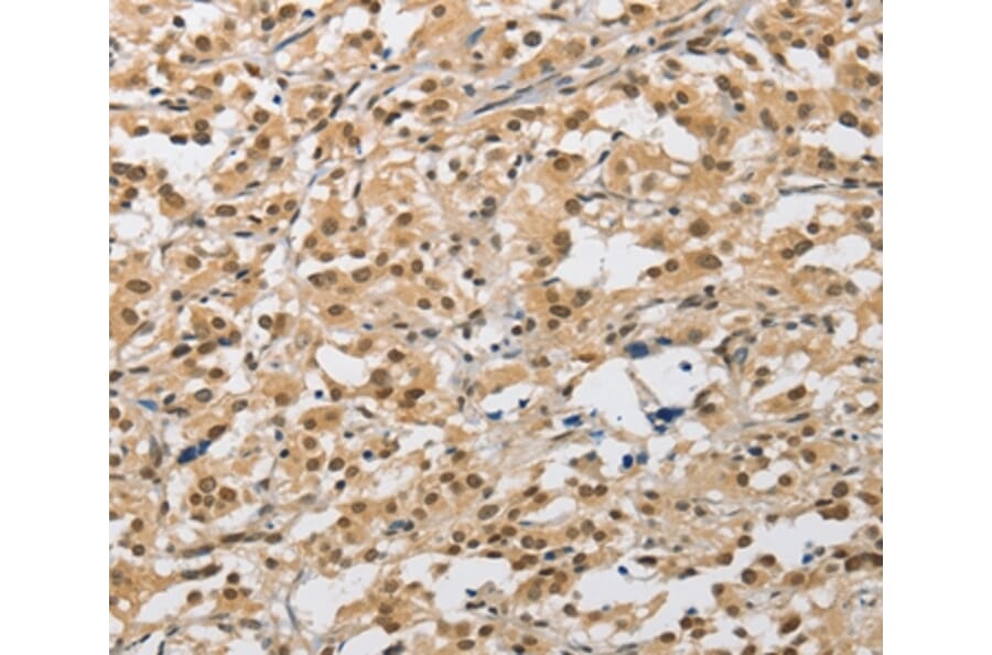
Immunohistochemistry - Anti-AMZ2 Antibody (A46753)
Immunohistochemical analysis of paraffin-embedded Human liver cancer tissue using #36126 at dilution 1/40.
Publishing research using Anti-AMZ2 Antibody (A46753)? Please
let us know
so that we can list the citation on this page.
Proteins predicted to interact with Archaemetzincin 2
Predicted protein interactions based upon String database. Revelancy score correlates with probability of interaction.
LRRIQ3 Antibodies
44.7% Relevancy Score
TMEM214 Antibodies
43.2% Relevancy Score
ARSG Antibodies
40.5% Relevancy Score
SLC41A3 Antibodies
37.7% Relevancy Score
SEC23IP Antibodies
37.7% Relevancy Score
CCL14 Antibodies
37.1% Relevancy Score
CMIP Antibodies
35.9% Relevancy Score
POLR2G Antibodies
35.1% Relevancy Score
HDHD3 Antibodies
35% Relevancy Score
Top