Primary Antibodies
Secondary Antibodies
Proteins & Peptides
ELISA Kits
About Us
Contact Us
Sign In/Register
0
ISO 9001:2015 Certified
Live Customer Support
4.5/5 on Trustpilot
100% Quality Guarantee
Home
Primary Antibodies
Angiopoietin 4 Antibodies
Anti-ANGPT4 Antibody (A37280)
Anti-ANGPT4 Antibody (A37280)
Overview
Specifications
Images
Enlarge Image
Enlarge Image
$430
Product Datasheet
Rabbit polyclonal antibody to ANGPT4 for WB and IHC.
100% Guarantee
Price Match Guarantee
Product Size:
100µl
Quantity:
1
2
3
4
5
6
7
8
9
10
Add To Cart
Request a Quotation
Custom or Bulk Request
Shipping Information
Freight/Packing Charges:
$40
Dispatched from St. Louis, MO.
Lead Time: 6-9 business days.
Specifications
Name
Anti-ANGPT4 Antibody
Description
Rabbit polyclonal antibody to ANGPT4
Specificity
The antibody detects endogenous levels of total ANGPT4 protein.
Applications
WB
,
IHC
Reactivity
Human
Immunogen
Synthetic peptide corresponding to a region derived from internal residues of human angiopoietin 4
Host
Rabbit
Clonality
Polyclonal
Conjugate
Unconjugated
Purification
Antigen affinity purification.
Concentration
2.4 mg/mL
Formulation
Supplied in PBS, pH 7.3, containing 0.05% sodium azide and 50% glycerol.
Storage
Shipped at 4°C. Upon delivery aliquot and store at -20°C. Avoid freeze/thaw cycles.
Synonyms
ANG-3, ANG-4, ANG3, ANG4, Angiopoietin-3, Angiopoietin-4
Suitable Secondaries
Goat Anti-Rabbit IgG H&L Antibody (AP) (A294874)
Goat Anti-Rabbit IgG H&L Antibody (Biotin) (A294795)
Goat Anti-Rabbit IgG H&L Antibody (FITC) (A294887)
Goat Anti-Rabbit IgG H&L Antibody (HRP) (A294888)
See all Anti-Rabbit IgG Secondaries →
Disclaimer
This product is for research use only. It is not intended for diagnostic or therapeutic use.
Scientific Validation Data
Validation Data
(2)
Enlarge Image
Anti-ANGPT4 Antibody (A37280)
Gel: 8% SDS-PAGE Lysates (from left to right): Human right lung and left lung cancer tissue Amount of lysate: 40ug per lane Primary antibody: 1/480 dilution Secondary antibody dilution: 1/8000 Exposure time: 2 minutes
Enlarge Image
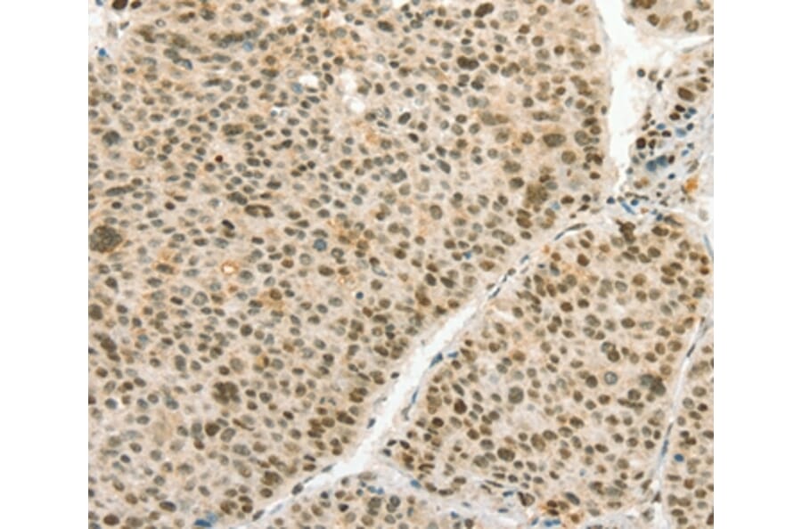
Immunohistochemistry - Anti-ANGPT4 Antibody (A37280)
Immunohistochemical analysis of paraffin-embedded Human colon cancer tissue using #37331 at dilution 1/70.
Publishing research using Anti-ANGPT4 Antibody (A37280)? Please
let us know
so that we can list the citation on this page.
Alternative products to Anti-ANGPT4 Antibody (A37280)
(2)
A28555
Anti-ANGPT4 Antibody
Rabbit polyclonal antibody to ANGPT4 for WB and IHC.
(2)
A49869
Anti-ANG4 Antibody
Rabbit polyclonal antibody to ANG4 for WB, IHC and ELISA.
A49003
Anti-angiopoietin 4 Antibody
Rabbit polyclonal antibody to angiopoietin 4 for ELISA and WB.
A337999
Anti-Angiopoietin 4 Nanobody [SAA1257]
Recombinant alpaca monoclonal [SAA1257] nanobody to Angiopoietin 4 for ELISA.
A42393
Anti-Ang-4 Antibody
Rabbit polyclonal antibody to Ang-4 for WB.
(2)
A28555
Anti-ANGPT4 Antibody
Rabbit polyclonal antibody to ANGPT4 for WB and IHC.
(2)
A49869
Anti-ANG4 Antibody
Rabbit polyclonal antibody to ANG4 for WB, IHC and ELISA.
A49003
Anti-angiopoietin 4 Antibody
Rabbit polyclonal antibody to angiopoietin 4 for ELISA and WB.
A337999
Anti-Angiopoietin 4 Nanobody [SAA1257]
Recombinant alpaca monoclonal [SAA1257] nanobody to Angiopoietin 4 for ELISA.
A42393
Anti-Ang-4 Antibody
Rabbit polyclonal antibody to Ang-4 for WB.
See all ANGPT4 Antibodies
Proteins predicted to interact with Angiopoietin 4
Predicted protein interactions based upon String database. Revelancy score correlates with probability of interaction.
Tie2 Antibodies
99.9% Relevancy Score
Tie1 Antibodies
96.3% Relevancy Score
Angiopoietin 2 Antibodies
92.4% Relevancy Score
Angiopoietin 1 Antibodies
92.4% Relevancy Score
VEGF Receptor 2 Antibodies
86.2% Relevancy Score
TrkA Antibodies
82.1% Relevancy Score
VEGF Receptor 3 Antibodies
79.4% Relevancy Score
VEGF Receptor 1 Antibodies
78.9% Relevancy Score
PDGFR beta Antibodies
74.4% Relevancy Score
Top