ISO 9001:2015 Certified
Live Customer Support
4.5/5 on Trustpilot
100% Quality Guarantee

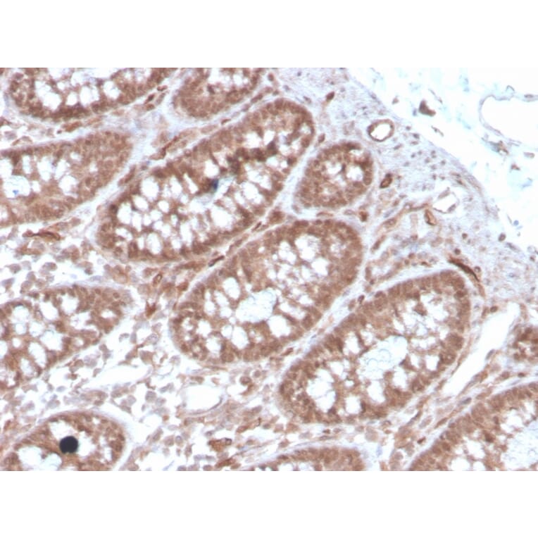
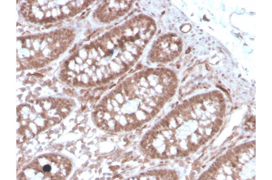
Anti-Angiotensin Converting Enzyme 1 Antibody [ACE/3762] - BSA and Azide free (A251509)

Mouse monoclonal [ACE/3762] antibody to Angiotensin Converting Enzyme 1 for WB, ELISA and IHC-P.

Alternative Formats and ConjugatesAlternative Formats

Shipping Information

$40
Dispatched from St. Louis, MO.
Lead Time: 5-8 business days.
Name
Anti-Angiotensin Converting Enzyme 1 Antibody [ACE/3762] - BSA and Azide free
Description
Mouse monoclonal [ACE/3762] antibody to Angiotensin Converting Enzyme 1.
Specificity
This gene encodes an enzyme involved in catalyzing the conversion of angiotensin I into a physiologically active peptide angiotensin II. Angiotensin II is a potent vasopressor and aldosterone-stimulating peptide that controls blood pressure and fluid-electrolyte balance. This enzyme plays a key role in the renin-angiotensin system. Many studies have associated the presence or absence of a 287 bp Alu repeat element in this gene with the levels of circulating enzyme or cardiovascular pathophysiologies. Two most abundant alternatively spliced variants of this gene encode two isozymes - the somatic form and the testicular form that are equally active. Multiple additional alternatively spliced variants have been identified but their full length nature has not been determined.
Applications
WB, ELISA, IHC-P
Dilutions
WB: 1-2 µg/ml, IHC-P: 1-2 µg/ml
Reactivity
Human
Immunogen
Recombinant fragment, around amino acids 652-788, of human ACE protein. The exact sequence is proprietary.
Host
Mouse
Clonality
Monoclonal
Clone ID
ACE/3762
Isotype
IgG2c
Light Chains
kappa
Conjugate

Unconjugated

Purification
Protein A/G chromatography.
Concentration
1 mg/ml
Molecular Weight
150 kDa
Product Form
Liquid
Formulation
Supplied in 10mM Phosphate Buffered Saline; without Sodium Azide and carrier free.
Storage
Shipped at 4°C. Upon delivery aliquot and store at -20°C. Avoid freeze / thaw cycles.
General Notes
This monoclonal antibody is also available in a different formulation with BSA and Sodium Azide - Anti-Angiotensin Converting Enzyme 1 Antibody [ACE/3762] (A248327).
Synonyms
ACE, ACE 1, ACE T, ACE1, ACE_HUMAN, Angiotensin converting enzyme somatic isoform, Angiotensin converting enzyme testis specific isoform, Angiotensin I converting enzyme, Angiotensin I converting enzyme 1, Angiotensin I converting enzyme peptidyl dipeptidase A 1, angiotensin I converting enzyme peptidyl-dipeptidase A 1 transcript, Angiotensin-converting enzyme, Carboxycathepsin, CD 143, CD143, CD143 antigen, DCP, DCP 1, DCP1, Dipeptidyl carboxypeptidase 1, Dipeptidyl carboxypeptidase I, Kininase II, MGC26566, MVCD3, Peptidase P, Peptidyl dipeptidase A, soluble form, Testicular ECA
Disclaimer
This product is for research use only. It is not intended for diagnostic or therapeutic use.
Publishing research using Anti-Angiotensin Converting Enzyme 1 Antibody [ACE/3762] - BSA and Azide free (A251509)? Please let us know so that we can list the citation on this page.

Alternative products to Anti-Angiotensin Converting Enzyme 1 Antibody [ACE/3762] - BSA and Azide free (A251509)