Primary Antibodies
Secondary Antibodies
Proteins & Peptides
ELISA Kits
About Us
Contact Us
Sign In/Register
0
ISO 9001:2015 Certified
Live Customer Support
4.5/5 on Trustpilot
100% Quality Guarantee
Home
Primary Antibodies
ANKMY2 Antibodies
Anti-ANKMY2 Antibody (A45422)
Anti-ANKMY2 Antibody (A45422)
Overview
Specifications
Images
Enlarge Image
Enlarge Image
$430
Product Datasheet
Rabbit polyclonal antibody to ANKMY2 for IHC.
100% Guarantee
Price Match Guarantee
Product Size:
100µl
Quantity:
1
2
3
4
5
6
7
8
9
10
Add To Cart
Request a Quotation
Custom or Bulk Request
Shipping Information
Freight/Packing Charges:
$40
Dispatched from St. Louis, MO.
Lead Time: 6-9 business days.
Specifications
Name
Anti-ANKMY2 Antibody
Description
Rabbit polyclonal antibody to ANKMY2
Specificity
The antibody detects endogenous levels of total ANKMY2 protein.
Applications
IHC
Reactivity
Human
Immunogen
Fusion protein corresponding to residues near the N terminal of human ankyrin repeat and MYND domain containing 2
Host
Rabbit
Clonality
Polyclonal
Conjugate
Unconjugated
Purification
Antigen affinity purification.
Concentration
1 mg/mL
Formulation
Supplied in PBS, pH 7.3, containing 0.05% sodium azide and 50% glycerol.
Storage
Shipped at 4°C. Upon delivery aliquot and store at -20°C. Avoid freeze/thaw cycles.
Synonyms
Ankyrin repeat and MYND domain-containing protein 2
Suitable Secondaries
Goat Anti-Rabbit IgG H&L Antibody (AP) (A294874)
Goat Anti-Rabbit IgG H&L Antibody (Biotin) (A294795)
Goat Anti-Rabbit IgG H&L Antibody (FITC) (A294887)
Goat Anti-Rabbit IgG H&L Antibody (HRP) (A294888)
See all Anti-Rabbit IgG Secondaries →
Disclaimer
This product is for research use only. It is not intended for diagnostic or therapeutic use.
Scientific Validation Data
Validation Data
(2)
Enlarge Image
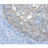
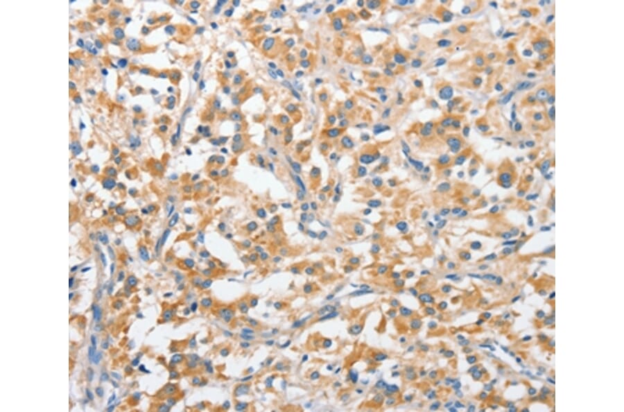
Immunohistochemistry - Anti-ANKMY2 Antibody (A45422)
Immunohistochemical analysis of paraffin-embedded Human thyroid cancer tissue using #36106 at dilution 1/25.
Enlarge Image
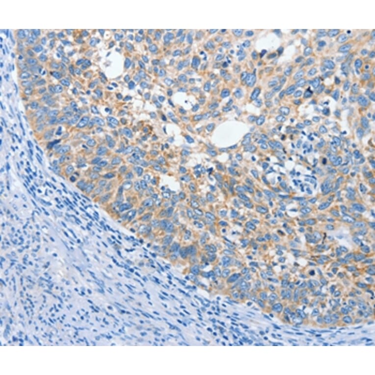
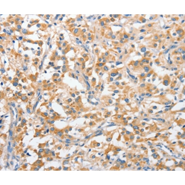
Immunohistochemistry - Anti-ANKMY2 Antibody (A45422)
Immunohistochemical analysis of paraffin-embedded Human cervical cancer tissue using #36106 at dilution 1/25.
Publishing research using Anti-ANKMY2 Antibody (A45422)? Please
let us know
so that we can list the citation on this page.
Proteins predicted to interact with ANKMY2
Predicted protein interactions based upon String database. Revelancy score correlates with probability of interaction.
Argonaute 3 Antibodies
88.5% Relevancy Score
FKBP38 Antibodies
71.9% Relevancy Score
TSPAN13 Antibodies
64.7% Relevancy Score
PRMT7 Antibodies
63.6% Relevancy Score
GUCY1A3 Antibodies
62.8% Relevancy Score
PHD2 Antibodies
60% Relevancy Score
BZW2 Antibodies
59.8% Relevancy Score
SNX13 Antibodies
56.3% Relevancy Score
GUCY1B3 Antibodies
51.2% Relevancy Score
Top