Primary Antibodies
Secondary Antibodies
Proteins & Peptides
ELISA Kits
About Us
Contact Us
Sign In/Register
0
ISO 9001:2015 Certified
Live Customer Support
4.5/5 on Trustpilot
100% Quality Guarantee
Home
Primary Antibodies
ANAPC2 Antibodies
Anti-ANAPC2 Antibody (A37194)
Anti-ANAPC2 Antibody (A37194)
Overview
Specifications
Images
Enlarge Image
Enlarge Image
$430
Product Datasheet
Rabbit polyclonal antibody to ANAPC2 for WB and IHC.
100% Guarantee
Price Match Guarantee
Product Size:
100µl
Quantity:
1
2
3
4
5
6
7
8
9
10
Add To Cart
Request a Quotation
Custom or Bulk Request
Shipping Information
Freight/Packing Charges:
$40
Dispatched from St. Louis, MO.
Lead Time: 6-9 business days.
Specifications
Name
Anti-ANAPC2 Antibody
Description
Rabbit polyclonal antibody to ANAPC2
Specificity
The antibody detects endogenous levels of total ANAPC2 protein.
Applications
WB
,
IHC
Reactivity
Human, Mouse
Immunogen
Fusion protein corresponding to residues near the C terminal of human anaphase promoting complex subunit 2
Host
Rabbit
Clonality
Polyclonal
Conjugate
Unconjugated
Purification
Antigen affinity purification.
Concentration
0.8 mg/mL
Formulation
Supplied in PBS, pH 7.3, containing 0.05% sodium azide and 50% glycerol.
Storage
Shipped at 4°C. Upon delivery aliquot and store at -20°C. Avoid freeze/thaw cycles.
Synonyms
Anaphase-promoting complex subunit 2, APC2, Cyclosome subunit 2, KIAA1406
Suitable Secondaries
Goat Anti-Rabbit IgG H&L Antibody (AP) (A294874)
Goat Anti-Rabbit IgG H&L Antibody (Biotin) (A294795)
Goat Anti-Rabbit IgG H&L Antibody (FITC) (A294887)
Goat Anti-Rabbit IgG H&L Antibody (HRP) (A294888)
See all Anti-Rabbit IgG Secondaries →
Disclaimer
This product is for research use only. It is not intended for diagnostic or therapeutic use.
Scientific Validation Data
Validation Data
(2)
Enlarge Image
Anti-ANAPC2 Antibody (A37194)
Gel: 8% SDS-PAGE Lysates (from left to right): Hela, Jurkat and NIH/3T3 cell Amount of lysate: 40ug per lane Primary antibody: 1/200 dilution Secondary antibody dilution: 1/8000 Exposure time: 40 seconds
Enlarge Image
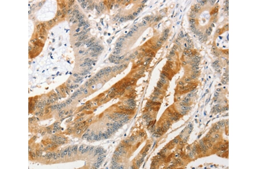
Immunohistochemistry - Anti-ANAPC2 Antibody (A37194)
Immunohistochemical analysis of paraffin-embedded Human colon cancer tissue using #36111 at dilution 1/20.
Publishing research using Anti-ANAPC2 Antibody (A37194)? Please
let us know
so that we can list the citation on this page.
Alternative products to Anti-ANAPC2 Antibody (A37194)
A344489
Anti-ANAPC2 Antibody [24GB6360]
Mouse monoclonal [24GB6360] antibody to ANAPC2 for WB, Flow Cytometry and ICC/IF.
A344487
Anti-ANAPC2 Antibody [24GB6365]
Mouse monoclonal [24GB6365] antibody to ANAPC2 for WB and Flow Cytometry.
A344488
Anti-ANAPC2 Antibody [25GB3750]
Mouse monoclonal [25GB3750] antibody to ANAPC2 for WB and Flow Cytometry.
A344489
Anti-ANAPC2 Antibody [24GB6360]
Mouse monoclonal [24GB6360] antibody to ANAPC2 for WB, Flow Cytometry and ICC/IF.
A344487
Anti-ANAPC2 Antibody [24GB6365]
Mouse monoclonal [24GB6365] antibody to ANAPC2 for WB and Flow Cytometry.
A344488
Anti-ANAPC2 Antibody [25GB3750]
Mouse monoclonal [25GB3750] antibody to ANAPC2 for WB and Flow Cytometry.
Proteins predicted to interact with ANAPC2
Predicted protein interactions based upon String database. Revelancy score correlates with probability of interaction.
APC11 Antibodies
99.9% Relevancy Score
APC6 Antibodies
99.9% Relevancy Score
CDC20 Antibodies
99.9% Relevancy Score
APC4 Antibodies
99.9% Relevancy Score
APC5 Antibodies
99.9% Relevancy Score
CDC23 Antibodies
99.9% Relevancy Score
BubR1 Antibodies
99.9% Relevancy Score
CDC26 Antibodies
99.9% Relevancy Score
CDC27 Antibodies
99.9% Relevancy Score
Top