Primary Antibodies
Secondary Antibodies
Proteins & Peptides
ELISA Kits
About Us
Contact Us
Sign In/Register
0
ISO 9001:2015 Certified
Live Customer Support
4.5/5 on Trustpilot
100% Quality Guarantee
Home
Primary Antibodies
ANGPTL5 Antibodies
Anti-ANGPTL5 Antibody (A45229)
Anti-ANGPTL5 Antibody (A45229)
Overview
Specifications
Images
Enlarge Image
Enlarge Image
$430
Rabbit polyclonal antibody to ANGPTL5 for IHC.
100% Guarantee
Price Match Guarantee
Product Size:
100µl
Quantity:
1
2
3
4
5
6
7
8
9
10
Add To Cart
Request a Quotation
Custom or Bulk Request
Shipping Information
Freight/Packing Charges:
$40
Dispatched from St. Louis, MO.
Lead Time: 6-9 business days.
Specifications
Name
Anti-ANGPTL5 Antibody
Description
Rabbit polyclonal antibody to ANGPTL5
Specificity
The antibody detects endogenous levels of total ANGPTL5 protein.
Applications
IHC
Reactivity
Human
Immunogen
Synthetic peptide of human angiopoietin-like 5
Host
Rabbit
Clonality
Polyclonal
Conjugate
Unconjugated
Purification
Antigen affinity purification.
Concentration
1.5mg / ml
Formulation
Rabbit IgG in pH7.4 PBS, 0.05% NaN3, 40% Glycerol.
Storage
Store at -20˚C
Synonyms
Angiopoietin-like protein 5, Angiopoietin-related protein 5
Suitable Secondaries
Goat Anti-Rabbit IgG H&L Antibody (AP) (A294874)
Goat Anti-Rabbit IgG H&L Antibody (Biotin) (A294795)
Goat Anti-Rabbit IgG H&L Antibody (FITC) (A294887)
Goat Anti-Rabbit IgG H&L Antibody (HRP) (A294888)
See all Anti-Rabbit IgG Secondaries →
Disclaimer
This product is for research use only. It is not intended for diagnostic or therapeutic use.
Scientific Validation Data
Validation Data
(2)
Enlarge Image
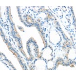
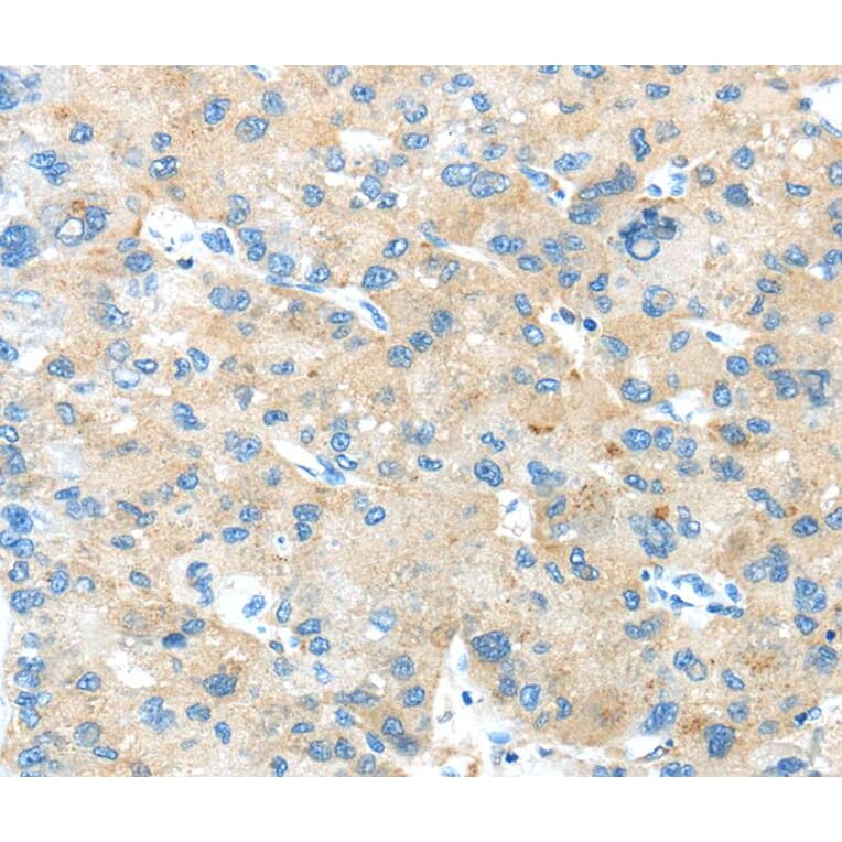
Immunohistochemistry - Anti-ANGPTL5 Antibody (A45229)
Immunohistochemical analysis of paraffin-embedded Human liver cancer tissue using #40356 at dilution 1/25.
Enlarge Image
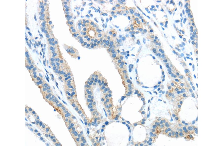
Immunohistochemistry - Anti-ANGPTL5 Antibody (A45229)
Immunohistochemical analysis of paraffin-embedded Human thyroid cancer tissue using #40356 at dilution 1/25.
Publishing research using Anti-ANGPTL5 Antibody (A45229)? Please
let us know
so that we can list the citation on this page.
Alternative products to Anti-ANGPTL5 Antibody (A45229)
A54291
Anti-ANGPTL5 Antibody
Rabbit polyclonal antibody to ANGPTL5 for ELISA, IP and WB.
A89912
Anti-ANGPTL5 Antibody
Rabbit polyclonal antibody to ANGPTL5 for WB.
A89911
Anti-ANGPTL5 Antibody
Rabbit polyclonal antibody to ANGPTL5 for WB.
A54291
Anti-ANGPTL5 Antibody
Rabbit polyclonal antibody to ANGPTL5 for ELISA, IP and WB.
A89912
Anti-ANGPTL5 Antibody
Rabbit polyclonal antibody to ANGPTL5 for WB.
A89911
Anti-ANGPTL5 Antibody
Rabbit polyclonal antibody to ANGPTL5 for WB.
Proteins predicted to interact with ANGPTL5
Predicted protein interactions based upon String database. Revelancy score correlates with probability of interaction.
LILRB2 Antibodies
82.9% Relevancy Score
FGF1 Antibodies
55.5% Relevancy Score
Betatrophin Antibodies
47.7% Relevancy Score
ANGPTL7 Antibodies
46.7% Relevancy Score
Tie1 Antibodies
44.4% Relevancy Score
HLA-DR Antibodies
42.1% Relevancy Score
IGFBP2 Antibodies
42% Relevancy Score
Thrombospondin 2 Antibodies
40.7% Relevancy Score
TL1A Antibodies
39.8% Relevancy Score
Top